免费电话:400-9961-933
邮箱:info@sabbiotech.com
欢迎光临本站
川博智能体 English
位置: 首页 > 多克隆抗体 > NAA10 Polyclonal Antibody

NAA10 Polyclonal Antibody#42070

是否有货: Yes
产品详情

产品名称NAA10 Polyclonal Antibody

来源种属Rabbit

克隆性Polyclonal

纯化Antigen Affinity Purified

应用WB IHC

种属反应性Human

特异性The antibody detects endogenous level of total NAA10 polyclonal antibody.

免疫原类型protein

免疫原描述Recombinant human N-alpha-acetyltransferase 10 protein(161-235aa)

基因/蛋白名称NAA10

标记Unconjugated

别名N-alpha-acetyltransferase 10, N-terminal acetyltransferase complex ARD1 subunit homolog A, NatA catalytic subunit Naa10, NAA10, ARD1, ARD1A, TE2

数据库入口号Swiss-Prot#: P41227

Uniprot P41227

计算分子量26kd

浓度1.0mg/mL

配方PBS with 0.02% sodium azide, 50% glycerol, pH7.3.

保存Store at -20˚C

应用详情
Western blotting: 1:500 - 1:5000
Immunohistochemistry: 1:20 - 1:200
All lanes: N-alpha-acetyltransferase 10 antibody at 5ug/ml+Hela whole cell lysate secondary Goat polyclonal to rabbit at 1/10000 dilution predicted band size :26kDa observed band size :26kDa
Immunohistochemical analysis of paraffin-embedded human rectal cancer using #42070 at dilution of 1:100.
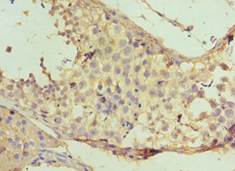
Immunohistochemical analysis of paraffin-embedded human testicle using #42070 at dilution of 1:100.
Catalytic subunit of the N-terminal acetyltransferase A (NatA) complex which displays alpha (N-terminal) acetyltransferase activity. The NAT activity may be important for vascular, hematopoietic and neuronal growth and development. Without NAA15, displays epsilon (internal) acetyltransferase activity towards HIF1A, thereby promoting its degradation. Represses MYLK kinase activity by acetylation, and thus represses tumor cell migration. Acetylates, and stabilizes TSC2, thereby repressing mTOR activity and suppressing cancer development.

如果您使用该产品42070发表了文章,请通知我们,让我们可以引用您的文献。

注释

应用

  • WB免疫印迹
  • IHC免疫组化
  • IF免疫荧光
  • ICC免疫细胞化学
  • FC流式细胞
  • IP免疫沉淀
  • E酶联免疫吸附法
  • DB免疫斑点法
  • ChIP染色质免疫沉淀
  • GICA胶体金免疫层析法
  • NC阴性对照

种属反应性

  • Hu
  • Ms小鼠
  • Rt大鼠
  • Dm果蝇
  • C线虫
  • Mk
  • Rb
  • B
  • D
  • P
  • Hm仓鼠
  • ChHm中国仓鼠
  • Chk
;

联系我们

Location :

南京市高新开发区星火路10号人才大厦C座

Phone :

400-9961-933
025-58868422

Email Address

info@sabbiotech.com