免费电话:400-9961-933
邮箱:info@sabbiotech.com
欢迎光临本站
川博智能体 English
位置: 首页 > 多克隆抗体 > GOLM1 Polyclonal Antibody

GOLM1 Polyclonal Antibody #42187

是否有货: Yes
产品详情

产品名称GOLM1 Polyclonal Antibody

来源种属Rabbit

克隆性Polyclonal

纯化Antigen Affinity Purified

应用WB IHC

种属反应性Human

特异性The antibody detects endogenous level of total GOLM1 polyclonal antibody.

免疫原类型protein

免疫原描述Recombinant human Golgi membrane protein 1 protein(112-401aa)

基因/蛋白名称GOLM1

标记Unconjugated

别名Golgi membrane protein GP73, Golgi phosphoprotein 2, GOLM1, C9orf155, GOLPH2, PSEC0242, UNQ686/PRO1326

数据库入口号Swiss-Prot#: Q8NBJ4

Uniprot Q8NBJ4

计算分子量45kd

浓度1.0mg/mL

配方PBS with 0.02% sodium azide, 50% glycerol, pH7.3.

保存Store at -20˚C

应用详情
Western blotting: 1:500 - 1:2000
Immunohistochemistry: 1:20 - 1:200
All lanes:Golgi membrane protein 1 antibody at 7ug/ml+Hela whole cell lysate secondary Goat polyclonal to rabbit at 1/10000 dilution predicted band size :45kDa observed band size :45kDa
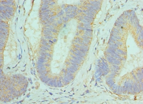
Immunohistochemical analysis of paraffin-embedded human rectum using #42187 at dilution of 1:100.
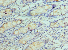
Immunohistochemical analysis of paraffin-embedded human colon cancer using #42187 at dilution of 1:100.
Unknown.Cellular response protein to viral infection.

如果您使用该产品42187发表了文章,请通知我们,让我们可以引用您的文献。

et al,Overexpression of golgi membrane protein 1 promotes non-small-cell carcinoma aggressiveness by regulating the matrix metallopeptidase 13.In Am J Cancer Res. On 2018 Mar 1 by Aruna, Li LM et al..PMID:29637008 , (2018),
PMID: 29637008

注释

应用

  • WB免疫印迹
  • IHC免疫组化
  • IF免疫荧光
  • ICC免疫细胞化学
  • FC流式细胞
  • IP免疫沉淀
  • E酶联免疫吸附法
  • DB免疫斑点法
  • ChIP染色质免疫沉淀
  • GICA胶体金免疫层析法
  • NC阴性对照

种属反应性

  • Hu
  • Ms小鼠
  • Rt大鼠
  • Dm果蝇
  • C线虫
  • Mk
  • Rb
  • B
  • D
  • P
  • Hm仓鼠
  • ChHm中国仓鼠
  • Chk
;

联系我们

Location :

南京市高新开发区星火路10号人才大厦C座

Phone :

400-9961-933
025-58868422

Email Address

info@sabbiotech.com