免费电话:400-9961-933
邮箱:info@sabbiotech.com
欢迎光临本站
川博智能体 English
位置: 首页 > 多克隆抗体 > Phosphoenolpyruvate carboxykinase, cytosolic [GTP] Polyclonal Antibody

Phosphoenolpyruvate carboxykinase, cytosolic [GTP] Polyclonal Antibody #42288

是否有货: 货期1周
产品详情

产品名称Phosphoenolpyruvate carboxykinase, cytosolic [GTP] Polyclonal Antibody

来源种属Rabbit

克隆性Polyclonal

纯化Caprylic Acid Ammonium Sulfate Precipitation purified

应用IHC

种属反应性Human

特异性The antibody detects endogenous level of total Phosphoenolpyruvate carboxykinase, cytosolic [GTP] polyclonal antibody.

免疫原类型protein

免疫原描述Recombinant human Phosphoenolpyruvate carboxykinase, cytosolic [GTP] protein

基因/蛋白名称Phosphoenolpyruvate carboxykinase, cytosolic [GTP]

标记Unconjugated

别名Phosphoenolpyruvate carboxylase, PCK1, PEPCK1

数据库入口号Swiss-Prot#: P35558

Uniprot P35558

配方Preservative: 0.03% Proclin 300 Constituents: 50% Glycerol, 0.01M PBS, PH 7.4

保存Store at -20˚C

应用详情

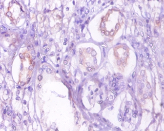
Immunohistochemistry: 1:20 - 1:200
Immunohistochemical analysis of paraffin-embedded human kidney using #42288 at dilution of 1:10.
Catalyzes the conversion of oxaloacetate (OAA) to phosphoenolpyruvate (PEP), the rate-limiting step in the metabolic pathway that produces glucose from lactate and other precursors derived from the citric acid cycle.

如果您使用该产品42288发表了文章,请通知我们,让我们可以引用您的文献。

et al,Effective treatment with combination of peripheral 5鈥恏ydroxytryptamine synthetic inhibitor and 5鈥恏ydroxytryptamine 2 receptor antagonist on glucocorticoid鈥恑nduced whole鈥恇ody insulin resistance with hyperglycemia.In J Diabetes Investig on 2016 Nov by Shaoxin Ma , Tao Li et al..PMID:27177506 , (2016),
PMID: 27177506

注释

应用

  • WB免疫印迹
  • IHC免疫组化
  • IF免疫荧光
  • ICC免疫细胞化学
  • FC流式细胞
  • IP免疫沉淀
  • E酶联免疫吸附法
  • DB免疫斑点法
  • ChIP染色质免疫沉淀
  • GICA胶体金免疫层析法
  • NC阴性对照

种属反应性

  • Hu
  • Ms小鼠
  • Rt大鼠
  • Dm果蝇
  • C线虫
  • Mk
  • Rb
  • B
  • D
  • P
  • Hm仓鼠
  • ChHm中国仓鼠
  • Chk
;

联系我们

Location :

南京市高新开发区星火路10号人才大厦C座

Phone :

400-9961-933
025-58868422

Email Address

info@sabbiotech.com