免费电话:400-9961-933
邮箱:info@sabbiotech.com
欢迎光临本站
川博智能体 English
位置: 首页 > 多克隆抗体 > Interleukin-15 Polyclonal Antibody

Interleukin-15 Polyclonal Antibody #42462

是否有货: 货期1周
产品详情

产品名称Interleukin-15 Polyclonal Antibody

来源种属Rabbit

克隆性Polyclonal

纯化Caprylic Acid Ammonium Sulfate Precipitation purified

应用IHC

种属反应性Human

特异性The antibody detects endogenous level of total Interleukin-15 polyclonal antibody.

免疫原类型protein

免疫原描述Recombinant human Interleukin-15 protein

基因/蛋白名称Interleukin-15

标记Unconjugated

别名IL15

数据库入口号Swiss-Prot#: P40933

Uniprot P40933

配方Preservative: 0.03% Proclin 300 Constituents: 50% Glycerol, 0.01M PBS, PH 7.4

保存Store at -20˚C

应用详情

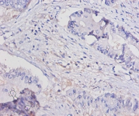
Immunohistochemistry: 1:20 - 1:200
Immunohistochemical analysis of paraffin-embedded human colon cancer using #42462 at dilution of 1:100.
Cytokine that stimulates the proliferation of T-lymphocytes. Stimulation by IL-15 requires interaction of IL-15 with components of IL-2R, including IL-2R beta and probably IL-2R gamma but not IL-2R alpha.

如果您使用该产品42462发表了文章,请通知我们,让我们可以引用您的文献。

et al,p14ARF interacts with γ-H2AX and is involved in the DNA damage response , (2025),
PMID: 40267841

注释

应用

  • WB免疫印迹
  • IHC免疫组化
  • IF免疫荧光
  • ICC免疫细胞化学
  • FC流式细胞
  • IP免疫沉淀
  • E酶联免疫吸附法
  • DB免疫斑点法
  • ChIP染色质免疫沉淀
  • GICA胶体金免疫层析法
  • NC阴性对照

种属反应性

  • Hu
  • Ms小鼠
  • Rt大鼠
  • Dm果蝇
  • C线虫
  • Mk
  • Rb
  • B
  • D
  • P
  • Hm仓鼠
  • ChHm中国仓鼠
  • Chk
;

联系我们

Location :

南京市高新开发区星火路10号人才大厦C座

Phone :

400-9961-933
025-58868422

Email Address

info@sabbiotech.com