免费电话:400-9961-933
邮箱:info@sabbiotech.com
欢迎光临本站
川博智能体 English
位置: 首页 > 多克隆抗体 > IL15 Antibody

IL15 Antibody #42710

是否有货: Yes
产品详情

产品名称IL15 Antibody

来源种属Rabbit

克隆性Polyclonal

纯化Antigen affinity purification.

应用IHC

种属反应性Human

特异性The antibody detects endogenous levels of total IL15 protein.

免疫原类型protein

免疫原描述Full length fusion protein of human IL15

基因/蛋白名称IL15

标记Unconjugated

别名IL-15

数据库入口号Swiss-Prot#: P40933
Gene ID: 3600

Uniprot P40933

浓度0.4mg/ml

配方Rabbit IgG in pH7.4 PBS, 0.05% NaN3, 40% Glycerol.

保存Store at -20˚C

应用详情

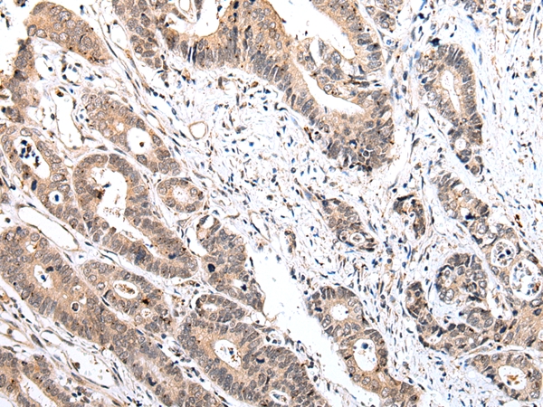
Immunohistochemistry: 1:25-1:100
Immunohistochemical analysis of paraffin-embedded Human gastric cancer tissue using #42710 at dilution 1/20,
The protein encoded by this gene is a cytokine that regulates T and natural killer cell activation and proliferation. This cytokine and interleukine 2 share many biological activities. They are found to bind common hematopoietin receptor subunits, and may compete for the same receptor, and thus negatively regulate each other's activity. The number of CD8+ memory cells is shown to be controlled by a balance between this cytokine and IL2. This cytokine induces the activation of JAK kinases, as well as the phosphorylation and activation of transcription activators STAT3, STAT5, and STAT6. Studies of the mouse counterpart suggested that this cytokine may increase the expression of apoptosis inhibitor BCL2L1/BCL-x(L), possibly through the transcription activation activity of STAT6, and thus prevent apoptosis. Alternatively spliced transcript variants of this gene have been reported.

如果您使用该产品42710发表了文章,请通知我们,让我们可以引用您的文献。

et al,Sea buckthorn regulates PXR/CAR/NF-κB signaling and restores CYP2C metabolic function in BCG-induced hepatitis , (2025),
PMID: 40513919

注释

应用

  • WB免疫印迹
  • IHC免疫组化
  • IF免疫荧光
  • ICC免疫细胞化学
  • FC流式细胞
  • IP免疫沉淀
  • E酶联免疫吸附法
  • DB免疫斑点法
  • ChIP染色质免疫沉淀
  • GICA胶体金免疫层析法
  • NC阴性对照

种属反应性

  • Hu
  • Ms小鼠
  • Rt大鼠
  • Dm果蝇
  • C线虫
  • Mk
  • Rb
  • B
  • D
  • P
  • Hm仓鼠
  • ChHm中国仓鼠
  • Chk
;

联系我们

Location :

南京市高新开发区星火路10号人才大厦C座

Phone :

400-9961-933
025-58868422

Email Address

info@sabbiotech.com