免费电话:400-9961-933
邮箱:info@sabbiotech.com
欢迎光临本站
川博智能体 English
位置: 首页 > 多克隆抗体 > KCTD16 Antibody

KCTD16 Antibody #42919

是否有货: Yes
产品详情

产品名称KCTD16 Antibody

来源种属Rabbit

克隆性Polyclonal

纯化Antigen affinity purification.

应用WB IHC

种属反应性Human;Mouse

特异性The antibody detects endogenous levels of total KCTD16 protein.

免疫原类型protein

免疫原描述Fusion protein of human KCTD16

基因/蛋白名称KCTD16

标记Unconjugated

别名BTB/POZ domain-containing protein KCTD16; DKFZp781A1155; KCD16; KCTD16; KIAA1317; MGC138167

数据库入口号Swiss-Prot#: Q68DU8
Gene ID: 57528

Uniprot Q68DU8

计算分子量49kd

浓度1.6mg/ml

配方Rabbit IgG in pH7.4 PBS, 0.05% NaN3, 40% Glycerol.

保存Store at -20˚C

应用详情
Western blotting: 1:500-1:2000
Immunohistochemistry: 1:25-1:100
Gel: 8%SDS-PAGE
Lysate: 40 μg
Lane: Mouse brain tissue
Primary antibody: 1/400 dilution
Secondary antibody: Goat anti rabbit IgG at 1/8000 dilution
Exposure time: 3 seconds
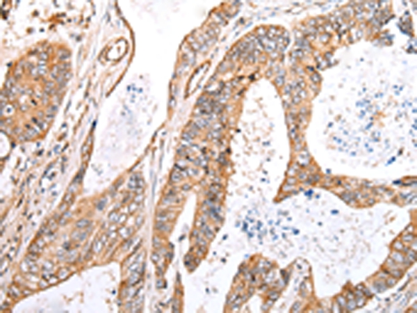
Immunohistochemical analysis of paraffin-embedded Human colorectal cancer tissue using #42919 at dilution 1/30.
Immunohistochemical analysis of paraffin-embedded Human thyroid cancer tissue using #42919 at dilution 1/30.
The BTB (Broad-Complex, Tramtrack and Bric a brac) domain, also known as the POZ (Poxvirus and Zinc finger) domain, is an N-terminal homodimerization domain that contains multiple copies of kelch repeats and/or C2H2-type zinc fingers. Proteins that contain BTB domains are thought to be involved in transcriptional regulation via control of chromatin structure and function. KCTD16 (potassium channel tetramerisation domain containing 16), also known as BTB/POZ domain-containing protein KCTD16, is a 428 amino acid protein that contains one BTB (POZ) domain. An auxiliary subunit of GABAB R1 and GABAB R2, KCTD16 increases agonist potency and alters the G-protein signaling of the receptors by accelerating onset and promoting desensitization.

如果您使用该产品42919发表了文章,请通知我们,让我们可以引用您的文献。

et al,Identification and study of mood-related biomarkers and potential molecular mechanisms in type 2 diabetes mellitus. , (2025),
PMID: 39915429

注释

应用

  • WB免疫印迹
  • IHC免疫组化
  • IF免疫荧光
  • ICC免疫细胞化学
  • FC流式细胞
  • IP免疫沉淀
  • E酶联免疫吸附法
  • DB免疫斑点法
  • ChIP染色质免疫沉淀
  • GICA胶体金免疫层析法
  • NC阴性对照

种属反应性

  • Hu
  • Ms小鼠
  • Rt大鼠
  • Dm果蝇
  • C线虫
  • Mk
  • Rb
  • B
  • D
  • P
  • Hm仓鼠
  • ChHm中国仓鼠
  • Chk
;

联系我们

Location :

南京市高新开发区星火路10号人才大厦C座

Phone :

400-9961-933
025-58868422

Email Address

info@sabbiotech.com