免费电话:400-9961-933
邮箱:info@sabbiotech.com
欢迎光临本站
川博智能体 English
位置: 首页 > 多克隆抗体 > MKI67/ki67 Antibody

MKI67/ki67 Antibody#43095

是否有货: Yes
产品详情

产品名称MKI67/ki67 Antibody

来源种属Rabbit

克隆性Polyclonal

纯化Antigen affinity purification.

应用IHC

种属反应性Human

特异性The antibody detects endogenous levels of total MKI67/ki67 protein.

免疫原类型peptide

免疫原描述Synthetic peptide of human MKI67/ki67

基因/蛋白名称MKI67/ki67

标记Unconjugated

别名KIA; MIB-; MIB-1; PPP1R105

数据库入口号Swiss-Prot#: P46013
Gene ID: 4288

Uniprot P46013

浓度0.8mg/ml

配方Rabbit IgG in pH7.4 PBS, 0.05% NaN3, 40% Glycerol.

保存Store at -20˚C

应用详情

Immunohistochemistry: 1:25-1:100
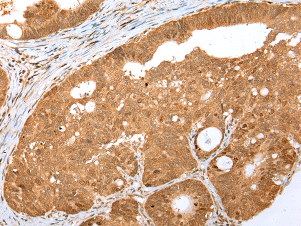
Immunohistochemical analysis of paraffin-embedded Human gastric cancer tissue using #43095 at dilution 1/20.
Immunohistochemical analysis of paraffin-embedded Human esophagus cancer tissue using #43095 at dilution 1/20.
This gene encodes a nuclear protein that is associated with and may be necessary for cellular proliferation. Alternatively spliced transcript variants have been described. A related pseudogene exists on chromosome X.

如果您使用该产品43095发表了文章,请通知我们,让我们可以引用您的文献。

et al,Long non-codIng RNA PVT1 promotes tumor progression by regulatIng the miR-143/HK2 axis In gallbladder cancer.In Mol Cancer on 2019 Mar 2 by Chen J, Yu Y, et al.. PMID: 30825877 , (2019),
PMID: 30825877
et al,Function of Cell-Cycle Regulators in Predicting Silent Pituitary Adenoma Progression Following Surgical Resection.In Oncol Lett on 2017 Dec by Sung Hyun Park, Ji Hwan Jang,,et al..PMID: 29344143 , (2017),
PMID: 29344143
et al,Application of MRI-Based Radiomics in Preoperative Prediction of NF2 Alteration in Intracranial Meningiomas , (2022),
PMID: 36267986

注释

应用

  • WB免疫印迹
  • IHC免疫组化
  • IF免疫荧光
  • ICC免疫细胞化学
  • FC流式细胞
  • IP免疫沉淀
  • E酶联免疫吸附法
  • DB免疫斑点法
  • ChIP染色质免疫沉淀
  • GICA胶体金免疫层析法
  • NC阴性对照

种属反应性

  • Hu
  • Ms小鼠
  • Rt大鼠
  • Dm果蝇
  • C线虫
  • Mk
  • Rb
  • B
  • D
  • P
  • Hm仓鼠
  • ChHm中国仓鼠
  • Chk
;

联系我们

Location :

南京市高新开发区星火路10号人才大厦C座

Phone :

400-9961-933
025-58868422

Email Address

info@sabbiotech.com