免费电话:400-9961-933
邮箱:info@sabbiotech.com
欢迎光临本站
川博智能体 English
位置: 首页 > 多克隆抗体 > SYNPO2 Antibody

SYNPO2 Antibody #43152

是否有货: Yes
产品详情

产品名称SYNPO2 Antibody

来源种属Rabbit

克隆性Polyclonal

纯化Antigen affinity purification.

应用IHC

种属反应性Human

特异性The antibody detects endogenous levels of total SYNPO2 protein.

免疫原类型peptide

免疫原描述Synthetic peptide of human SYNPO2

基因/蛋白名称SYNPO2

标记Unconjugated

别名SYNPO2

数据库入口号Swiss-Prot#: Q9UMS6
Gene ID: 171024

Uniprot Q9UMS6

浓度2.5mg/ml

配方Rabbit IgG in pH7.4 PBS, 0.05% NaN3, 40% Glycerol.

保存Store at -20˚C

应用详情

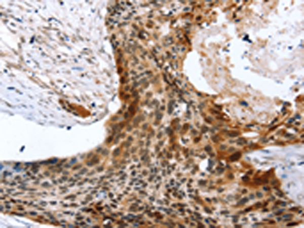
Immunohistochemistry: 1:10-1:50
Immunohistochemical analysis of paraffin-embedded Human esophagus cancer tissue using #43152 at dilution 1/45,
Synaptopodin-2?is a?protein?that in humans is encoded by the?SYNPO2?gene. Has an actin-binding and actin-bundling activity. Synaptopodin is a proline-rich, actin-associated protein expressed in mature dendritic spines and renal podocytes. Synaptopodin appears to play a role in the actin-based plasticity of spines by linking actin to the spine apparatus.

如果您使用该产品43152发表了文章,请通知我们,让我们可以引用您的文献。

et al,Synaptopodin-2 promotes hepatocellular carcinoma metastasis via calcineurin-induced nuclear-cytoplasmic translocation.In Cancer Lett on 2020 Jul 10 by Gao J, Zhang HP, et al..PMID: 32278815 , (2020),
PMID: 32278815

注释

应用

  • WB免疫印迹
  • IHC免疫组化
  • IF免疫荧光
  • ICC免疫细胞化学
  • FC流式细胞
  • IP免疫沉淀
  • E酶联免疫吸附法
  • DB免疫斑点法
  • ChIP染色质免疫沉淀
  • GICA胶体金免疫层析法
  • NC阴性对照

种属反应性

  • Hu
  • Ms小鼠
  • Rt大鼠
  • Dm果蝇
  • C线虫
  • Mk
  • Rb
  • B
  • D
  • P
  • Hm仓鼠
  • ChHm中国仓鼠
  • Chk
;

联系我们

Location :

南京市高新开发区星火路10号人才大厦C座

Phone :

400-9961-933
025-58868422

Email Address

info@sabbiotech.com