免费电话:400-9961-933
邮箱:info@sabbiotech.com
欢迎光临本站
川博智能体 English
位置: 首页 > 多克隆抗体 > APCDD1 Antibody

APCDD1 Antibody #43286

是否有货: Yes
产品详情

产品名称APCDD1 Antibody

来源种属Rabbit

克隆性Polyclonal

纯化Antigen affinity purification.

应用IHC

种属反应性Human

特异性The antibody detects endogenous levels of total APCDD1 protein.

免疫原类型peptide

免疫原描述Synthetic peptide of human APCDD1

基因/蛋白名称APCDD1

标记Unconjugated

别名HHS; HTS; B7323; HYPT1; DRAPC1; FP7019

数据库入口号Swiss-Prot#: Q8J025
Gene ID: 147495

Uniprot Q8J025

浓度1.2mg/ml

配方Rabbit IgG in pH7.4 PBS, 0.05% NaN3, 40% Glycerol.

保存Store at -20˚C

应用详情

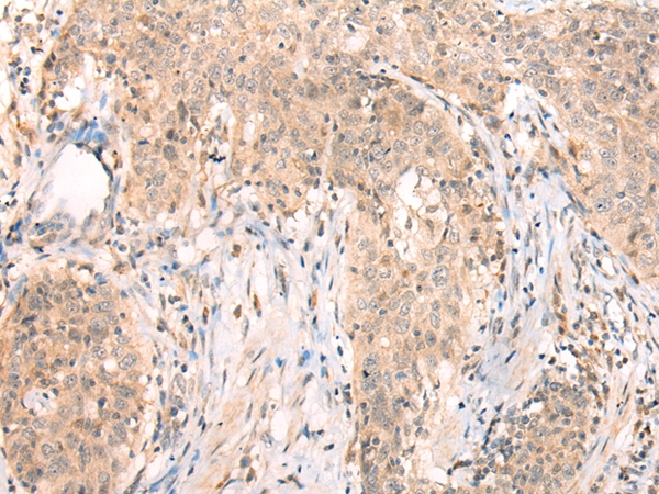
Immunohistochemistry: 1:25-1:100
Immunohistochemical analysis of paraffin-embedded Human tonsil tissue using #43286 at dilution 1/20.
Immunohistochemical analysis of paraffin-embedded Human esophagus cancer tissue using #43286 at dilution 1/20.
This locus encodes an inhibitor of the Wnt signaling pathway. Mutations at this locus have been associated with hereditary hypotrichosis simplex. Increased expression of this gene may also be associated with colorectal carcinogenesis.

如果您使用该产品43286发表了文章,请通知我们,让我们可以引用您的文献。

et al,Predicting pediatric Crohn's disease based on six mRNA-constructed risk signature using comprehensive bioinformatic approachesInOpen Life SciOn2023 Oct 5byYuanyuan Zhan?1,?Quan Jin et al..PMID: 37808875 , (2023),
PMID: 37808875

注释

应用

  • WB免疫印迹
  • IHC免疫组化
  • IF免疫荧光
  • ICC免疫细胞化学
  • FC流式细胞
  • IP免疫沉淀
  • E酶联免疫吸附法
  • DB免疫斑点法
  • ChIP染色质免疫沉淀
  • GICA胶体金免疫层析法
  • NC阴性对照

种属反应性

  • Hu
  • Ms小鼠
  • Rt大鼠
  • Dm果蝇
  • C线虫
  • Mk
  • Rb
  • B
  • D
  • P
  • Hm仓鼠
  • ChHm中国仓鼠
  • Chk
;

联系我们

Location :

南京市高新开发区星火路10号人才大厦C座

Phone :

400-9961-933
025-58868422

Email Address

info@sabbiotech.com