免费电话:400-9961-933
邮箱:info@sabbiotech.com
欢迎光临本站
川博智能体 English
位置: 首页 > 多克隆抗体 > PRDX4 Antibody

PRDX4 Antibody #43303

是否有货: Yes
产品详情

产品名称PRDX4 Antibody

来源种属Rabbit

克隆性Polyclonal

纯化Antigen affinity purification.

应用WB IHC

种属反应性Human;Mouse;Rat

特异性The antibody detects endogenous levels of total PRDX4 protein.

免疫原类型peptide

免疫原描述Synthetic peptide of human PRDX4

基因/蛋白名称PRDX4

标记Unconjugated

别名PRX-4; AOE372; AOE37-2; HEL-S-97n

数据库入口号Swiss-Prot#: Q13162
Gene ID: 10549

Uniprot Q13162

计算分子量30kd

浓度1.2mg/ml

配方Rabbit IgG in pH7.4 PBS, 0.05% NaN3, 40% Glycerol.

保存Store at -20˚C

应用详情
Western blotting: 1:500-1:2000
Immunohistochemistry: 1:25-1:100
Gel: 8%SDS-PAGE
Lysate: 40 μg
Lane 1-6: Hela,Raji,293T,HepG2,K562 and MCF-7 cell
Primary antibody: 1/300 dilution
Secondary antibody: Goat anti rabbit IgG at 1/8000 dilution
Exposure time: 2 seconds
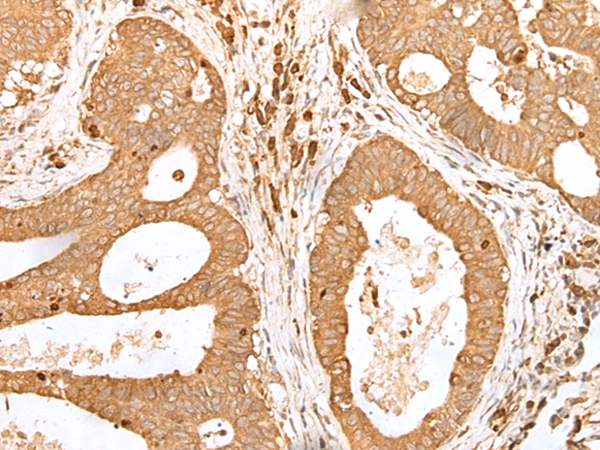
Immunohistochemical analysis of paraffin-embedded Human lung cancer tissue using #43303 at dilution 1/20,
The protein encoded by this gene is an antioxidant enzyme and belongs to the peroxiredoxin family. The protein is localized to the cytoplasm. Peroxidases of the peroxiredoxin family reduce hydrogen peroxide and alkyl hydroperoxides to water and alcohol with the use of reducing equivalents derived from thiol-containing donor molecules. This protein has been found to play a regulatory role in the activation of the transcription factor NF-kappaB.?

如果您使用该产品43303发表了文章,请通知我们,让我们可以引用您的文献。

et al,The effect of exposure time and concentration of airborne PM2.5 on lung Injury In mice: A transcriptome analysis. In Redox Biol on 2019 Sep by Wang H, Shen X et al..PMID:31279222 , (2019),
PMID: 31279222

注释

应用

  • WB免疫印迹
  • IHC免疫组化
  • IF免疫荧光
  • ICC免疫细胞化学
  • FC流式细胞
  • IP免疫沉淀
  • E酶联免疫吸附法
  • DB免疫斑点法
  • ChIP染色质免疫沉淀
  • GICA胶体金免疫层析法
  • NC阴性对照

种属反应性

  • Hu
  • Ms小鼠
  • Rt大鼠
  • Dm果蝇
  • C线虫
  • Mk
  • Rb
  • B
  • D
  • P
  • Hm仓鼠
  • ChHm中国仓鼠
  • Chk
;

联系我们

Location :

南京市高新开发区星火路10号人才大厦C座

Phone :

400-9961-933
025-58868422

Email Address

info@sabbiotech.com