免费电话:400-9961-933
邮箱:info@sabbiotech.com
欢迎光临本站
川博智能体 English
位置: 首页 > 多克隆抗体 > GLI2 Antibody

GLI2 Antibody #43461

是否有货: Yes
产品详情

产品名称GLI2 Antibody

来源种属Rabbit

克隆性Polyclonal

纯化Antigen affinity purification.

应用IHC

种属反应性Human;Mouse

特异性The antibody detects endogenous levels of total GLI2 protein.

免疫原描述Synthetic peptide of human GLI2

基因/蛋白名称GLI2

标记Unconjugated

别名CJS; HPE9; PHS2; THP1; THP2

数据库入口号Swiss-Prot#: P10070
Gene ID: 2736

Uniprot P10070

浓度2.4mg/ml

配方Rabbit IgG in pH7.4 PBS, 0.05% NaN3, 40% Glycerol.

保存Store at -20˚C

应用详情

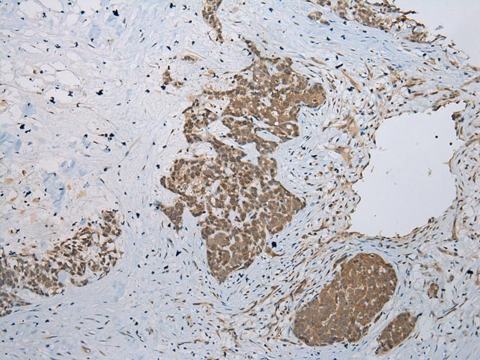
Immunohistochemistry: 1:100-1:200

Immunohistochemical analysis of paraffin-embedded Human Thyroid tissue using #43461 at dilution 1/200.
Immunohistochemical analysis of paraffin-embedded Human Esophagus cancer tissue using #43461 at dilution 1/200.

This gene encodes a protein which belongs to the C2H2-type zinc finger protein subclass of the Gli family. Members of this subclass are characterized as transcription factors which bind DNA through zinc finger motifs. These motifs contain conserved H-C links. Gli family zinc finger proteins are mediators of Sonic hedgehog (Shh) signaling and they are implicated as potent oncogenes in the embryonal carcinoma cell. The protein encoded by this gene localizes to the cytoplasm and activates patched Drosophila homolog (PTCH) gene expression. It is also thought to play a role during embryogenesis. The encoded protein is associated with several phenotypes- Greig cephalopolysyndactyly syndrome, Pallister-Hall syndrome, preaxial polydactyly type IV, postaxial polydactyly types A1 and B.

如果您使用该产品43461发表了文章,请通知我们,让我们可以引用您的文献。

et al,Suppressor of Fused (Sufu) Mediates the Effect of Parathyroid Hormone-Like Hormone (Pthlh) on Chondrocyte Differentiation in the Growth Plate.In J Biol Chem on 2012 Oct 19 by Xiaoyun Zhang, Steven Cheng, et al..PMID:22930757 , (2012),
PMID: 22930757

注释

应用

  • WB免疫印迹
  • IHC免疫组化
  • IF免疫荧光
  • ICC免疫细胞化学
  • FC流式细胞
  • IP免疫沉淀
  • E酶联免疫吸附法
  • DB免疫斑点法
  • ChIP染色质免疫沉淀
  • GICA胶体金免疫层析法
  • NC阴性对照

种属反应性

  • Hu
  • Ms小鼠
  • Rt大鼠
  • Dm果蝇
  • C线虫
  • Mk
  • Rb
  • B
  • D
  • P
  • Hm仓鼠
  • ChHm中国仓鼠
  • Chk
;

联系我们

Location :

南京市高新开发区星火路10号人才大厦C座

Phone :

400-9961-933
025-58868422

Email Address

info@sabbiotech.com