免费电话:400-9961-933
邮箱:info@sabbiotech.com
欢迎光临本站
川博智能体 English
位置: 首页 > 多克隆抗体 > GANAB Antibody

GANAB Antibody #43659

是否有货: Yes
产品详情

产品名称GANAB Antibody

来源种属Rabbit

克隆性Polyclonal

纯化Antigen affinity purification

应用IHC

种属反应性Human

特异性The antibody detects endogenous levels of total GANAB protein.

免疫原类型peptide

免疫原描述Synthetic peptide of human GANAB

基因/蛋白名称GANAB

标记Unconjugated

别名APC11; Apc11p; HSPC214

数据库入口号Swiss-Prot#: Q14697
NCBI Gene ID: 23193

Uniprot Q14697

浓度0.4mg/ml

配方Rabbit IgG in pH7.4 PBS, 0.05% NaN3, 40% Glycerol.

保存Store at -20˚C

应用详情

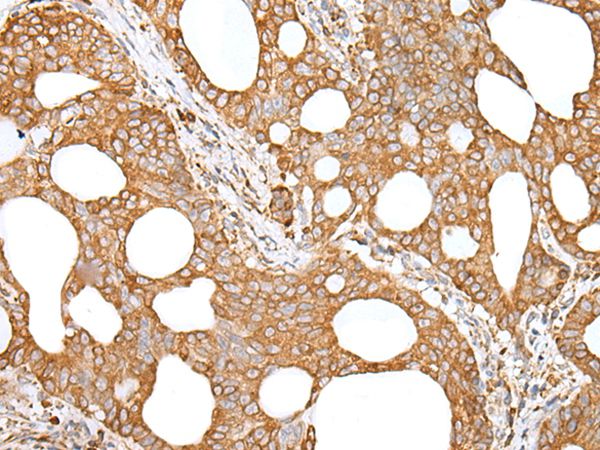
Immunohistochemistry: 1: 20-100
The image on the left is immunohistochemistry of paraffin-embedded Human gastric cancer tissue using GANAB Antibody at dilution 1/20, on the right is treated with synthetic peptide. (Original magnification: x200)
The image on the left is immunohistochemistry of paraffin-embedded Human lung cancer tissue using GANAB Antibody at dilution 1/20, on the right is treated with synthetic peptide. (Original magnification: x200)
Together with the cullin protein ANAPC2, constitutes the catalytic component of the anaphase promoting complex/cyclosome (APC/C), a cell cycle-regulated E3 ubiquitin ligase that controls progression through mitosis and the G1 phase of the cell cycle. The APC/C complex acts by mediating ubiquitination and subsequent degradation of target proteins: it mainly mediates the formation of 'Lys-11'-linked polyubiquitin chains and, to a lower extent, the formation of 'Lys-48'- and 'Lys-63'-linked polyubiquitin chains. May recruit the E2 ubiquitin-conjugating enzymes to the complex.

如果您使用该产品43659发表了文章,请通知我们,让我们可以引用您的文献。

et al,Nephrotoxicity induced by cisplatin is primarily due to the activation of the 5-hydroxytryptamine degradation system in proximal renal tubules , (2021),
PMID:

注释

应用

  • WB免疫印迹
  • IHC免疫组化
  • IF免疫荧光
  • ICC免疫细胞化学
  • FC流式细胞
  • IP免疫沉淀
  • E酶联免疫吸附法
  • DB免疫斑点法
  • ChIP染色质免疫沉淀
  • GICA胶体金免疫层析法
  • NC阴性对照

种属反应性

  • Hu
  • Ms小鼠
  • Rt大鼠
  • Dm果蝇
  • C线虫
  • Mk
  • Rb
  • B
  • D
  • P
  • Hm仓鼠
  • ChHm中国仓鼠
  • Chk
;

联系我们

Location :

南京市高新开发区星火路10号人才大厦C座

Phone :

400-9961-933
025-58868422

Email Address

info@sabbiotech.com