免费电话:400-9961-933
邮箱:info@sabbiotech.com
欢迎光临本站
川博智能体 English
位置: 首页 > 多克隆抗体 > TGFB3 Antibody

TGFB3 Antibody #43702

是否有货: Yes
产品详情

产品名称TGFB3 Antibody

来源种属Rabbit

克隆性Polyclonal

纯化Antigen affinity purification

应用IHC

种属反应性Human;Mouse;Rat

特异性The antibody detects endogenous levels of total TGFB3 protein.

免疫原类型peptide

免疫原描述Synthetic peptide of human TGFB3

基因/蛋白名称TGFB3

标记Unconjugated

别名ARVD; RNHF; ARVD1; TGF-beta3

数据库入口号Swiss-Prot#: P10600
NCBI Gene ID: 7043

Uniprot P10600

浓度0.5mg/ml

配方Rabbit IgG in pH7.4 PBS, 0.05% NaN3, 40% Glycerol.

保存Store at -20˚C

应用详情

Immunohistochemistry: 1: 20-100
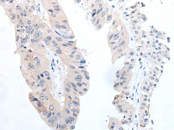
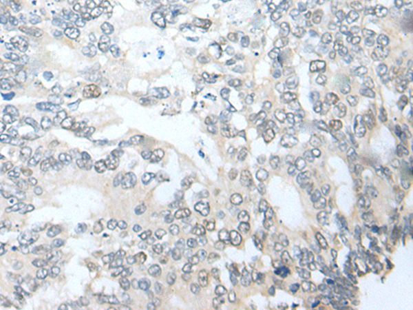
The image on the left is immunohistochemistry of paraffin-embedded Human liver cancer tissue using TGFB3 Antibody at dilution 1/20, on the right is treated with synthetic peptide. (Original magnification: x200)
The image on the left is immunohistochemistry of paraffin-embedded Human colorectal cancer tissue using TGFB3 Antibody at dilution 1/20, on the right is treated with synthetic peptide. (Original magnification: x200)
This gene encodes a member of the TGF-beta family of proteins. The encoded protein is secreted and is involved in embryogenesis and cell differentiation. Defects in this gene are a cause of familial arrhythmogenic right ventricular dysplasia 1.?

如果您使用该产品43702发表了文章,请通知我们,让我们可以引用您的文献。

et al,Composite Hydrogel Containing Collagen-Modified Polylactic Acid-Hydroxylactic Acid Copolymer Microspheres Loaded with Tetramethylpyrazine Promotes Articular Cartilage Repair , (2024),
PMID:

注释

应用

  • WB免疫印迹
  • IHC免疫组化
  • IF免疫荧光
  • ICC免疫细胞化学
  • FC流式细胞
  • IP免疫沉淀
  • E酶联免疫吸附法
  • DB免疫斑点法
  • ChIP染色质免疫沉淀
  • GICA胶体金免疫层析法
  • NC阴性对照

种属反应性

  • Hu
  • Ms小鼠
  • Rt大鼠
  • Dm果蝇
  • C线虫
  • Mk
  • Rb
  • B
  • D
  • P
  • Hm仓鼠
  • ChHm中国仓鼠
  • Chk
;

联系我们

Location :

南京市高新开发区星火路10号人才大厦C座

Phone :

400-9961-933
025-58868422

Email Address

info@sabbiotech.com