免费电话:400-9961-933
邮箱:info@sabbiotech.com
欢迎光临本站
川博智能体 English
位置: 首页 > 多克隆抗体 > PIK3CA Antibody

PIK3CA Antibody #43766

是否有货: Yes
产品详情

产品名称PIK3CA Antibody

来源种属Rabbit

克隆性Polyclonal

纯化Antigen affinity purification

应用IHC

种属反应性Human

特异性The antibody detects endogenous levels of total PIK3CA protein.

免疫原类型peptide

免疫原描述Synthetic peptide of human PIK3CA

基因/蛋白名称PIK3CA

标记Unconjugated

别名MCM; CWS5; MCAP; PI3K; CLOVE; MCMTC; p110-alpha

数据库入口号Swiss-Prot#: P42336
NCBI Gene ID: 5290

Uniprot P42336

浓度0.7mg/ml

配方Rabbit IgG in pH7.4 PBS, 0.05% NaN3, 40% Glycerol.

保存Store at -20˚C

应用详情

Immunohistochemistry: 1: 20-100
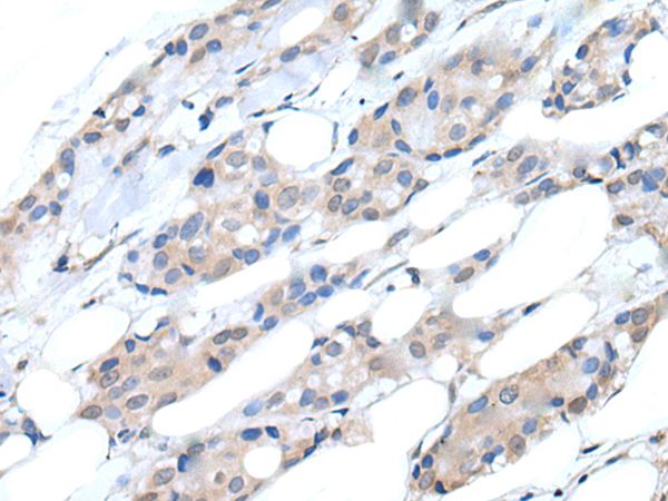
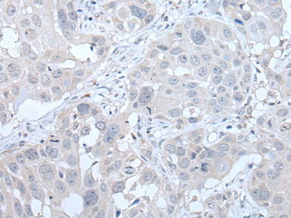
The image on the left is immunohistochemistry of paraffin-embedded Human breast cancer tissue using PIK3CA Antibody at dilution 1/25, on the right is treated with synthetic peptide. (Original magnification: x200)
The image on the left is immunohistochemistry of paraffin-embedded Human esophagus cancer tissue using PIK3CA Antibody at dilution 1/25, on the right is treated with synthetic peptide. (Original magnification: x200)
Phosphatidylinositol 3-kinase is composed of an 85 kDa regulatory subunit and a 110 kDa catalytic subunit. The protein encoded by this gene represents the catalytic subunit, which uses ATP to phosphorylate PtdIns, PtdIns4P and PtdIns(4,5)P2. This gene has been found to be oncogenic and has been implicated in cervical cancers.

如果您使用该产品43766发表了文章,请通知我们,让我们可以引用您的文献。

et al,CSF-1R regulates non-small cell lung cancer cells dissemination through Wnt3a signaling. , (2017),
PMID: 29218239

注释

应用

  • WB免疫印迹
  • IHC免疫组化
  • IF免疫荧光
  • ICC免疫细胞化学
  • FC流式细胞
  • IP免疫沉淀
  • E酶联免疫吸附法
  • DB免疫斑点法
  • ChIP染色质免疫沉淀
  • GICA胶体金免疫层析法
  • NC阴性对照

种属反应性

  • Hu
  • Ms小鼠
  • Rt大鼠
  • Dm果蝇
  • C线虫
  • Mk
  • Rb
  • B
  • D
  • P
  • Hm仓鼠
  • ChHm中国仓鼠
  • Chk
;

联系我们

Location :

南京市高新开发区星火路10号人才大厦C座

Phone :

400-9961-933
025-58868422

Email Address

info@sabbiotech.com