免费电话:400-9961-933
邮箱:info@sabbiotech.com
欢迎光临本站
川博智能体 English
位置: 首页 > 多克隆抗体 > KCNH1 Antibody

KCNH1 Antibody #43927

是否有货: Yes
产品详情

产品名称KCNH1 Antibody

来源种属Rabbit

克隆性Polyclonal

纯化Antigen affinity purification

应用IHC

种属反应性Human

特异性The antibody detects endogenous levels of total KCNH1 protein.

免疫原类型peptide

免疫原描述Synthetic peptide of human KCNH1

基因/蛋白名称KCNH1

标记Unconjugated

别名EAG; EAG1; TMBTS; h-eag; Kv10.1

数据库入口号Swiss-Prot#: O95259
NCBI Gene ID: 3756

Uniprot O95259

浓度0.2mg/ml

配方Rabbit IgG in pH7.4 PBS, 0.05% NaN3, 40% Glycerol.

保存Store at -20˚C

应用详情

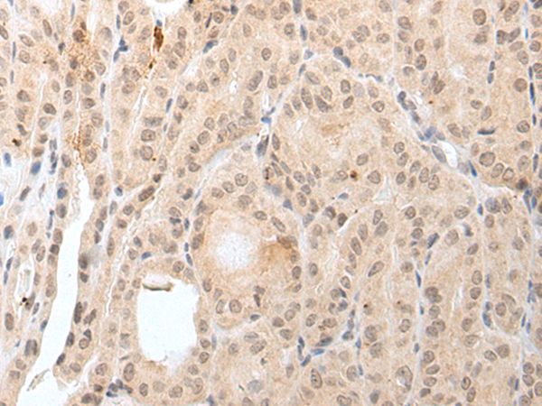
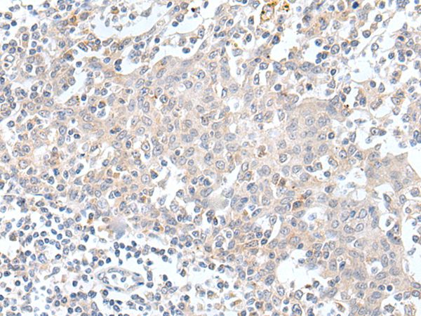
Immunohistochemistry: 1: 20-100
The image on the left is immunohistochemistry of paraffin-embedded Human tonsil tissue using KCNH1 Antibody at dilution 1/20, on the right is treated with synthetic peptide. (Original magnification: x200)
The image on the left is immunohistochemistry of paraffin-embedded Human thyroid cancer tissue using KCNH1 Antibody at dilution 1/20, on the right is treated with synthetic peptide. (Original magnification: x200)
Voltage-gated potassium (Kv) channels represent the most complex class of voltage-gated ion channels from both functional and structural standpoints. Their diverse functions include regulating neurotransmitter release, heart rate, insulin secretion, neuronal excitability, epithelial electrolyte transport, smooth muscle contraction, and cell volume. This gene encodes a member of the potassium channel, voltage-gated, subfamily H. This member is a pore-forming (alpha) subunit of a voltage-gated non-inactivating delayed rectifier potassium channel. It is activated at the onset of myoblast differentiation. The gene is highly expressed in brain and in myoblasts. Overexpression of the gene may confer a growth advantage to cancer cells and favor tumor cell proliferation. Alternative splicing of this gene results in two transcript variants encoding distinct isoforms.

如果您使用该产品43927发表了文章,请通知我们,让我们可以引用您的文献。

et al,Overexpression of CX3CL1-CX3CR1 Signaling in the Stria Vascularis Rather Than the Basilar Membrane may be the trigger for inflammaging in the Cochlea , (2025),
PMID: 40058359

注释

应用

  • WB免疫印迹
  • IHC免疫组化
  • IF免疫荧光
  • ICC免疫细胞化学
  • FC流式细胞
  • IP免疫沉淀
  • E酶联免疫吸附法
  • DB免疫斑点法
  • ChIP染色质免疫沉淀
  • GICA胶体金免疫层析法
  • NC阴性对照

种属反应性

  • Hu
  • Ms小鼠
  • Rt大鼠
  • Dm果蝇
  • C线虫
  • Mk
  • Rb
  • B
  • D
  • P
  • Hm仓鼠
  • ChHm中国仓鼠
  • Chk
;

联系我们

Location :

南京市高新开发区星火路10号人才大厦C座

Phone :

400-9961-933
025-58868422

Email Address

info@sabbiotech.com