免费电话:400-9961-933
邮箱:info@sabbiotech.com
欢迎光临本站
川博智能体 English
位置: 首页 > 鼠单克隆抗体 > β-actin Monoclonal Antibody(5B7)

β-actin Monoclonal Antibody(5B7)#44030

是否有货: 有货
产品详情

产品名称β-actin Monoclonal Antibody(5B7)

克隆号5B7

来源种属Mouse

克隆性Monoclonal

亚型IgG1

应用WB IHC

种属反应性Hu Rt Ms Mk D Chk Hm Rb Insect

特异性The antibody detects endogenous β-actin protein.

免疫原类型Peptide

免疫原描述Synthetic Peptide

基因/蛋白名称β-actin

标记Unconjugated

别名ACTB; Actin, cytoplasmic 1; Beta-actin

Uniprot P60709

计算分子量43kd

浓度1mg/ml

配方Liquid in PBS containing 50% glycerol, 0.5% BSA and 0.02% sodium azide.

保存Store at -20˚C/1 year

应用详情
Western blotting: 1:500-1:2000
Immunohistochemistry: 1:50-1:200
Western blot analysis of Hela (1) Rat brain (2) Mouse brain (3) Chicken lung (4) and Rabbit testis (5), diluted at 1:10000.
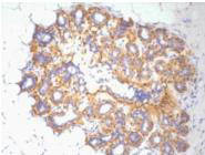
IHC Staining of Human ovary tissue, diluted at 1:200

如果您使用该产品44030发表了文章,请通知我们,让我们可以引用您的文献。

et al,Nicotinic acetylcholine receptors regulate growth hormone in pituitary somatotrophs of tigers. , (2025),
PMID: 40164859

注释

应用

  • WB免疫印迹
  • IHC免疫组化
  • IF免疫荧光
  • ICC免疫细胞化学
  • FC流式细胞
  • IP免疫沉淀
  • E酶联免疫吸附法
  • DB免疫斑点法
  • ChIP染色质免疫沉淀
  • GICA胶体金免疫层析法
  • NC阴性对照

种属反应性

  • Hu
  • Ms小鼠
  • Rt大鼠
  • Dm果蝇
  • C线虫
  • Mk
  • Rb
  • B
  • D
  • P
  • Hm仓鼠
  • ChHm中国仓鼠
  • Chk
;

联系我们

Location :

南京市高新开发区星火路10号人才大厦C座

Phone :

400-9961-933
025-58868422

Email Address

info@sabbiotech.com