免费电话:400-9961-933
邮箱:info@sabbiotech.com
欢迎光临本站
川博智能体 English
位置: 首页 > 鼠单克隆抗体 > β-Tubulin Monoclonal Antibody(5G3)

β-Tubulin Monoclonal Antibody(5G3) #44032

是否有货: 有货
产品详情

产品名称β-Tubulin Monoclonal Antibody(5G3)

克隆号5G3

来源种属Mouse

克隆性Monoclonal

亚型IgG1

应用WB IHC IF

种属反应性Hu Rt Ms Mk D Chk Hm Rb Shp Insect Yeast

特异性The antibody detects endogenous β-tubulin protein.

免疫原类型Peptide

免疫原描述Synthetic Peptide

基因/蛋白名称β-Tubulin

标记Unconjugated

别名TUBB3; TUBB4; Tubulin beta-3 chain; Tubulin beta-4 chain; Tubulin beta-III

Uniprot Q13509

计算分子量55kd

浓度1mg/ml

配方Liquid in PBS containing 50% glycerol, 0.5% BSA and 0.02% sodium azide.

保存Store at -20˚C/1 year

应用详情
Western blotting: 1:500-1:2000
Immunohistochemistry: 1:50-1:200
Immunofluorescence: 1:50-1:100
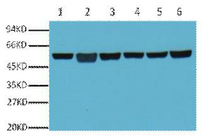
Western blot analysis of A549 (1), Rat brain (2), Mouse brain (3), Chicken lung (4) and Rabbit testis (5), Sheep muscle (6), diluted at 1:5000.
IHC Staining of Human colon tissue, diluted at 1:200.
IF analysis of Hela with β-Tubulin Monoclonal Antibody(Left) and DAPI (Right) diluted at 1:100.

如果您使用该产品44032发表了文章,请通知我们,让我们可以引用您的文献。

et al,AMD3100 inhibits the migration and differentiation of neural stem cells after spinal cord injury.In Sci Rep on 2017 Mar 6 by Jia-Ming Liu , Kai Zhao,et al..PMID: 28246405 , (2017),
PMID: 28246405
et al,miR-137 and miR-197 induce apoptosis and suppress tumorigenicity by targeting MCL-1 in multiple myeloma.In Clin Cancer Res on 2015 May 15 by Yijun Yang , Fei Li et al..PMID:25724519 , (2015),
PMID: 25724519
et al,Transcription factor Nrf1 is negatively regulated by its O-GlcNAcylation status.In FEBS Lett on 2015 Aug 19 by Jiayu Chen, Xiping Liu et al..PMID: 26231763 , (2015),
PMID: 26231763
et al,The Role of STAT3 Signaling Pathway Activation in Subconjunctival Scar Formation after Glaucoma Filtration Surgery In Int J Mol SciOn2023 Jul 30byYanxia Li , Jing Zhao et al..PMID:37569586 , (2023),
PMID: 37569586
et al,Clostridium butyricum ameliorates indomethacin-induced enteropathy by promoting MUC2 secretion via suppressing the Notch pathway. , (2025),
PMID: 40177488
et al,Electroacupuncture Combined with Press Needles Alleviates Simple Obesity via VEGF-C/VEGFR-3/PI3K/AKT Signaling Pathway. , (2025),
PMID: 40107254
et al,Eurycomalactone switched hepatocellular carcinoma cells into quiescence through 5'tRFAla/DVL/β-catenin pathway inhibition. , (2025),
PMID: 40128187

注释

应用

  • WB免疫印迹
  • IHC免疫组化
  • IF免疫荧光
  • ICC免疫细胞化学
  • FC流式细胞
  • IP免疫沉淀
  • E酶联免疫吸附法
  • DB免疫斑点法
  • ChIP染色质免疫沉淀
  • GICA胶体金免疫层析法
  • NC阴性对照

种属反应性

  • Hu
  • Ms小鼠
  • Rt大鼠
  • Dm果蝇
  • C线虫
  • Mk
  • Rb
  • B
  • D
  • P
  • Hm仓鼠
  • ChHm中国仓鼠
  • Chk
;

联系我们

Location :

南京市高新开发区星火路10号人才大厦C座

Phone :

400-9961-933
025-58868422

Email Address

info@sabbiotech.com