免费电话:400-9961-933
邮箱:info@sabbiotech.com
欢迎光临本站
川博智能体 English
位置: 首页 > 鼠单克隆抗体 > Bax Mouse Monoclonal Antibody(1C1)

Bax Mouse Monoclonal Antibody(1C1) #44150

是否有货: 有货
产品详情

产品名称Bax Mouse Monoclonal Antibody(1C1)

克隆号1C1

来源种属Mouse

克隆性Monoclonal

亚型IgG1

应用IHC

种属反应性Human;Mouse;Rat

特异性Bax Mouse Monoclonal Antibody(1C1) detects endogenous levels of BAX

免疫原类型Peptide

免疫原描述Synthetic Peptide

基因/蛋白名称Bax

标记Unconjugated

别名BAX

Uniprot Q07812

计算分子量20kd

浓度1mg/ml

配方Liquid in PBS containing 50% glycerol, 0.5% BSA and 0.02% sodium azide.

保存Store at -20˚C/1 year

应用详情

Immunohistochemistry: 1:100-1:200
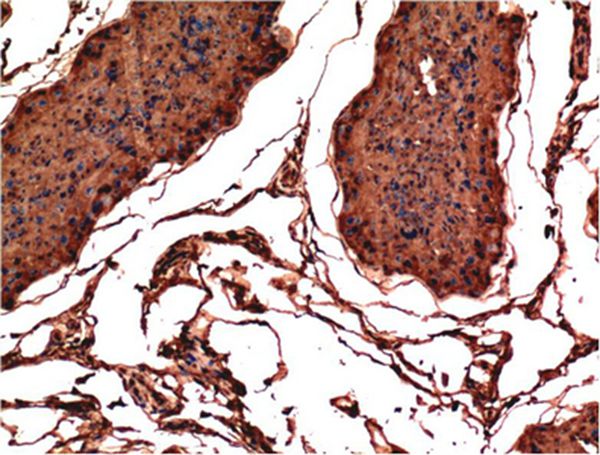
Immunohistochemical analysis of paraffin-embedded Rat Testis Tissue using Bax Mouse mAb diluted at 1:200.
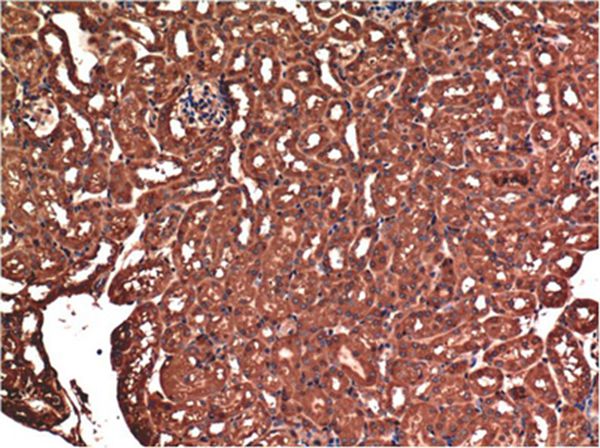
Immunohistochemical analysis of paraffin-embedded Mouse Kidney Tissue using Bax Mouse mAb diluted at 1:200.
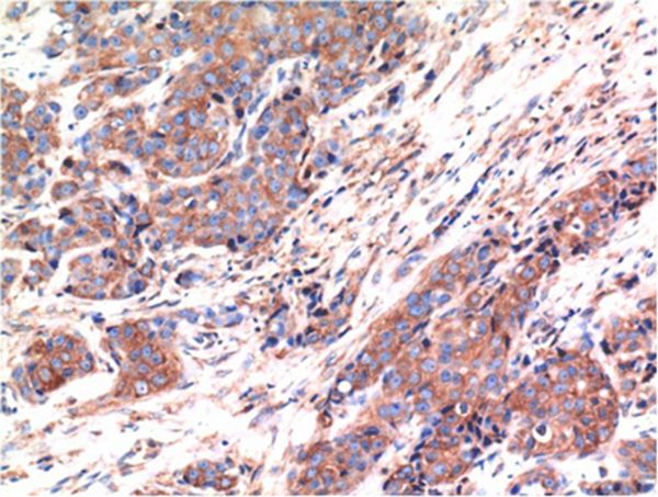
Immunohistochemical analysis of paraffin-embedded Human Breast Carcinoma Tissue using Bax Mouse mAb diluted at 1:200.

如果您使用该产品44150发表了文章,请通知我们,让我们可以引用您的文献。

et al,IDH1 Overexpression Induced Chemotherapy Resistance and IDH1 Mutation Enhanced Chemotherapy Sensitivity in Glioma Cells in Vitro and in Vivo , (2014),
PMID:

注释

应用

  • WB免疫印迹
  • IHC免疫组化
  • IF免疫荧光
  • ICC免疫细胞化学
  • FC流式细胞
  • IP免疫沉淀
  • E酶联免疫吸附法
  • DB免疫斑点法
  • ChIP染色质免疫沉淀
  • GICA胶体金免疫层析法
  • NC阴性对照

种属反应性

  • Hu
  • Ms小鼠
  • Rt大鼠
  • Dm果蝇
  • C线虫
  • Mk
  • Rb
  • B
  • D
  • P
  • Hm仓鼠
  • ChHm中国仓鼠
  • Chk
;

联系我们

Location :

南京市高新开发区星火路10号人才大厦C座

Phone :

400-9961-933
025-58868422

Email Address

info@sabbiotech.com