免费电话:400-9961-933
邮箱:info@sabbiotech.com
欢迎光临本站
川博智能体 English
位置: 首页 > 鼠单克隆抗体 > LC3A Mouse Monoclonal Antibody(5G10)

LC3A Mouse Monoclonal Antibody(5G10) #44176

是否有货: 有货
产品详情

产品名称LC3A Mouse Monoclonal Antibody(5G10)

克隆号5G10

来源种属Mouse

克隆性Monoclonal

亚型IgG1

应用WB IHC

种属反应性Human;Mouse;Rat

特异性LC3A Mouse Monoclonal Antibody(5G10) detects endogenous levels of LC3A

免疫原类型Peptide

免疫原描述Synthetic Peptide

基因/蛋白名称LC3A

标记Unconjugated

别名LC3A

Uniprot Q9H492

计算分子量14,16kd

浓度1mg/ml

配方Liquid in PBS containing 50% glycerol, 0.5% BSA and 0.02% sodium azide.

保存Store at -20˚C/1 year

应用详情
Western blotting: 1:1000-1:2000
Immunohistochemistry: 1:100-1:200
Western blot analysis of 1) Hela Cell Lysate, 2) 3T3 Cell Lysate, 3) Rat Brain Tissue Lysate using LC3A Mouse mAb diluted at 1:1000.
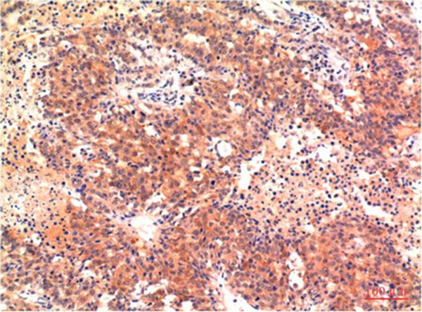
Immunohistochemical analysis of paraffin-embedded Human Heptacarcinoma Tissue using LC3A Mouse mAb diluted at 1:200.
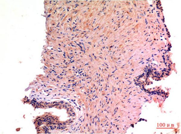
Immunohistochemical analysis of paraffin-embedded Human Prostate Carcinoma Tissue using LC3A Mouse mAb diluted at 1:200.

如果您使用该产品44176发表了文章,请通知我们,让我们可以引用您的文献。

et al,Cannabinoid receptor-2 attenuates neuroinflammation by promoting autophagy-mediated degradation of the NLRP3 inflammasome post spinal cord injury , (2022),
PMID: 36238284

注释

应用

  • WB免疫印迹
  • IHC免疫组化
  • IF免疫荧光
  • ICC免疫细胞化学
  • FC流式细胞
  • IP免疫沉淀
  • E酶联免疫吸附法
  • DB免疫斑点法
  • ChIP染色质免疫沉淀
  • GICA胶体金免疫层析法
  • NC阴性对照

种属反应性

  • Hu
  • Ms小鼠
  • Rt大鼠
  • Dm果蝇
  • C线虫
  • Mk
  • Rb
  • B
  • D
  • P
  • Hm仓鼠
  • ChHm中国仓鼠
  • Chk
;

联系我们

Location :

南京市高新开发区星火路10号人才大厦C座

Phone :

400-9961-933
025-58868422

Email Address

info@sabbiotech.com