免费电话:400-9961-933
邮箱:info@sabbiotech.com
欢迎光临本站
川博智能体 English
位置: 首页 > 鼠单克隆抗体 > Collagen I Mouse Monoclonal Antibody(6E11)

Collagen I Mouse Monoclonal Antibody(6E11) #44271

是否有货: 有货
产品详情

产品名称Collagen I Mouse Monoclonal Antibody(6E11)

克隆号¡®6E11

来源种属Mouse

克隆性Monoclonal

亚型IgG1

应用IHC

种属反应性Human;Mouse;Rat

特异性The antibody detects endogenous Collagen I protein

免疫原类型Peptide

免疫原描述Synthetic Peptide of Collagen I

基因/蛋白名称Collagen I

标记Unconjugated

别名Collagen alpha-1(I) chain (Alpha-1 type I collagen)

Uniprot P02452

计算分子量139kd

浓度1mg/ml

配方Liquid in PBS containing 50% glycerol, 0.5% BSA and 0.02% sodium azide.

保存Store at -20˚C/1 year

应用详情

Immunohistochemistry: 1:50-1:200
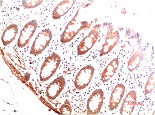
Immunohistochemical analysis of paraffin-embedded Human Colon Carcinoma Tissue using Collagen I Mouse mAb diluted at 1:200.
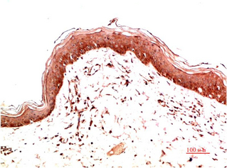
Immunohistochemical analysis of paraffin-embedded Human Skin Carcinoma Tissue using Collagen I Mouse mAb diluted at 1:200.

如果您使用该产品44271发表了文章,请通知我们,让我们可以引用您的文献。

et al,Combination therapy of chitosan, gynostemma, and motherwort alleviates the progression of experimental rat chronic renal failure by inhibiting STAT1 activation.In Oncotarget.On 2018 Mar 20 by Wenxia Bai,1 Shudong Wang et al..PMID: 29643988 , (2018),
PMID: 29643988

注释

应用

  • WB免疫印迹
  • IHC免疫组化
  • IF免疫荧光
  • ICC免疫细胞化学
  • FC流式细胞
  • IP免疫沉淀
  • E酶联免疫吸附法
  • DB免疫斑点法
  • ChIP染色质免疫沉淀
  • GICA胶体金免疫层析法
  • NC阴性对照

种属反应性

  • Hu
  • Ms小鼠
  • Rt大鼠
  • Dm果蝇
  • C线虫
  • Mk
  • Rb
  • B
  • D
  • P
  • Hm仓鼠
  • ChHm中国仓鼠
  • Chk
;

联系我们

Location :

南京市高新开发区星火路10号人才大厦C座

Phone :

400-9961-933
025-58868422

Email Address

info@sabbiotech.com