免费电话:400-9961-933
邮箱:info@sabbiotech.com
欢迎光临本站
川博智能体 English
位置: 首页 > 多克隆抗体 > CACNA2D2 Antibody

CACNA2D2 Antibody #46384

是否有货: Yes
产品详情

产品名称CACNA2D2 Antibody

来源种属Rabbit

克隆性Polyclonal

纯化Antigen affinity purification

应用IHC

种属反应性Human;Mouse;Rat

特异性The antibody detects endogenous levels of total CACNA2D2 protein.

免疫原类型peptide

免疫原描述Synthetic peptide corresponding to internal residues of human CACNA2D2

基因/蛋白名称CACNA2D2

标记Unconjugated

别名CACNA2D

数据库入口号Swiss-Prot:Q9NY47
NCBI Gene ID:9254
NCBI Protein:NP_001167522

Uniprot Q9NY47

浓度1.1mg/ml

配方Rabbit IgG in pH7.4 PBS, 0.05% NaN3, 40% Glycerol.

保存Store at -20˚C

应用详情

Immunohistochemistry: 1: 30-150
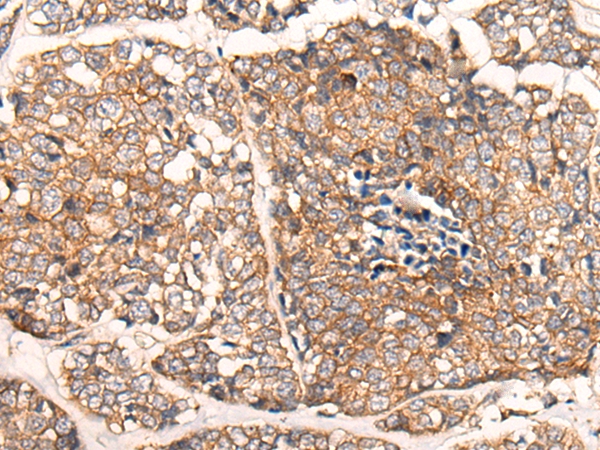
The image on the left is immunohistochemistry of paraffin-embedded Human esophagus cancer tissue using 46384(CACNA2D2 Antibody) at dilution 1/45, on the right is treated with synthetic peptide. (Original magnification: x200)
Calcium channels mediate the entry of calcium ions into the cell upon membrane polarization. This gene encodes the alpha-2/delta subunit of the voltage-dependent calcium channel complex. The complex consists of the main channel-forming subunit alpha-1, and auxiliary subunits alpha-2/delta, beta, and gamma. The auxiliary subunits function in the assembly and membrane localization of the complex, and modulate calcium currents and channel activation/inactivation kinetics. The subunit encoded by this gene undergoes post-translational cleavage to yield the extracellular alpha2 peptide and a membrane-anchored delta polypeptide. This subunit is a receptor for the antiepileptic drug, gabapentin. Mutations in this gene are associated with early infantile epileptic encephalopathy. Single nucleotide polymorphisms in this gene are correlated with increased sensitivity to opioid drugs. Alternative splicing results in multiple transcript variants encoding different isoforms.?

如果您使用该产品46384发表了文章,请通知我们,让我们可以引用您的文献。

et al,Exploring diverse programmed cell-death patterns to develop a novel gene signature for predicting the prognosis of lung adenocarcinoma patients , (2024),
PMID:

注释

应用

  • WB免疫印迹
  • IHC免疫组化
  • IF免疫荧光
  • ICC免疫细胞化学
  • FC流式细胞
  • IP免疫沉淀
  • E酶联免疫吸附法
  • DB免疫斑点法
  • ChIP染色质免疫沉淀
  • GICA胶体金免疫层析法
  • NC阴性对照

种属反应性

  • Hu
  • Ms小鼠
  • Rt大鼠
  • Dm果蝇
  • C线虫
  • Mk
  • Rb
  • B
  • D
  • P
  • Hm仓鼠
  • ChHm中国仓鼠
  • Chk
;

联系我们

Location :

南京市高新开发区星火路10号人才大厦C座

Phone :

400-9961-933
025-58868422

Email Address

info@sabbiotech.com