免费电话:400-9961-933
邮箱:info@sabbiotech.com
欢迎光临本站
川博智能体 English
位置: 首页 > 多克隆抗体 > CEP72 Antibody

CEP72 Antibody #46478

是否有货: Yes
产品详情

产品名称CEP72 Antibody

来源种属Rabbit

克隆性Polyclonal

纯化Antigen affinity purification

应用WB IHC

种属反应性Human;Mouse

特异性The antibody detects endogenous levels of total CEP72 protein.

免疫原类型peptide

免疫原描述Synthetic protein corresponding to residues near the C terminal of human CEP72

基因/蛋白名称CEP72

标记Unconjugated

数据库入口号Swiss-Prot:Q9P209
NCBI Gene ID:55722
NCBI Protein:BC000132

Uniprot Q9P209

计算分子量72 kDa

浓度1mg/ml

配方Rabbit IgG in pH7.4 PBS, 0.05% NaN3, 40% Glycerol.

保存Store at -20˚C

应用详情
Western blotting: 1:200-1:1000
Immunohistochemistry: 1: 30-150
Gel: 6%SDS-PAGE
lysate: 40 ¦Ìg, Lane 1-3: TM4£¬NIH/3T3 and Jurkat cell lysates,
Primary antibody: 46478£¨CEP72 Antibody) at dilution 1/600
Secondary antibody: Goat anti rabbit IgG at 1/8000 dilution,
Exposure time: 1 minute
The image on the left is immunohistochemistry of paraffin-embedded Human esophagus cancer tissue using 46478(CEP72 Antibody) at dilution 1/40, on the right is treated with fusion protein. (Original magnification: x200)
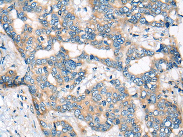
The image on the left is immunohistochemistry of paraffin-embedded Human liver cancer tissue using 46478(CEP72 Antibody) at dilution 1/40, on the right is treated with fusion protein. (Original magnification: x200)
Centrosomes are the major microtubule-organizing centers of mammalian cells. They are composed of a centriole pair and surrounding microtubule-nucleating material termed pericentriolar material (PCM). Bipolar mitotic spindle assembly relies on two intertwined processes: centriole duplication and centrosome maturation. Failure to properly orchestrate centrosome duplication and maturation is subsequently linked to spindle defects, which can result in aneuploidy and promote cancer progression. CEP72 (centrosomal protein 72kDa) is a 647 amino acid protein that localizes to the centrosome and centrosome-surrounding particles throughout the cell cycle. Involved in the recruitment of key centrosomal proteins to the centrosome, CEP72 provides centrosomal microtubule-nucleation activity on the ? Tubulin ring complexes and has critical roles in forming a focused bipolar spindle, which is needed for proper tension generation between sister chromatids. CEP72 exists as two alternatively spliced isoforms.

如果您使用该产品46478发表了文章,请通知我们,让我们可以引用您的文献。

et al,Increased expression of CEP72 predicts poor prognosis in multiple myelomaInInt J Lab HematolOn2023 JunbyDan Guo?#?1?2,?Jinfeng Lu et al..PMID:?36782078 , (2023),
PMID: 36782078

注释

应用

  • WB免疫印迹
  • IHC免疫组化
  • IF免疫荧光
  • ICC免疫细胞化学
  • FC流式细胞
  • IP免疫沉淀
  • E酶联免疫吸附法
  • DB免疫斑点法
  • ChIP染色质免疫沉淀
  • GICA胶体金免疫层析法
  • NC阴性对照

种属反应性

  • Hu
  • Ms小鼠
  • Rt大鼠
  • Dm果蝇
  • C线虫
  • Mk
  • Rb
  • B
  • D
  • P
  • Hm仓鼠
  • ChHm中国仓鼠
  • Chk
;

联系我们

Location :

南京市高新开发区星火路10号人才大厦C座

Phone :

400-9961-933
025-58868422

Email Address

info@sabbiotech.com