免费电话:400-9961-933
邮箱:info@sabbiotech.com
欢迎光临本站
川博智能体 English
位置: 首页 > 多克隆抗体 > MTA2 Antibody

MTA2 Antibody #46616

是否有货: Yes
产品详情

产品名称MTA2 Antibody

来源种属Rabbit

克隆性Polyclonal

纯化Antigen affinity purification

应用WB IHC

种属反应性Human;Mouse

特异性The antibody detects endogenous levels of total MTA2 protein.

免疫原类型peptide

免疫原描述Synthetic peptide corresponding to residues near the C terminal of human MTA2

基因/蛋白名称MTA2

标记Unconjugated

别名PID; MTA1L1

数据库入口号Swiss-Prot:O94776
NCBI Gene ID:9219
NCBI Protein:NP_004730

Uniprot O94776

计算分子量75 kDa

浓度1mg/ml

配方Rabbit IgG in pH7.4 PBS, 0.05% NaN3, 40% Glycerol.

保存Store at -20˚C

应用详情
Western blotting: 1:500-1:2000
Immunohistochemistry: 1: 25-100
Gel: 8%SDS-PAGE
lysate: 40 ¦Ìg, Lane 1-4: NIH/3T3£¬A431£¬293T and Hela cell lysates,
Primary antibody: 46616£¨MTA2 Antibody) at dilution 1/400
Secondary antibody: Goat anti rabbit IgG at 1/8000 dilution,
Exposure time: 30 seconds
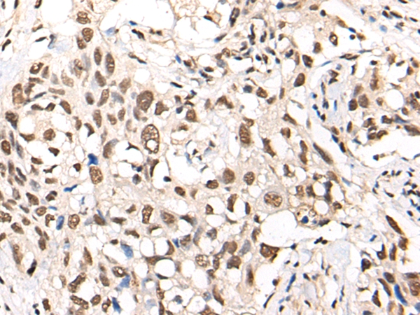
The image on the left is immunohistochemistry of paraffin-embedded Human lung cancer tissue using 46616(MTA2 Antibody) at dilution 1/40, on the right is treated with synthetic peptide. (Original magnification: x200)
This gene encodes a protein that has been identified as a component of NuRD, a nucleosome remodeling deacetylase complex identified in the nucleus of human cells. It shows a very broad expression pattern and is strongly expressed in many tissues. It may represent one member of a small gene family that encode different but related proteins involved either directly or indirectly in transcriptional regulation. Their indirect effects on transcriptional regulation may include chromatin remodeling. It is closely related to another member of this family, a protein that has been correlated with the metastatic potential of certain carcinomas. These two proteins are so closely related that they share the same types of domains. These domains include two DNA binding domains, a dimerization domain, and a domain commonly found in proteins that methylate DNA. One of the proteins known to be a target protein for this gene product is p53. Deacetylation of p53 is correlated with a loss of growth inhibition in transformed cells supporting a connection between these gene family members and metastasis.

如果您使用该产品46616发表了文章,请通知我们,让我们可以引用您的文献。

et al,The skin hydration and anti‐ageing benefits of Ectoine, achieved through enhanced Src‐ERK‐mediated HAS‐2 and JNK‐driven AQP‐3 expression in human … , (2025),
PMID: 41116229

注释

应用

  • WB免疫印迹
  • IHC免疫组化
  • IF免疫荧光
  • ICC免疫细胞化学
  • FC流式细胞
  • IP免疫沉淀
  • E酶联免疫吸附法
  • DB免疫斑点法
  • ChIP染色质免疫沉淀
  • GICA胶体金免疫层析法
  • NC阴性对照

种属反应性

  • Hu
  • Ms小鼠
  • Rt大鼠
  • Dm果蝇
  • C线虫
  • Mk
  • Rb
  • B
  • D
  • P
  • Hm仓鼠
  • ChHm中国仓鼠
  • Chk
;

联系我们

Location :

南京市高新开发区星火路10号人才大厦C座

Phone :

400-9961-933
025-58868422

Email Address

info@sabbiotech.com