免费电话:400-9961-933
邮箱:info@sabbiotech.com
欢迎光临本站
川博智能体 English
位置: 首页 > 多克隆抗体 > UTP11 Antibody

UTP11 Antibody #46701

是否有货: Yes
产品详情

产品名称UTP11 Antibody

来源种属Rabbit

克隆性Polyclonal

纯化Antigen affinity purification

应用WB IHC

种属反应性Human

特异性The antibody detects endogenous levels of total UTP11 protein.

免疫原类型peptide

免疫原描述Full length fusion protein of human UTP11

基因/蛋白名称UTP11

标记Unconjugated

别名CGI94; CGI-94; UTP11L

数据库入口号Swiss-Prot:Q9Y3A2
NCBI Gene ID:51118
NCBI Protein:BC005182

Uniprot Q9Y3A2

计算分子量30 kDa

浓度0.5mg/ml

配方Rabbit IgG in pH7.4 PBS, 0.05% NaN3, 40% Glycerol.

保存Store at -20˚C

应用详情
Western blotting: 1:200-1:1000
Immunohistochemistry: 1: 25-100
Gel: 8%SDS-PAGE
lysate: 40 ¦Ìg, Lane: Human fetal liver tissue lysate,
Primary antibody: 46701£¨UTP11 Antibody) at dilution 1/200
Secondary antibody: Goat anti rabbit IgG at 1/8000 dilution,
Exposure time: 15 seconds
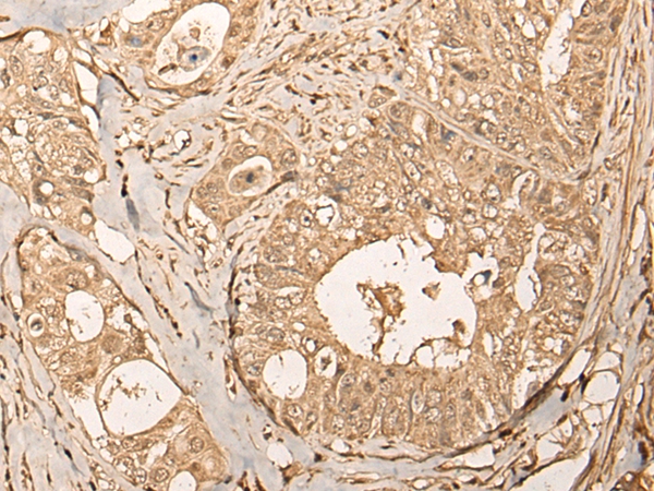
The image on the left is immunohistochemistry of paraffin-embedded Human colorectal cancer tissue using 46701(UTP11 Antibody) at dilution 1/30, on the right is treated with fusion protein. (Original magnification: x200)
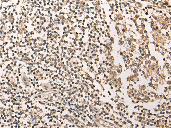
The image on the left is immunohistochemistry of paraffin-embedded Human tonsil tissue using 46701(UTP11 Antibody) at dilution 1/30, on the right is treated with fusion protein. (Original magnification: x200)
Involved in nucleolar processing of pre-18S ribosomal RNA.

如果您使用该产品46701发表了文章,请通知我们,让我们可以引用您的文献。

et al,UTP11 deficiency suppresses cancer development via nucleolar stress and ferroptosisInRedox BiolOn2023 JunbyYu Gan, Jun Deng et al..PMID:37087976 , (2023),
PMID: 37087976

注释

应用

  • WB免疫印迹
  • IHC免疫组化
  • IF免疫荧光
  • ICC免疫细胞化学
  • FC流式细胞
  • IP免疫沉淀
  • E酶联免疫吸附法
  • DB免疫斑点法
  • ChIP染色质免疫沉淀
  • GICA胶体金免疫层析法
  • NC阴性对照

种属反应性

  • Hu
  • Ms小鼠
  • Rt大鼠
  • Dm果蝇
  • C线虫
  • Mk
  • Rb
  • B
  • D
  • P
  • Hm仓鼠
  • ChHm中国仓鼠
  • Chk
;

联系我们

Location :

南京市高新开发区星火路10号人才大厦C座

Phone :

400-9961-933
025-58868422

Email Address

info@sabbiotech.com