免费电话:400-9961-933
邮箱:info@sabbiotech.com
欢迎光临本站
川博智能体 English
位置: 首页 > 多克隆抗体 > Imp3 Polyclonal Antibody

Imp3 Polyclonal Antibody #46748

是否有货: 有货
产品详情

产品名称Imp3 Polyclonal Antibody

来源种属Rabbit

克隆性Polyclonal

纯化The antibody was affinity-purified from rabbit serum by affinity-chromatography using specific immunogen.

应用WB IHC

种属反应性Human;Mouse;Rat

特异性The antibody detects endogenous Imp3 protein

免疫原类型protein

免疫原描述Synthetic peptide from human protein at AA range: 135-184

基因/蛋白名称Imp3

标记Unconjugated

别名IMP3 C15orf12 MRPS4

数据库入口号Swiss-Prot:Q9NV31
NCBI Gene ID:55272

Uniprot Q9NV31

计算分子量25 kDa

浓度1 mg/ml

配方Liquid in PBS containing 50% glycerol, 0.5% BSA and 0.02% sodium azide.

保存Store at -20˚C

应用详情
Western blotting: 1£º500-1£º10000
Immunohistochemistry: IHC: 1:100-1:300
Western Blot analysis of HEPG2 cells using Antibody diluted at 1000. Secondary antibody was diluted at 1:20000
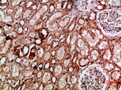
Immunohistochemical analysis of paraffin-embedded human-kidney, antibody was diluted at 1:200
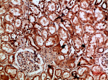
Immunohistochemical analysis of paraffin-embedded human-kidney, antibody was diluted at 1:200
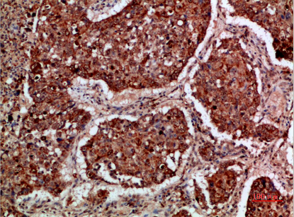
Immunohistochemical analysis of paraffin-embedded human-lung-cancer, antibody was diluted at 1:200

如果您使用该产品46748发表了文章,请通知我们,让我们可以引用您的文献。

et al,A novel tumour enhancer function of Insulin-like growth factor II mRNA-binding protein 3 in colorectal cancerInCell Death DisOn2023 Apr 6byDavide Di Fusco?1,?Antonio Di Grazia et al..PMID:?37024466 , (2023),
PMID: 37024466

注释

应用

  • WB免疫印迹
  • IHC免疫组化
  • IF免疫荧光
  • ICC免疫细胞化学
  • FC流式细胞
  • IP免疫沉淀
  • E酶联免疫吸附法
  • DB免疫斑点法
  • ChIP染色质免疫沉淀
  • GICA胶体金免疫层析法
  • NC阴性对照

种属反应性

  • Hu
  • Ms小鼠
  • Rt大鼠
  • Dm果蝇
  • C线虫
  • Mk
  • Rb
  • B
  • D
  • P
  • Hm仓鼠
  • ChHm中国仓鼠
  • Chk
;

联系我们

Location :

南京市高新开发区星火路10号人才大厦C座

Phone :

400-9961-933
025-58868422

Email Address

info@sabbiotech.com