免费电话:400-9961-933
邮箱:info@sabbiotech.com
欢迎光临本站
川博智能体 English
位置: 首页 > 多克隆抗体 > BZW2 Antibody

BZW2 Antibody #46935

是否有货: 有货
产品详情

产品名称BZW2 Antibody

来源种属Rabbit

克隆性Polyclonal

纯化Antigen affinity purification

应用IHC

种属反应性Human

特异性The antibody detects endogenous levels of total BZW2 protein.

免疫原类型protein

免疫原描述Fusion protein of human BZW2

基因/蛋白名称BZW2

标记Unconjugated

别名MST017; HSPC028; MSTP017

数据库入口号Swiss-Prot#:Q9Y6E2
NCBI Gene ID:28969
Gene Accssion:BC003056

Uniprot Q9Y6E2

浓度0.9mg/ml

配方Rabbit IgG in pH7.4 PBS, 0.05% NaN3, 40% Glycerol.

保存Store at -20C

应用详情

Immunofluorescence:1: 20-100
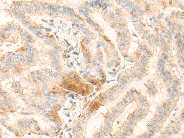
The image is immunohistochemistry of paraffin-embedded Human thyroid cancer tissue using 46935(BZW2 Antibody) at dilution 1/25. (Original magnification: ?00)
May be involved in neuronal differentiation.

如果您使用该产品46935发表了文章,请通知我们,让我们可以引用您的文献。

et al,Polyamine metabolism patterns characterized tumor microenvironment, prognosis, and response to immunotherapy in colorectal cancer. , (2022),
PMID:
et al,Polyamine metabolism patterns characterized tumor microenvironment, prognosis, and response to immunotherapy in colorectal cancerInCancer Cell IntOn2023 May 18byEnkui Zhang,Chengsheng Ding et al..PMID: , (2023),
PMID:

注释

应用

  • WB免疫印迹
  • IHC免疫组化
  • IF免疫荧光
  • ICC免疫细胞化学
  • FC流式细胞
  • IP免疫沉淀
  • E酶联免疫吸附法
  • DB免疫斑点法
  • ChIP染色质免疫沉淀
  • GICA胶体金免疫层析法
  • NC阴性对照

种属反应性

  • Hu
  • Ms小鼠
  • Rt大鼠
  • Dm果蝇
  • C线虫
  • Mk
  • Rb
  • B
  • D
  • P
  • Hm仓鼠
  • ChHm中国仓鼠
  • Chk
;

联系我们

Location :

南京市高新开发区星火路10号人才大厦C座

Phone :

400-9961-933
025-58868422

Email Address

info@sabbiotech.com