免费电话:400-9961-933
邮箱:info@sabbiotech.com
欢迎光临本站
川博智能体 English
位置: 首页 > 多克隆抗体 > DENND1B Antibody

DENND1B Antibody#47045

是否有货: 有货
产品详情

产品名称DENND1B Antibody

来源种属Rabbit

克隆性Polyclonal

纯化Antigen affinity purification

应用IHC

种属反应性Human

特异性The antibody detects endogenous levels of total DENND1B protein.

免疫原类型protein

免疫原描述Fusion protein of human DENND1B

基因/蛋白名称DENND1B

标记Unconjugated

别名FAM31B; C1ORF18; C1orf218

数据库入口号Swiss-Prot#:Q6P3S1
NCBI Gene ID:163486
Gene Accssion:BC022561

Uniprot Q6P3S1

浓度0.7mg/ml

配方Rabbit IgG in pH7.4 PBS, 0.05% NaN3, 40% Glycerol.

保存Store at -20C

应用详情

Immunofluorescence:1: 20-100
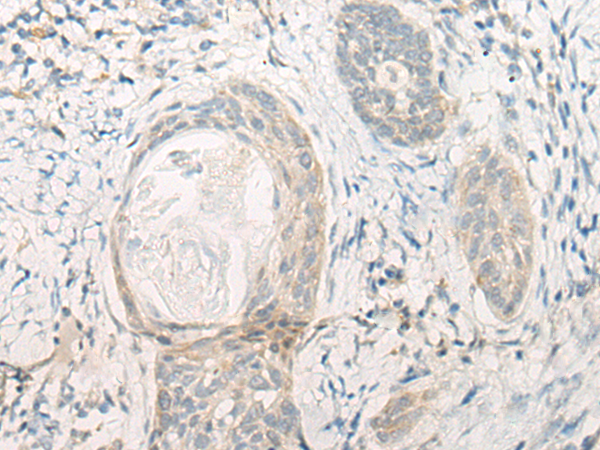
The image is immunohistochemistry of paraffin-embedded Human thyroid cancer tissue using 47045(DENND1B Antibody) at dilution 1/20. (Original magnification: ?00)
The image is immunohistochemistry of paraffin-embedded Human esophagus cancer tissue using 47045(DENND1B Antibody) at dilution 1/20. (Original magnification: ?00)
Clathrin (see MIM 118955)-mediated endocytosis is a major mechanism for internalization of proteins and lipids. Members of the connecdenn family, such as DENND1B, function as guanine nucleotide exchange factors (GEFs) for the early endosomal small GTPase RAB35 (MIM 604199) and bind to clathrin and clathrin adaptor protein-2 (AP2; see MIM 601024). Thus, connecdenns link RAB35 activation with the clathrin machinery (Marat and McPherson, 2010 [PubMed 20154091]).

如果您使用该产品47045发表了文章,请通知我们,让我们可以引用您的文献。

注释

应用

  • WB免疫印迹
  • IHC免疫组化
  • IF免疫荧光
  • ICC免疫细胞化学
  • FC流式细胞
  • IP免疫沉淀
  • E酶联免疫吸附法
  • DB免疫斑点法
  • ChIP染色质免疫沉淀
  • GICA胶体金免疫层析法
  • NC阴性对照

种属反应性

  • Hu
  • Ms小鼠
  • Rt大鼠
  • Dm果蝇
  • C线虫
  • Mk
  • Rb
  • B
  • D
  • P
  • Hm仓鼠
  • ChHm中国仓鼠
  • Chk
;

联系我们

Location :

南京市高新开发区星火路10号人才大厦C座

Phone :

400-9961-933
025-58868422

Email Address

info@sabbiotech.com