免费电话:400-9961-933
邮箱:info@sabbiotech.com
欢迎光临本站
川博智能体 English
位置: 首页 > 多克隆抗体 > SLC6A9 Antibody

SLC6A9 Antibody #47583

是否有货: Yes
产品详情

产品名称SLC6A9 Antibody

来源种属Rabbit

克隆性Polyclonal

纯化Antigen affinity purification

应用IHC

种属反应性Human;Mouse;Rat

特异性The antibody detects endogenous levels of total SLC6A9 protein.

免疫原类型Peptide

免疫原描述Synthetic peptide of human SLC6A9

基因/蛋白名称SLC6A9

标记Unconjugated

别名GLYT1; GCENSG

数据库入口号Swiss-Prot#:P48067
NCBI Gene ID:6536
Gene Accssion:NP_964012

Uniprot P48067

浓度0.7

配方Rabbit IgG in pH7.4 PBS, 0.05% NaN3, 40% Glycerol.

保存Store at -20˚C

应用详情

IHC dilution:1: 30-150

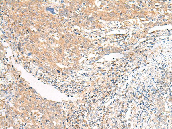
The image is immunohistochemistry of paraffin-embedded Human colorectal cancer tissue using 47583(SLC6A9 Antibody) at dilution 1/25.(Original magnification: 200)
The image is immunohistochemistry of paraffin-embedded Human cervical cancer tissue using 47583(SLC6A9 Antibody) at dilution 1/25.(Original magnification: 200)

The amino acid glycine acts as an inhibitory neurotransmitter in the central nervous system. The protein encoded by this gene is one of two transporters that stop glycine signaling by removing it from the synaptic cleft.

如果您使用该产品47583发表了文章,请通知我们,让我们可以引用您的文献。

et al,ALG5 downregulation inhibits osteogenesis and promotes adipogenesis by regulating the N-glycosylation of SLC6A9 in osteoporosis. , (2025),
PMID: 39760914

注释

应用

  • WB免疫印迹
  • IHC免疫组化
  • IF免疫荧光
  • ICC免疫细胞化学
  • FC流式细胞
  • IP免疫沉淀
  • E酶联免疫吸附法
  • DB免疫斑点法
  • ChIP染色质免疫沉淀
  • GICA胶体金免疫层析法
  • NC阴性对照

种属反应性

  • Hu
  • Ms小鼠
  • Rt大鼠
  • Dm果蝇
  • C线虫
  • Mk
  • Rb
  • B
  • D
  • P
  • Hm仓鼠
  • ChHm中国仓鼠
  • Chk
;

联系我们

Location :

南京市高新开发区星火路10号人才大厦C座

Phone :

400-9961-933
025-58868422

Email Address

info@sabbiotech.com