免费电话:400-9961-933
邮箱:info@sabbiotech.com
欢迎光临本站
川博智能体 English
位置: 首页 > 多克隆抗体 > HTRA4 Antibody

HTRA4 Antibody #47642

是否有货: Yes
产品详情

产品名称HTRA4 Antibody

来源种属Rabbit

克隆性Polyclonal

纯化Antigen affinity purification

应用WB, IHC

种属反应性Human;Rat

特异性The antibody detects endogenous levels of total HTRA4 protein.

免疫原类型Peptide

免疫原描述Synthetic peptide of human HTRA4

基因/蛋白名称HTRA4

标记Unconjugated

数据库入口号Swiss-Prot#:P83105
NCBI Gene ID:203100
Gene Accssion:NP_710159

Uniprot P83105

计算分子量51 kDa

浓度1

配方Rabbit IgG in pH7.4 PBS, 0.05% NaN3, 40% Glycerol.

保存Store at -20˚C

应用详情

WB dilution:1:500-2000
IHC dilution:1: 30-150

Gel: 8%SDS-PAGE, Lysate: 40 μg, Lane 1-2: Human placenta tissue and 231 cell lysates, Primary antibody:47642(HTRA4 Antibody) at dilution 1/400, Secondary antibody: Goat anti rabbit IgG at 1/8000 dilution, Exposure time: 3 minutes
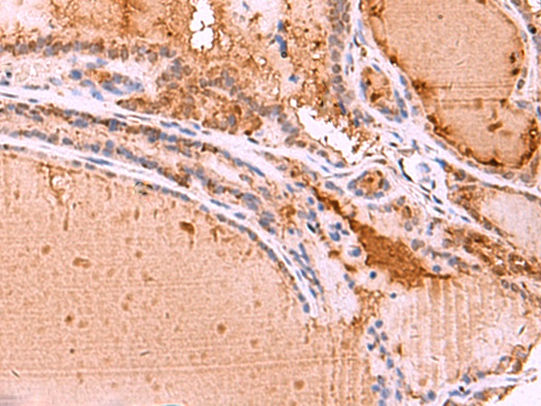
The image is immunohistochemistry of paraffin-embedded Human thyroid cancer tissue using 47642(HTRA4 Antibody) at dilution 1/35.(Original magnification: 200)

This gene encodes a member of the HtrA family of proteases. The encoded protein contains a putative signal peptide, an insulin growth factor binding domain, a Kazal protease inhibitor domain, a conserved trypsin domain and a PDZ domain. Based on studies on other related family members, this enzyme may function as a secreted oligomeric chaperone protease to degrade misfolded secretory proteins. Other human HtrA proteins have been implicated in arthritis, tumor suppression, unfolded stress response, apoptosis, and aging.

如果您使用该产品47642发表了文章,请通知我们,让我们可以引用您的文献。

et al,The epigenetic role of HTR1A antagonist in facilitating GnRH expression for pubertal initiation control , (2021),
PMID: 34458005
et al,The epigenetic role of HTR1A antagonist in facilitating GnRH expression for pubertal initiation control , (2021),
PMID: 34458005

注释

应用

  • WB免疫印迹
  • IHC免疫组化
  • IF免疫荧光
  • ICC免疫细胞化学
  • FC流式细胞
  • IP免疫沉淀
  • E酶联免疫吸附法
  • DB免疫斑点法
  • ChIP染色质免疫沉淀
  • GICA胶体金免疫层析法
  • NC阴性对照

种属反应性

  • Hu
  • Ms小鼠
  • Rt大鼠
  • Dm果蝇
  • C线虫
  • Mk
  • Rb
  • B
  • D
  • P
  • Hm仓鼠
  • ChHm中国仓鼠
  • Chk
;

联系我们

Location :

南京市高新开发区星火路10号人才大厦C座

Phone :

400-9961-933
025-58868422

Email Address

info@sabbiotech.com