免费电话:400-9961-933
邮箱:info@sabbiotech.com
欢迎光临本站
川博智能体 English
位置: 首页 > 多克隆抗体 > PEMT Antibody

PEMT Antibody #47675

是否有货: Yes
产品详情

产品名称PEMT Antibody

来源种属Rabbit

克隆性Polyclonal

纯化Antigen affinity purification

应用WB, IHC

种属反应性Human;Mouse

特异性The antibody detects endogenous levels of total PEMT protein.

免疫原类型Peptide

免疫原描述Synthetic peptide of human PEMT

基因/蛋白名称PEMT

标记Unconjugated

别名PLMT; PNMT; PEAMT; PEMPT; PEMT2

数据库入口号Swiss-Prot#:Q9UBM1
NCBI Gene ID:10400
Gene Accssion:NP_009100

Uniprot Q9UBM1

计算分子量22 kDa

浓度1.6

配方Rabbit IgG in pH7.4 PBS, 0.05% NaN3, 40% Glycerol.

保存Store at -20˚C

应用详情

WB dilution:1:1000-5000
IHC dilution:1: 50-300

Gel: 12%SDS-PAGE, Lysate: 40 μg, Lane 1-4: Mouse liver tissue, HepG2, 293T and 231 cell lysates, Primary antibody:47675(PEMT Antibody) at dilution 1/800, Secondary antibody: Goat anti rabbit IgG at 1/5000 dilution, Exposure time: 1 second
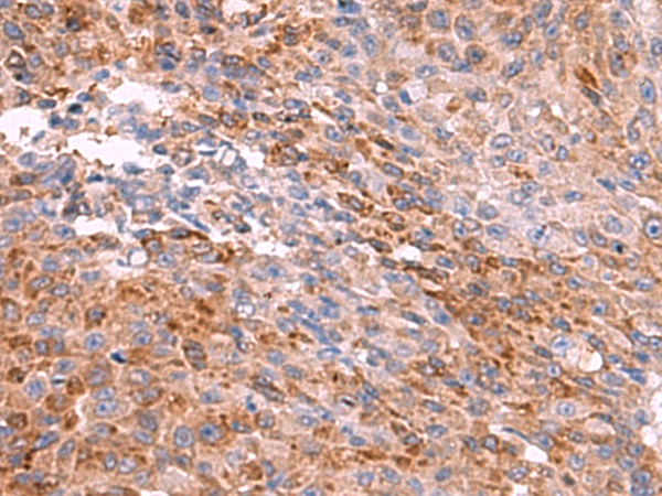
The image is immunohistochemistry of paraffin-embedded Human colorectal cancer tissue using 47675(PEMT Antibody) at dilution 1/55.(Original magnification: 200)

Phosphatidylcholine (PC) is the most abundant mammalian phospholipid. This gene encodes an enzyme which converts phosphatidylethanolamine to phosphatidylcholine by sequential methylation in the liver. Another distinct synthetic pathway in nucleated cells converts intracellular choline to phosphatidylcholine by a three-step process. The protein isoforms encoded by this gene localize to the endoplasmic reticulum and mitochondria-associated membranes. Alternate splicing of this gene results in multiple transcript variants encoding different isoforms.

如果您使用该产品47675发表了文章,请通知我们,让我们可以引用您的文献。

et al,ATP8B1 Deficiency Results in Elevated Mitochondrial Phosphatidylethanolamine Levels and Increased Mitochondrial Oxidative Phosphorylation in Human Hepatoma Cells.In Int J Mol Sci. 2022 Oct 15 by Valentina E Gómez-Mellado, Jung-Chin Chang , et al..PMID:36293199 , (2022),
PMID: 36293199

注释

应用

  • WB免疫印迹
  • IHC免疫组化
  • IF免疫荧光
  • ICC免疫细胞化学
  • FC流式细胞
  • IP免疫沉淀
  • E酶联免疫吸附法
  • DB免疫斑点法
  • ChIP染色质免疫沉淀
  • GICA胶体金免疫层析法
  • NC阴性对照

种属反应性

  • Hu
  • Ms小鼠
  • Rt大鼠
  • Dm果蝇
  • C线虫
  • Mk
  • Rb
  • B
  • D
  • P
  • Hm仓鼠
  • ChHm中国仓鼠
  • Chk
;

联系我们

Location :

南京市高新开发区星火路10号人才大厦C座

Phone :

400-9961-933
025-58868422

Email Address

info@sabbiotech.com