免费电话:400-9961-933
邮箱:info@sabbiotech.com
欢迎光临本站
川博智能体 English
位置: 首页 > 多克隆抗体 > IFNA1/IFNA13 Antibody

IFNA1/IFNA13 Antibody #47680

是否有货: Yes
产品详情

产品名称IFNA1/IFNA13 Antibody

来源种属Rabbit

克隆性Polyclonal

纯化Antigen affinity purification

应用WB, IHC

种属反应性Human;Mouse

特异性The antibody detects endogenous levels of total IFNA1/IFNA13 protein.

免疫原类型Peptide

免疫原描述Synthetic peptide of human IFNA1/IFNA13

基因/蛋白名称IFNA1/IFNA13

标记Unconjugated

数据库入口号Swiss-Prot#:P01562
NCBI Gene ID:3439/3447
Gene Accssion:NP_008831

Uniprot P01562

计算分子量22 kDa

浓度1

配方Rabbit IgG in pH7.4 PBS, 0.05% NaN3, 40% Glycerol.

保存Store at -20˚C

应用详情

WB dilution:1:200-1000
IHC dilution:1: 30-150

Gel: 12%SDS-PAGE, Lysate: 40 μg, Lane: Mouse liver tissue lysate, Primary antibody:47680(IFNA1/IFNA13 Antibody) at dilution 1/400, Secondary antibody: Goat anti rabbit IgG at 1/5000 dilution, Exposure time: 1 minute
The image is immunohistochemistry of paraffin-embedded Human tonsil tissue using 47680(IFNA1/IFNA13 Antibody) at dilution 1/35.(Original magnification: 200)
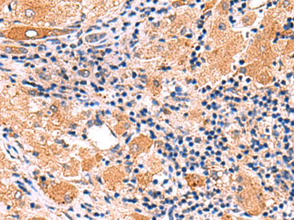
The image is immunohistochemistry of paraffin-embedded Human liver cancer tissue using 47680(IFNA1/IFNA13 Antibody) at dilution 1/35.(Original magnification: 200)

Produced by macrophages, IFN-alpha have antiviral activities. Interferon stimulates the production of two enzymes: a protein kinase and an oligoadenylate synthetase.

如果您使用该产品47680发表了文章,请通知我们,让我们可以引用您的文献。

et al,Sustained induction of IP-10 by MRP8/14 via the IFNβ–IRF7 axis in macrophages exaggerates lung injury in endotoxemic mice , (2023),
PMID: 37701855

注释

应用

  • WB免疫印迹
  • IHC免疫组化
  • IF免疫荧光
  • ICC免疫细胞化学
  • FC流式细胞
  • IP免疫沉淀
  • E酶联免疫吸附法
  • DB免疫斑点法
  • ChIP染色质免疫沉淀
  • GICA胶体金免疫层析法
  • NC阴性对照

种属反应性

  • Hu
  • Ms小鼠
  • Rt大鼠
  • Dm果蝇
  • C线虫
  • Mk
  • Rb
  • B
  • D
  • P
  • Hm仓鼠
  • ChHm中国仓鼠
  • Chk
;

联系我们

Location :

南京市高新开发区星火路10号人才大厦C座

Phone :

400-9961-933
025-58868422

Email Address

info@sabbiotech.com