免费电话:400-9961-933
邮箱:info@sabbiotech.com
欢迎光临本站
川博智能体 English
位置: 首页 > 多克隆抗体 > FANCB Antibody

FANCB Antibody #47759

是否有货: Yes
产品详情

产品名称FANCB Antibody

来源种属Rabbit

克隆性Polyclonal

纯化Antigen affinity purification

应用WB, IHC

种属反应性Human

特异性The antibody detects endogenous levels of total FANCB protein.

免疫原类型Peptide

免疫原描述Synthetic peptide of human FANCB

基因/蛋白名称FANCB

标记Unconjugated

别名FA2; FAB; FACB; FAAP90; FAAP95

数据库入口号Swiss-Prot#:Q8NB91
NCBI Gene ID:2187
Gene Accssion:NP_689846

Uniprot Q8NB91

计算分子量98 kDa

浓度1.7

配方Rabbit IgG in pH7.4 PBS, 0.05% NaN3, 40% Glycerol.

保存Store at -20˚C

应用详情

WB dilution:1:500-2000
IHC dilution:1: 40-200

Gel: 8%SDS-PAGE, Lysate: 40 μg, Lane: Hela cell lysate, Primary antibody:47759(FANCB Antibody) at dilution 1/550, Secondary antibody: Goat anti rabbit IgG at 1/8000 dilution, Exposure time: 3 minutes
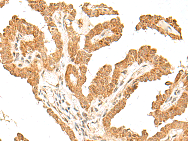
The image is immunohistochemistry of paraffin-embedded Human cervical cancer tissue using 47759(FANCB Antibody) at dilution 1/60.(Original magnification: 200)
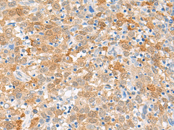
The image is immunohistochemistry of paraffin-embedded Human thyroid cancer tissue using 47759(FANCB Antibody) at dilution 1/60.(Original magnification: 200)

This gene encodes a member of the Fanconi anemia complementation group B. This protein is assembled into a nucleoprotein complex that is involved in the repair of DNA lesions. Mutations in this gene can cause chromosome instability and VACTERL syndrome with hydrocephalus.

如果您使用该产品47759发表了文章,请通知我们,让我们可以引用您的文献。

et al,p14ARF interacts with γ-H2AX and is involved in the DNA damage response , (2025),
PMID: 40267841

注释

应用

  • WB免疫印迹
  • IHC免疫组化
  • IF免疫荧光
  • ICC免疫细胞化学
  • FC流式细胞
  • IP免疫沉淀
  • E酶联免疫吸附法
  • DB免疫斑点法
  • ChIP染色质免疫沉淀
  • GICA胶体金免疫层析法
  • NC阴性对照

种属反应性

  • Hu
  • Ms小鼠
  • Rt大鼠
  • Dm果蝇
  • C线虫
  • Mk
  • Rb
  • B
  • D
  • P
  • Hm仓鼠
  • ChHm中国仓鼠
  • Chk
;

联系我们

Location :

南京市高新开发区星火路10号人才大厦C座

Phone :

400-9961-933
025-58868422

Email Address

info@sabbiotech.com