免费电话:400-9961-933
邮箱:info@sabbiotech.com
欢迎光临本站
川博智能体 English
位置: 首页 > 多克隆抗体 > PI3 Kinase p85 alpha Polyclonal Antibody

PI3 Kinase p85 alpha Polyclonal Antibody #48184

是否有货: Yes
产品详情

产品名称PI3 Kinase p85 alpha Polyclonal Antibody

来源种属Rabbit

克隆性Polyclonal

纯化Immunogen affinity purified.

应用WB, ICC, IHC, FC

种属反应性Human;Mouse;Rat

免疫原描述Synthetic peptide within human PI3-kinase p85 subunit alpha.

标记Unconjugated

别名GRB1 antibody
p85 alpha antibody
p85 antibody
P85A_HUMAN antibody
Phosphatidylinositol 3 kinase associated p 85 alpha antibody
Phosphatidylinositol 3 kinase regulatory 1 antibody
Phosphatidylinositol 3 kinase, regulatory subunit, polypeptide 1 (p85 alpha) antibody
Phosphatidylinositol 3-kinase 85 kDa regulatory subunit alpha antibody
Phosphatidylinositol 3-kinase regulatory subunit alpha antibody
Phosphoinositide 3 kinase, regulatory subunit 1 (alpha) antibody
PI3 kinase p85 subunit alpha antibody
PI3-kinase regulatory subunit alpha antibody
PI3-kinase subunit p85-alpha antibody
PI3K antibody
PI3K regulatory subunit alpha antibody
Pik3r1 antibody
PtdIns 3 kinase p85 alpha antibody
PtdIns-3-kinase regulatory subunit alpha antibody
PtdIns-3-kinase regulatory subunit p86-alpha antibody

数据库入口号Swiss-Prot#:P27986

Uniprot P27986

计算分子量85kDa

实际分子量85kDa

配方1*PBS (pH7.4), 0.2% BSA, 40% Glycerol. Preservative: 0.05% Sodium Azide.

保存Store at -20˚C

应用详情
WB 1:500-2000; IHC 1:50-200; ICC 1:50-200; FC 1:50-100
Western blot analysis of extracts from various cell lines using PI3 Kinase p85 alpha Rabbit Polyclonal Antibody.
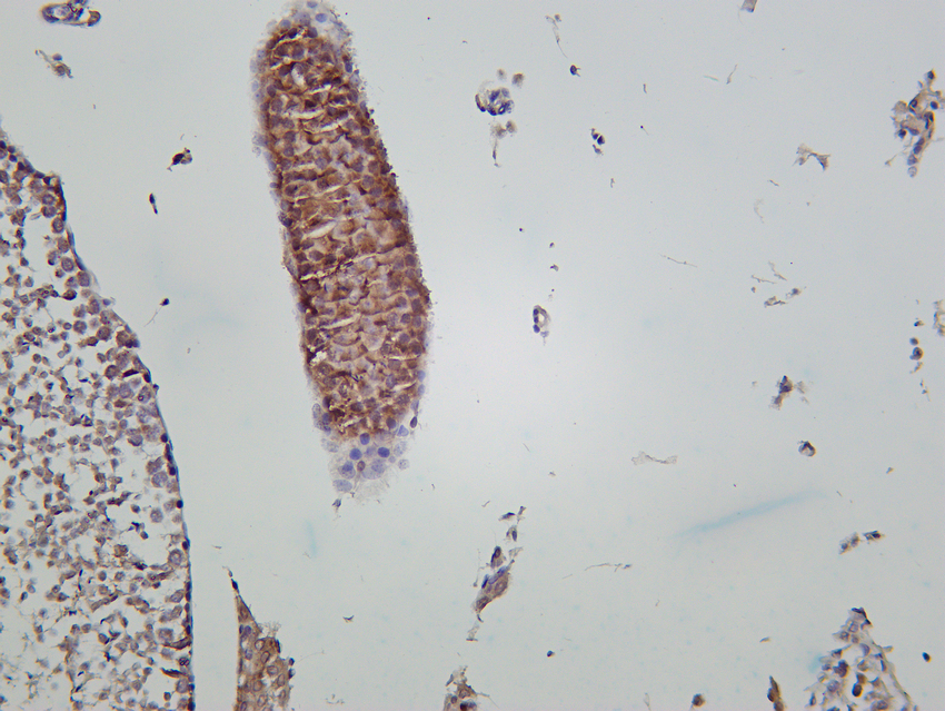
Immunohistochemical analysis of paraffin-embedded Mouse testis using PI3 Kinase p85 alpha Rabbit Polyclonal Antibody.
Immunohistochemical analysis of paraffin-embedded Human placenta using PI3 Kinase p85 alpha Rabbit Polyclonal Antibody.
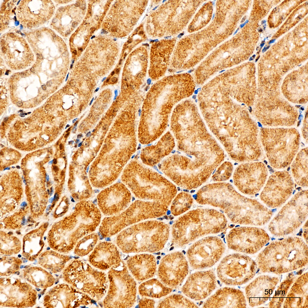
Immunohistochemical analysis of paraffin-embedded Mouse kidney tissue using PI3 Kinase p85 alpha Rabbit Polyclonal Antibody.
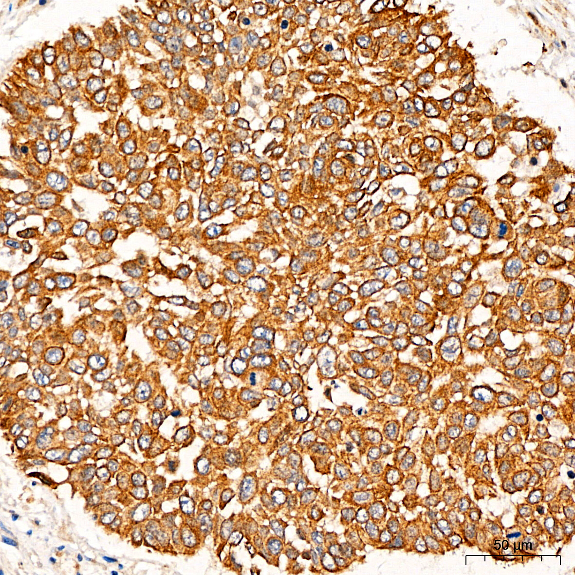
Immunohistochemical analysis of paraffin-embedded Human lung cancer tissue using PI3 Kinase p85 alpha Rabbit Polyclonal Antibody.
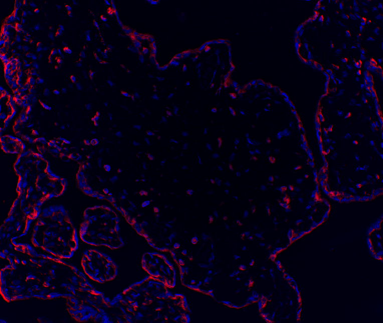
Immunofluorescence analysis of Human placenta tissue using PI3 Kinase p85 alpha Rabbit Polyclonal Antibody.
Immunofluorescence analysis of MCF7 cells using PI3 Kinase p85 alpha Rabbit Polyclonal Antibody.
Phosphatidylinositol 3-kinase regulatory subunit alpha is an enzyme that in humans is encoded by the PIK3R1 gene. Phosphatidylinositol 3-kinase phosphorylates the inositol ring of phosphatidylinositol at the 3-prime position. The enzyme comprises a 110 kD catalytic subunit and a regulatory subunit of either 85, 55, or 50 kD. This gene encodes the 85 kD regulatory subunit. Phosphatidylinositol 3-kinase plays an important role in the metabolic actions of insulin, and a mutation in this gene has been associated with insulin resistance. Alternative splicing of this gene results in three transcript variants encoding different isoforms. Mutations in PIK3R1 are implicated in cases of breast cancer.Mutations in PIK3R1 are associated to SHORT syndrome.

如果您使用该产品48184发表了文章,请通知我们,让我们可以引用您的文献。

et al,Grape seed proanthocyanidin extract ameliorates cisplatin-induced testicular apoptosis via PI3K/Akt/mTOR and endoplasmic reticulum stress pathways in rats. In J Food Biochem on 2021 Jun 21 by Xuhong Chang, Minmin Tian,et al..PMID:34152018 , (2021),
PMID: 34152018
et al,Penetrating Macrophage-Based Nanoformulation for Periodontitis Treatment. In ACS Nano on 2022 Nov 22 by Na Yan, Junchao Xu, et al..PMID:36288552 , (2022),
PMID: 36288552
et al,CD155 Cooperates with PD-1/PD-L1 to Promote Proliferation of Esophageal Squamous Cancer Cells via PI3K/Akt and MAPK Signaling Pathways. In Cancers (Basel) on 2022 Nov 15 by Xiyang Tan, Jie Yang, et al..PMID:36428703 , (2022),
PMID: 36428703
et al,Histone Methyltransferase KMT2B Promotes Metastasis and Angiogenesis of Cervical Cancer by Upregulating EGF ExpressionIn Int J Biol SciOn2023 Jan 15byDan Zhao , Hui Yuan et al..PMID:36594087 , (2023),
PMID: 36594087

注释

应用

  • WB免疫印迹
  • IHC免疫组化
  • IF免疫荧光
  • ICC免疫细胞化学
  • FC流式细胞
  • IP免疫沉淀
  • E酶联免疫吸附法
  • DB免疫斑点法
  • ChIP染色质免疫沉淀
  • GICA胶体金免疫层析法
  • NC阴性对照

种属反应性

  • Hu
  • Ms小鼠
  • Rt大鼠
  • Dm果蝇
  • C线虫
  • Mk
  • Rb
  • B
  • D
  • P
  • Hm仓鼠
  • ChHm中国仓鼠
  • Chk
;

联系我们

Location :

南京市高新开发区星火路10号人才大厦C座

Phone :

400-9961-933
025-58868422

Email Address

info@sabbiotech.com