免费电话:400-9961-933
邮箱:info@sabbiotech.com
欢迎光临本站
川博智能体 English
位置: 首页 > 多克隆抗体 > Cytochrome P450 2E1 Antibody

Cytochrome P450 2E1 Antibody #48247

是否有货: Yes
产品详情

产品名称Cytochrome P450 2E1 Antibody

来源种属Rabbit

克隆性Polyclonal

纯化Peptide affinity purified

应用WB, ICC, IHC

种属反应性Human;Mouse

免疫原描述Peptide

标记Unconjugated

别名4-nitrophenol 2-hydroxylase antibody
CP2E1_HUMAN antibody
CPE1 antibody
CYP2E antibody
Cyp2e1 antibody
CYPIIE1 antibody
Cytochrome P450 2E1 antibody
Cytochrome P450 isozyme 3A antibody
Cytochrome P450 LM3A antibody
Cytochrome P450, family 2, subfamily e, polypeptide 1 antibody
cytochrome P450, subfamily IIE (ethanol-inducible), polypeptide 1 antibody
Cytochrome P450, subfamily IIE antibody
Cytochrome P450-ALC antibody
Cytochrome P450-J antibody
Cytochrome P450RLM6 antibody
EC 1.14.13.- antibody
EC 1.14.13.n7 antibody
Ethanol-inducible P450 antibody
Flavoprotein-linked monooxygenase antibody
MGC133529 antibody
Microsomal monooxygenase antibody
OTTHUMP00000020813 antibody
OTTHUMP00000046571 antibody
P450 ALC antibody
P450-J antibody
P450C2E antibody
P450J antibody
P450RLM6 antibody
Xenobiotic monooxygenase antibody

数据库入口号Swiss-Prot#:P05181

Uniprot P05181

计算分子量57 kDa

配方1*TBS (pH7.4), 1%BSA, 40%Glycerol. Preservative: 0.05% Sodium Azide.

保存Store at -20˚C

应用详情
WB: 1:1000
IHC: 1:50-1:200
ICC: 1:50-1:200

Western blot analysis of Cytochrome P450 2E1 on different lysates using anti-Cytochrome P450 2E1 antibody at 1/1000 dilution.
Positive control�� Lane 1: MCF-7 Lane 2: NIH-3T3 Lane 3: Mouse kidney tissue Lane 4: siHa
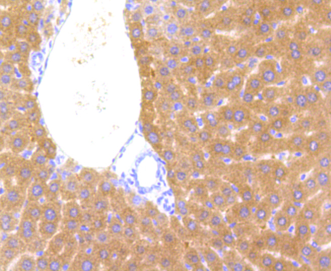
Immunohistochemical analysis of paraffin-embedded mouse liver tissue using anti-Cytochrome P450 2E1 antibody. Counter stained with hematoxylin.
ICC staining Cytochrome P450 2E1 in C2C12 cells (green). The nuclear counter stain is DAPI (blue). Cells were fixed in paraformaldehyde, permeabilised with 0.25% Triton X100/PBS.
ICC staining Cytochrome P450 2E1 in HepG2 cells (green). The nuclear counter stain is DAPI (blue). Cells were fixed in paraformaldehyde, permeabilised with 0.25% Triton X100/PBS.
Metabolizes several precarcinogens, drugs, and solvents to reactive metabolites. Inactivates a number of drugs and xenobiotics and also bioactivates many xenobiotic substrates to their hepatotoxic or carcinogenic forms.

如果您使用该产品48247发表了文章,请通知我们,让我们可以引用您的文献。

et al,DDAH1 Protects against Acetaminophen-Induced Liver Hepatoxicity in Mice . In Antioxidants (Basel) on 2022 Apr 29 by Xiyue Shen, Saddam Muhammad Ishaq, et al..PMID:35624743 , (2022),
PMID: 35624743

注释

应用

  • WB免疫印迹
  • IHC免疫组化
  • IF免疫荧光
  • ICC免疫细胞化学
  • FC流式细胞
  • IP免疫沉淀
  • E酶联免疫吸附法
  • DB免疫斑点法
  • ChIP染色质免疫沉淀
  • GICA胶体金免疫层析法
  • NC阴性对照

种属反应性

  • Hu
  • Ms小鼠
  • Rt大鼠
  • Dm果蝇
  • C线虫
  • Mk
  • Rb
  • B
  • D
  • P
  • Hm仓鼠
  • ChHm中国仓鼠
  • Chk
;

联系我们

Location :

南京市高新开发区星火路10号人才大厦C座

Phone :

400-9961-933
025-58868422

Email Address

info@sabbiotech.com