免费电话:400-9961-933
邮箱:info@sabbiotech.com
欢迎光临本站
川博智能体 English
位置: 首页 > 多克隆抗体 > PLC β2 Polyclonal Antibody

PLC β2 Polyclonal Antibody #48323

是否有货: Yes
产品详情

产品名称PLC β2 Polyclonal Antibody

来源种属Rabbit

克隆性Polyclonal

亚型IgG

纯化The antibody was affinity-purified from rabbit antiserum by affinity-chromatography using epitope-specific immunogen.

应用WB;IHC

种属反应性Human;Mouse;Rat

特异性PLC β2 Polyclonal Antibody detects endogenous levels of PLC β2 protein.

免疫原描述Synthesized peptide derived from the Internal region of human PLC β2.

标记Unconjugated

别名PLCB2; 1-phosphatidylinositol 4; 5-bisphosphate phosphodiesterase beta-2; Phosphoinositide phospholipase C-beta-2; Phospholipase C-beta-2; PLC-beta-2

Uniprot Q00722

Gene ID 5330

计算分子量150kD

浓度1 mg/ml

配方Liquid in PBS containing 50% glycerol, 0.5% BSA and 0.02% sodium azide.

保存Store at -20˚C/1 year

应用详情

  WB 1:500-2000;IHC-p 1:50-300

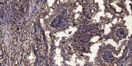
Immunohistochemical analysis of paraffin-embedded human Squamous cell carcinoma of lung.

如果您使用该产品48323发表了文章,请通知我们,让我们可以引用您的文献。

et al,Salicin alleviates periodontitis via Tas2r143/gustducin signaling in fibroblasts. In Front Immunol on 2024 Mar 28 by Zhiying Zhang, Zhiyan Zhou,et al..PMID:38605968 , (2024),
PMID: 38605968

注释

应用

  • WB免疫印迹
  • IHC免疫组化
  • IF免疫荧光
  • ICC免疫细胞化学
  • FC流式细胞
  • IP免疫沉淀
  • E酶联免疫吸附法
  • DB免疫斑点法
  • ChIP染色质免疫沉淀
  • GICA胶体金免疫层析法
  • NC阴性对照

种属反应性

  • Hu
  • Ms小鼠
  • Rt大鼠
  • Dm果蝇
  • C线虫
  • Mk
  • Rb
  • B
  • D
  • P
  • Hm仓鼠
  • ChHm中国仓鼠
  • Chk
;

联系我们

Location :

南京市高新开发区星火路10号人才大厦C座

Phone :

400-9961-933
025-58868422

Email Address

info@sabbiotech.com