免费电话:400-9961-933
邮箱:info@sabbiotech.com
欢迎光临本站
川博智能体 English
位置: 首页 > 鼠单克隆抗体 > E-Cadherin Antibody

E-Cadherin Antibody #48355

是否有货: Yes
产品详情

产品名称E-Cadherin Antibody

克隆号A0-G11-2

来源种属Mouse

克隆性Monoclonal

纯化ProA affinity purified

应用WB, ICC, IHC, FC

种属反应性Human;Mouse

免疫原描述recombinant protein

标记Unconjugated

别名Arc 1 antibody
CADH1_HUMAN antibody
Cadherin 1 antibody
cadherin 1 type 1 E-cadherin antibody
Cadherin1 antibody
CAM 120/80 antibody
CD 324 antibody
CD324 antibody
CD324 antigen antibody
cdh1 antibody
CDHE antibody
E-Cad/CTF3 antibody
E-cadherin antibody
ECAD antibody
Epithelial cadherin antibody
epithelial calcium dependant adhesion protein antibody
LCAM antibody
Liver cell adhesion molecule antibody
UVO antibody
Uvomorulin antibody

数据库入口号Swiss-Prot#:P09803

Uniprot P09803

计算分子量130 kDa

配方1*TBS (pH7.4), 1%BSA, 40%Glycerol. Preservative: 0.05% Sodium Azide.

保存Store at -20˚C

应用详情
WB: 1:500-1:1000
IHC: 1:200
ICC: 1:200

FC: 1:50-1:100
Western blot analysis of E-cadherin on different cell lysates using anti- E-cadherin antibody at 1/1000 dilution. Positive control:
Lane 1: A431
Lane 2: SW480
Lane 3: MCF-7
Lane 4: Hela
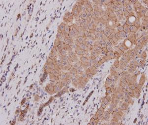
Immunohistochemical analysis of paraffin-embedded human liver carcinoma tissue using E-Cadherin antibody. Counter stained with hematoxylin.
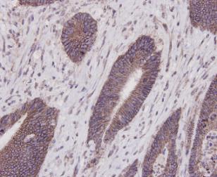
Immunohistochemical analysis of paraffin-embedded human colon carcinoma tissue using E-Cadherin antibody. Counter stained with hematoxylin.
ICC staining E-Cadherin in A431 cells (red). Cells were fixed in paraformaldehyde, permeabilised with 0.25% Triton X100/PBS.
Flow cytometric analysis of HeLa cells with E-Cadherin antibody at 1/50 dilution (blue) compared with an unlabelled control (cells without incubation with primary antibody; red). Goat anti mouse IgG (FITC) was used as the secondary antibody
E-cadherin (epithelial) is the most well-studied member of the cadherin family. It consists of 5 cadherin repeats (EC1 ~ EC5) in the extracellular domain, one transmembrane domain, and an intracellular domain that binds p120-catenin and beta-catenin. The intracellular domain contains a highly-phosphorylated region vital to beta-catenin binding and, therefore, to E-cadherin function. Loss of E-cadherin function or expression has been implicated in cancer progression and metastasis. E-cadherin downregulation decreases the strength of cellular adhesion within a tissue, resulting in an increase in cellular motility. This in turn may allow cancer cells to cross the basement membrane and invade surrounding tissues. E-cadherin is also used by pathologists to diagnose different kinds of breast cancer.

如果您使用该产品48355发表了文章,请通知我们,让我们可以引用您的文献。

et al,ADAMTS13 attenuates renal fibrosis by suppressing thrombospondin 1 mediated TGF-β1/Smad3 activation. , (2025),
PMID: 39929281

注释

应用

  • WB免疫印迹
  • IHC免疫组化
  • IF免疫荧光
  • ICC免疫细胞化学
  • FC流式细胞
  • IP免疫沉淀
  • E酶联免疫吸附法
  • DB免疫斑点法
  • ChIP染色质免疫沉淀
  • GICA胶体金免疫层析法
  • NC阴性对照

种属反应性

  • Hu
  • Ms小鼠
  • Rt大鼠
  • Dm果蝇
  • C线虫
  • Mk
  • Rb
  • B
  • D
  • P
  • Hm仓鼠
  • ChHm中国仓鼠
  • Chk
;

联系我们

Location :

南京市高新开发区星火路10号人才大厦C座

Phone :

400-9961-933
025-58868422

Email Address

info@sabbiotech.com