免费电话:400-9961-933
邮箱:info@sabbiotech.com
欢迎光临本站
川博智能体 English
位置: 首页 > 多克隆抗体 > BDNF Antibody

BDNF Antibody #48503

是否有货: Yes
产品详情

产品名称BDNF Antibody

来源种属Rabbit

克隆性Polyclonal

纯化Peptide affinity purified

应用WB, ICC, IHC

种属反应性Human;Mouse;Rat

免疫原描述This antibody is produced by immunizing rabbits with a synthetic peptide (KLH-coupled) corresponding to the N-terminal of human BNDF

标记Unconjugated

别名Abrineurin antibody
ANON2 antibody
BDNF antibody
BDNF_HUMAN antibody
Brain Derived Neurotrophic Factor antibody
Brain-derived neurotrophic factor antibody
BULN2 antibody
MGC34632 antibody
Neurotrophin antibody

数据库入口号Swiss-Prot#:P23560

Uniprot P23560

计算分子量28kDa

配方1*TBS (pH7.4), 1%BSA, 40%Glycerol. Preservative: 0.05% Sodium Azide.

保存Store at -20˚C

应用详情
WB: 1:500
IHC: 1:200
ICC: 1:200

Western blot analysis of BDNF on different cell lysates using anti-BDNF antibody at 1/500 dilution.

Positive control:

Lane 1: A172

Lane 2: SHG-44

Lane3: Mouse heart

Lane 4: Mouse brain

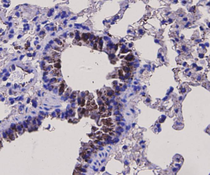
Immunohistochemical analysis of paraffin-embedded human lung tissue using anti-BDNF antibody. Counter stained with hematoxylin.
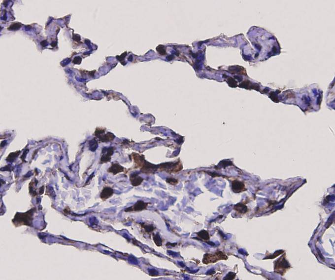
Immunohistochemical analysis of paraffin-embedded mouse lung tissue using anti-BDNF antibody. Counter stained with hematoxylin.
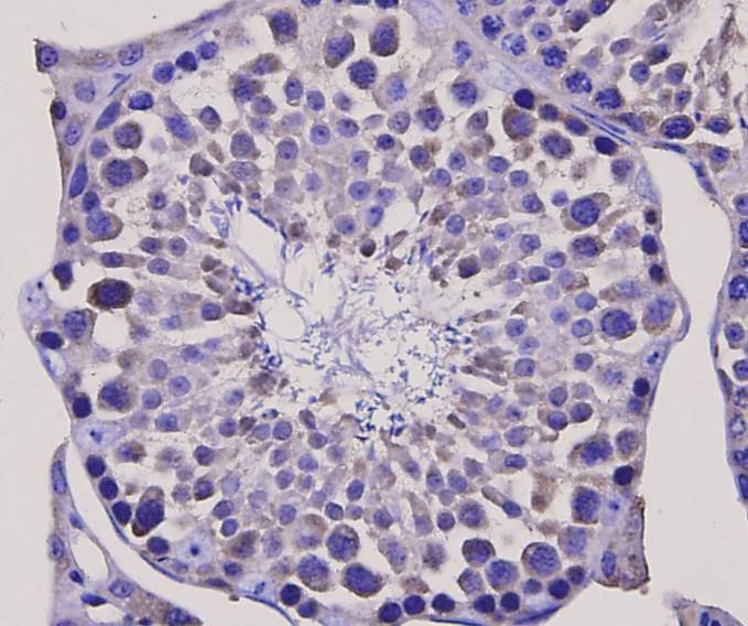
Immunohistochemical analysis of paraffin-embedded mouse testis tissue using anti-BDNF antibody. Counter stained with hematoxylin.
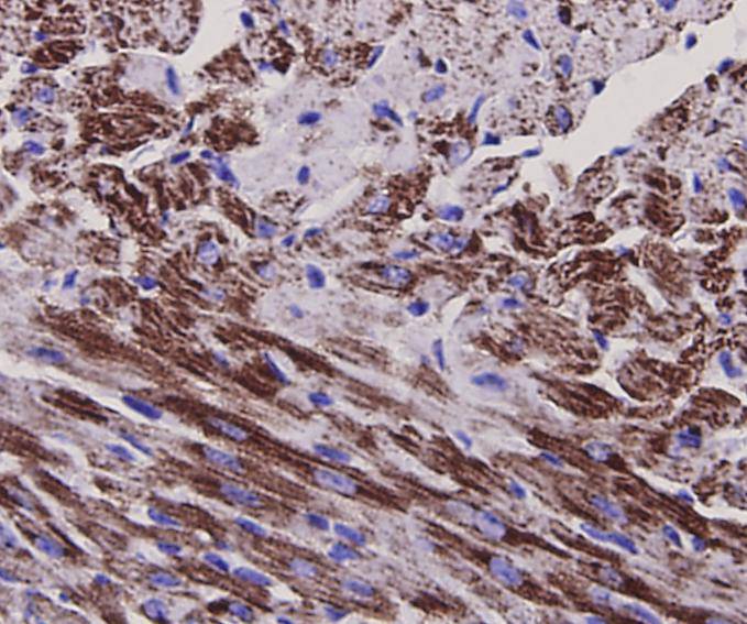
Immunohistochemical analysis of paraffin-embedded mouse heart tissue using anti-BDNF antibody. Counter stained with hematoxylin.
ICC staining of BNDF in SHG-44 cells (green). The nuclear counter stain is DAPI (blue). Cells were fixed in paraformaldehyde, permeabilised with 0.25% Triton X100/PBS.
Brain-derived neurotrophic factor, also known as BDNF, is a member of the "neurotrophin" family of growth factors, which are related to the canonical "Nerve Growth Factor", NGF. BDNF acts on certain neurons of the central nervous system and the peripheral nervous system, helping to support the survival of existing neurons, and encourage the growth and differentiation of new neurons and synapses. BDNF is actually found in a range of tissue and cell types, not just in the brain. It is also expressed in the retina, the central nervous system, motor neurons, the kidneys, and the prostate. Various studies have shown possible links between BDNF and conditions such as depression, bipolar disorder,schizophrenia, obsessive-compulsive disorder, Alzheimer's disease, Huntington's disease, Rett syndrome, and dementia, as well as anorexia nervosa and bulimia nervosa.

如果您使用该产品48503发表了文章,请通知我们,让我们可以引用您的文献。

et al,Classical prescription Daqinjiao decoction inhibit cerebral ischemia/reperfusion induced necroptosis and ferroptosis through multiple mechanisms. , (2025),
PMID: 39736347

注释

应用

  • WB免疫印迹
  • IHC免疫组化
  • IF免疫荧光
  • ICC免疫细胞化学
  • FC流式细胞
  • IP免疫沉淀
  • E酶联免疫吸附法
  • DB免疫斑点法
  • ChIP染色质免疫沉淀
  • GICA胶体金免疫层析法
  • NC阴性对照

种属反应性

  • Hu
  • Ms小鼠
  • Rt大鼠
  • Dm果蝇
  • C线虫
  • Mk
  • Rb
  • B
  • D
  • P
  • Hm仓鼠
  • ChHm中国仓鼠
  • Chk
;

联系我们

Location :

南京市高新开发区星火路10号人才大厦C座

Phone :

400-9961-933
025-58868422

Email Address

info@sabbiotech.com