免费电话:400-9961-933
邮箱:info@sabbiotech.com
欢迎光临本站
川博智能体 English
位置: 首页 > 多克隆抗体 > PKC beta Antibody

PKC beta Antibody #48521

是否有货: Yes
产品详情

产品名称PKC beta Antibody

来源种属Rabbit

克隆性Polyclonal

纯化Protein affinity purified

应用WB,ICC,IHC

种属反应性Human;Mouse

免疫原描述Recombinant protein

标记Unconjugated

别名KPCB_HUMAN antibody
PKC beta antibody
PKC-B antibody
PKC-beta antibody
PKCB antibody
Prkcb antibody
PRKCB I antibody
PRKCB1 antibody
PRKCB2 antibody
Protein kinase C beta antibody
Protein kinase C beta type antibody
protein kinase C, beta 1 polypeptide antibody
protein kinase C, beta-1 antibody

数据库入口号Swiss-Prot#:P05771

Uniprot P05771

计算分子量77 kDa

配方1*TBS (pH7.4), 0.5%BSA, 50%Glycerol. Preservative: 0.05% Sodium Azide.

保存Store at -20˚C

应用详情
WB: 1:500
IHC: 1:50-1:200
ICC: 1:50-1:200

Western blot analysis of PKC beta 2 on different lysates using anti-PKC beta 2 antibody at 1/500 dilution.
Positive control��
Lane1: Rat spleen tissue
Lane2: Jurkat
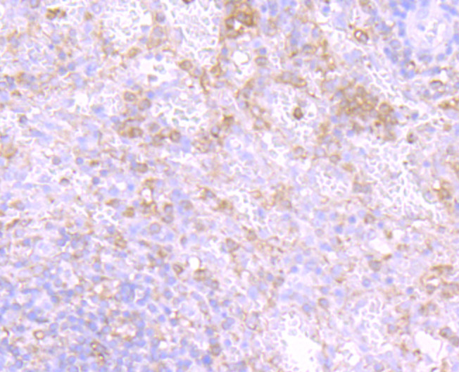
Immunohistochemical analysis of paraffin-embedded human tonsil tissue using anti-PKC beta 2 antibody. Counter stained with hematoxylin.
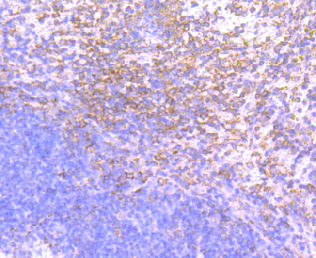
Immunohistochemical analysis of paraffin-embedded mouse spleen tissue using anti-PKC beta 2 antibody. Counter stained with hematoxylin.
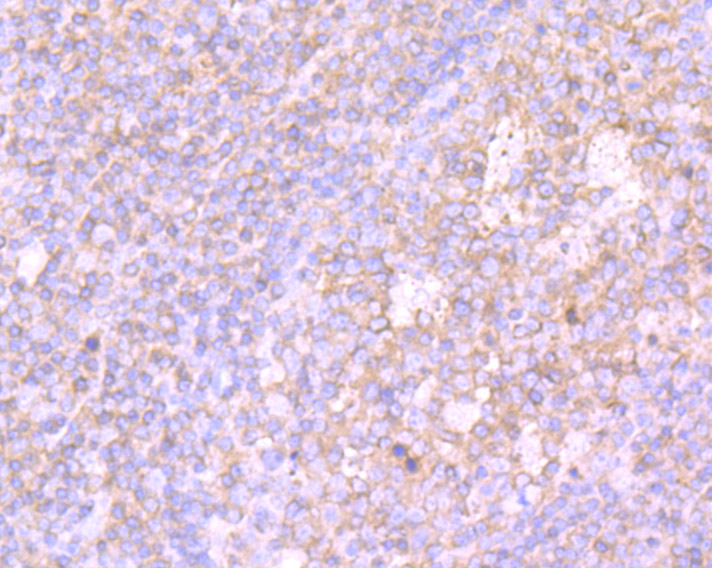
Immunohistochemical analysis of paraffin-embedded human spleen tissue using anti-PKC beta 2 antibody. Counter stained with hematoxylin.
ICC staining PKC beta 2 in Hela cells (green). The nuclear counter stain is DAPI (blue). Cells were fixed in paraformaldehyde, permeabilised with 0.25% Triton X100/PBS.
ICC staining PKC beta 2 in HepG2 cells (green). The nuclear counter stain is DAPI (blue). Cells were fixed in paraformaldehyde, permeabilised with 0.25% Triton X100/PBS.
Calcium-activated, phospholipid- and diacylglycerol (DAG)-dependent serine/threonine-protein kinase involved in various cellular processes such as regulation of the B-cell receptor (BCR) signalosome, oxidative stress-induced apoptosis, androgen receptor-dependent transcription regulation, insulin signaling and endothelial cells proliferation. Plays a key role in B-cell activation by regulating BCR-induced NF-kappa-B activation. Mediates the activation of the canonical NF-kappa-B pathway (NFKB1) by direct phosphorylation of CARD11/CARMA1 at 'Ser-559', 'Ser-644' and 'Ser-652'. Phosphorylation induces CARD11/CARMA1 association with lipid rafts and recruitment of the BCL10-MALT1 complex as well as MAP3K7/TAK1, which then activates IKK complex, resulting in nuclear translocation and activation of NFKB1. In endothelial cells, activation of PRKCB induces increased phosphorylation of RB1, increased VEGFA-induced cell proliferation, and inhibits PI3K/AKT-dependent nitric oxide synthase (NOS3/eNOS) regulation by insulin, which causes endothelial dysfunction. Also involved in triglyceride homeostasis (By similarity). Phosphorylates ATF2 which promotes cooperation between ATF2 and JUN, activating transcription.

如果您使用该产品48521发表了文章,请通知我们,让我们可以引用您的文献。

et al,DCIR-mediated enhancement of HIV-1 infection requires the ITIM-associated signal transduction pathway , (2011),
PMID: 21536857

注释

应用

  • WB免疫印迹
  • IHC免疫组化
  • IF免疫荧光
  • ICC免疫细胞化学
  • FC流式细胞
  • IP免疫沉淀
  • E酶联免疫吸附法
  • DB免疫斑点法
  • ChIP染色质免疫沉淀
  • GICA胶体金免疫层析法
  • NC阴性对照

种属反应性

  • Hu
  • Ms小鼠
  • Rt大鼠
  • Dm果蝇
  • C线虫
  • Mk
  • Rb
  • B
  • D
  • P
  • Hm仓鼠
  • ChHm中国仓鼠
  • Chk
;

联系我们

Location :

南京市高新开发区星火路10号人才大厦C座

Phone :

400-9961-933
025-58868422

Email Address

info@sabbiotech.com