免费电话:400-9961-933
邮箱:info@sabbiotech.com
欢迎光临本站
川博智能体 English
位置: 首页 > 重组兔单抗 > TGF-Beta 1 Rabbit mAb

TGF-Beta 1 Rabbit mAb #48569

是否有货: Yes
产品详情

产品名称TGF-Beta 1 Rabbit mAb

来源种属Recombinant Rabbit

克隆性Monoclonal

纯化Protein A affinity purified.

应用WB, IHC-P, IF-Tissue

种属反应性Human;Mouse;Rat

免疫原描述Synthetic peptide (KLH-coupled) corresponding to Human TGF-Beta 1

标记Unconjugated

别名Cartilage-inducing factor antibody
CED antibody
Differentiation inhibiting factor antibody
DPD1 antibody
LAP antibody
Latency-associated peptide antibody
Prepro transforming growth factor beta 1 antibody
TGF beta 1 antibody
TGF beta antibody
TGF beta 1 protein antibody
TGF-beta 1 protein antibody
TGF-beta-1 antibody
TGF-beta-5 antibody
TGF-beta1 antibody
TGFB antibody
Tgfb-1 antibody
tgfb1 antibody
TGFB1_HUMAN antibody
TGFbeta antibody
TGFbeta1 antibody
Transforming Growth Factor b1 antibody
Transforming Growth Factor beta 1 antibody
Transforming growth factor beta 1a antibody
transforming growth factor beta-1 antibody
transforming growth factor, beta 1 antibody
Transforming Growth Factor-?1 antibody

数据库入口号Swiss-Prot#:P01137

Uniprot P01137

计算分子量44 kDa

配方PBS (pH7.4), 0.1% BSA, 40% Glycerol. Preservative: 0.05% Sodium Azide.

保存Store at +4℃ after thawing. Aliquot store at -20℃. Avoid repeated freeze / thaw cycles.

应用详情

WB 1:2,000
IHC-P 1:200
IF-Tissue 1:200

Western blot analysis of TGF beta 1 on different lysates with Rabbit anti-TGF beta 1 antibody at 1/2,000 dilution. Lane 1: Raji cell lysate (15 µg/Lane) Lane 2: K-562 cell lysate (15 µg/Lane) Lane 3: Mouse spleen tissue lysate (20 µg/Lane) Lane 4: Rat spleen tissue lysate (20 µg/Lane) Predicted band size: 44 kDa Observed band size: 44 kDa Exposure time: 3 minutes 54 seconds; 4-20% SDS-PAGE gel.
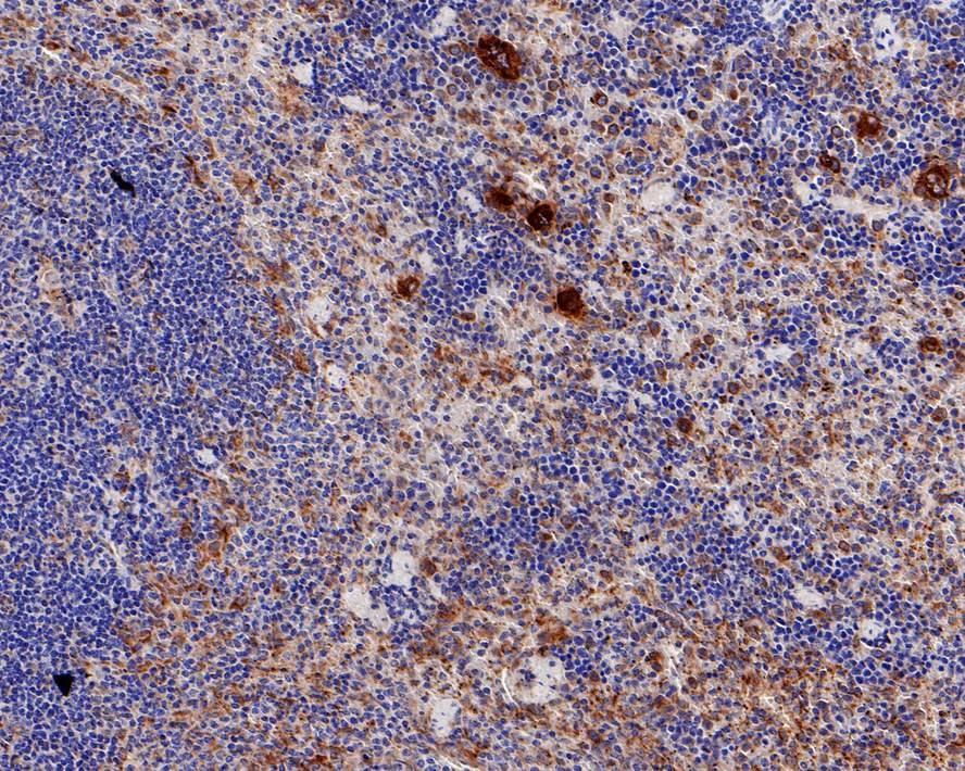
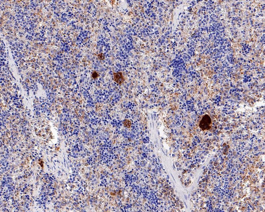
Immunohistochemical analysis of paraffin-embedded rat spleen tissue with Rabbit anti-TGF beta 1 antibody at 1/200 dilution. The section was pre-treated using heat mediated antigen retrieval with Tris-EDTA buffer (pH 9.0) for 20 minutes. The tissues were blocked in 1% BSA for 20 minutes at room temperature, washed with ddH2O and PBS, and then probed with the primary antibody at 1/200 dilution for 1 hour at room temperature. The detection was performed using an HRP conjugated compact polymer system. DAB was used as the chromogen. Tissues were counterstained with hematoxylin and mounted with DPX.
Immunohistochemical analysis of paraffin-embedded mouse spleen tissue with Rabbit anti-TGF beta 1 antibody at 1/200 dilution. The section was pre-treated using heat mediated antigen retrieval with Tris-EDTA buffer (pH 9.0) for 20 minutes. The tissues were blocked in 1% BSA for 20 minutes at room temperature, washed with ddH2O and PBS, and then probed with the primary antibody at 1/200 dilution for 1 hour at room temperature. The detection was performed using an HRP conjugated compact polymer system. DAB was used as the chromogen. Tissues were counterstained with hematoxylin and mounted with DPX.

Many cells synthesize TGFB1 and have specific receptors for it. It positively and negatively regulates many other growth factors. It plays an important role in bone remodeling as it is a potent stimulator of osteoblastic bone formation, causing chemotaxis, proliferation and differentiation in committed osteoblasts. Heterodimers of TGFB1/TGFB2 have been found in bone. Interacts with CD109 and DPT. Interacts with ASPN. Function: TGF beta 2 has suppressive effects on interleukin-2 dependent T-cell growth. Tissue specificity: TGF beta 1 is highly expressed in bone. A chromosomal aberration involving TGFB2 is found in a family with Peters anomaly.

如果您使用该产品48569发表了文章,请通知我们,让我们可以引用您的文献。

et al,Lrpap1 deficiency leads to myopia through TGF-β-induced apoptosis in zebrafish. In Cell Commun Signal on 2022 Oct 19 by Shanshan Liu, Ting Chen, et al..PMID: 36261846 , (2022),
PMID: 36261846
et al,The combination of Lonicerae Japonicae Flos and Forsythiae Fructus herb-pair alleviated inflammation in liver fibrosis , (2022),
PMID: 36059967
et al,The combination of Lonicerae Japonicae Flos and Forsythiae Fructus herb-pair alleviated inflammation in liver fibrosis , (2022),
PMID: 36059967
et al,Network pharmacology combined with transcriptomics reveals that formononetin, a biologically component of Astragalus membranaceus (Fisch.) Bunge, inhibits the … , (2025),
PMID: 39510423

注释

应用

  • WB免疫印迹
  • IHC免疫组化
  • IF免疫荧光
  • ICC免疫细胞化学
  • FC流式细胞
  • IP免疫沉淀
  • E酶联免疫吸附法
  • DB免疫斑点法
  • ChIP染色质免疫沉淀
  • GICA胶体金免疫层析法
  • NC阴性对照

种属反应性

  • Hu
  • Ms小鼠
  • Rt大鼠
  • Dm果蝇
  • C线虫
  • Mk
  • Rb
  • B
  • D
  • P
  • Hm仓鼠
  • ChHm中国仓鼠
  • Chk
;

联系我们

Location :

南京市高新开发区星火路10号人才大厦C座

Phone :

400-9961-933
025-58868422

Email Address

info@sabbiotech.com