免费电话:400-9961-933
邮箱:info@sabbiotech.com
欢迎光临本站
川博智能体 English
位置: 首页 > 重组兔单抗 > PBR Rabbit mAb

PBR Rabbit mAb #48605

是否有货: Yes
产品详情

产品名称PBR Rabbit mAb

克隆号SA90-03

来源种属Recombinant Rabbit

克隆性 Monoclonal antibody

纯化ProA affinity purified

应用WB, ICC/IF, IHC, IP, FC

种属反应性Human;Mouse

免疫原描述recombinant protein

标记Unconjugated

别名Benzodiazapine receptor (peripheral) antibody
Benzodiazepine peripheral binding site antibody
BPBS antibody
BZRP antibody
DBI antibody
IBP antibody
Isoquinoline carboxamide-binding protein antibody
MBR antibody
mDRC antibody
Mitochondrial benzodiazepine receptor antibody
PBR antibody
PBS antibody
Peripheral benzodiazepine receptor antibody
Peripheral benzodiazepine receptor-related protein antibody
Peripheral type benzodiazepine receptor antibody
Peripheral-type benzodiazepine receptor antibody
pk18 antibody
PKBS antibody
PTBR antibody
Ptbzr antibody
PTBZR02 antibody
RATPTBZR02 antibody
translocator protein (18kDa) antibody
Translocator protein antibody
Tspo antibody
Tspo1 antibody
TSPOA_HUMAN antibody

数据库入口号Swiss-Prot#:P30536

Uniprot P30536

计算分子量18 kDa

配方1*TBS (pH7.4), 1%BSA, 40%Glycerol. Preservative: 0.05% Sodium Azide.

保存Store at -20˚C

应用详情
WB: 1:1,000-5,000
IHC: 1:50-1:200
ICC: 1:50-1:200

FC: 1:10-1:100
Western blot analysis of PBR on different cell lysates using anti-PBR antibody at 1/1,000 dilution. Positive control:
Lane 1: 293T
Lane 2: NIH/3T3
Lane 3: HepG2
Immunohistochemical analysis of paraffin-embedded human colon cancer tissue using anti-PBR antibody. Counter stained with hematoxylin.
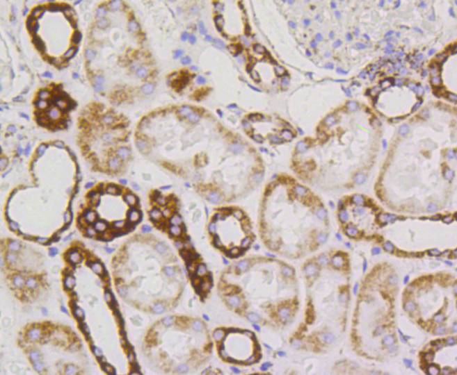
Immunohistochemical analysis of paraffin-embedded human kidney tissue using anti-PBR antibody. Counter stained with hematoxylin.
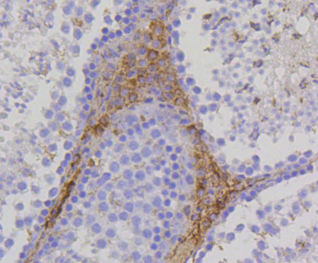
Immunohistochemical analysis of paraffin-embedded mouse testis tissue using anti-PBR antibody. Counter stained with hematoxylin.
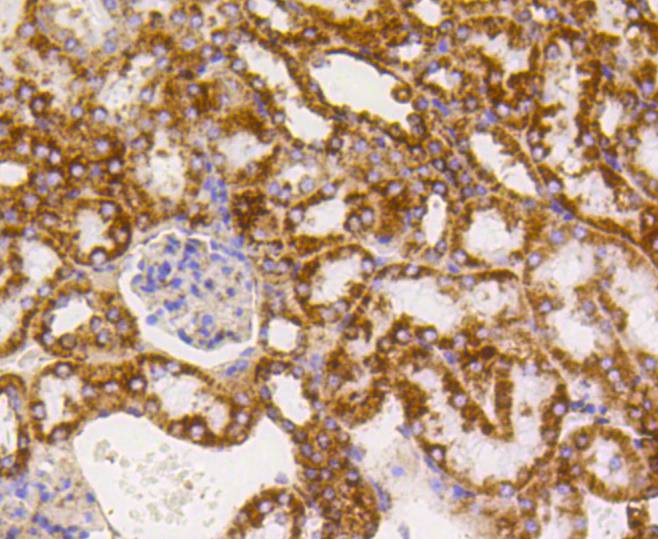
Immunohistochemical analysis of paraffin-embedded mouse kidney tissue using anti-PBR antibody. Counter stained with hematoxylin.
ICC staining PBR in Hela cells (green). The nuclear counter stain is DAPI (blue). Cells were fixed in paraformaldehyde, permeabilised with 0.25% Triton X100/PBS.
ICC staining PBR in PC-3M cells (green). The nuclear counter stain is DAPI (blue). Cells were fixed in paraformaldehyde, permeabilised with 0.25% Triton X100/PBS.
ICC staining PBR in SW480 cells (green). Cells were fixed in paraformaldehyde, permeabilised with 0.25% Triton X100/PBS.
Flow cytometric analysis of Hela cells with PBR antibody at 1/50 dilution (blue) compared with an unlabelled control (cells without incubation with primary antibody; red). Alexa Fluor 488-conjugated goat anti rabbit IgG was used as the secondary antibody.
Mitochondrial peripheral-type benzodiazepine receptor (PBR) is an indispensable element of the steroidogenic machinery, where it mediates the delivery of cholesterol to the inner mitochondrial side chain cleavage cytochrome P-450 upon ligand activation. PBR is composed of three subunits, an isoquinoline binding site, a voltage-dependent anion channel and an adenine nucleotide carrier. PBR is genetically conserved from bacteria to humans and in humans is widely expressed in peripheral organs, whereas in the brain, it is sparse and located mainly in glial cells. Peroxisome proliferator perfluordecanoic acid (PFDA) inhibits the Leydig cell steroidogenesis by affecting PBR mRNA stability, thus inhibiting PBR expression, cholesterol transport into the mitochondria and subsequent steroid formation. A cytoplasmic protein, PRAX-1 ( peripheral benzodiazepine receptor-associated protein 1), is found to specifically interact with PBR. The polypeptide diazepam binding inhibitor is an endogenous PBR ligand. PBR also binds Ro 5-4864 (4��-chlorodiazepam) and PK 11185 (an isoquinoline carboxamide derivative), but not clonazepam, and PBR regulates the cholesterol transport that results in decreased circulating corticosterone levels.

如果您使用该产品48605发表了文章,请通知我们,让我们可以引用您的文献。

et al,Single-cell analysis reveals the immune heterogeneity and interactions in lungs undergoing hepatic ischemia-reperfusionInInt ImmunopharmacolOn2023 NovbyChen Zhang1,Mingwei Sheng2, et al..PMID:37844464 , (2023),
PMID: 37844464

注释

应用

  • WB免疫印迹
  • IHC免疫组化
  • IF免疫荧光
  • ICC免疫细胞化学
  • FC流式细胞
  • IP免疫沉淀
  • E酶联免疫吸附法
  • DB免疫斑点法
  • ChIP染色质免疫沉淀
  • GICA胶体金免疫层析法
  • NC阴性对照

种属反应性

  • Hu
  • Ms小鼠
  • Rt大鼠
  • Dm果蝇
  • C线虫
  • Mk
  • Rb
  • B
  • D
  • P
  • Hm仓鼠
  • ChHm中国仓鼠
  • Chk
;

联系我们

Location :

南京市高新开发区星火路10号人才大厦C座

Phone :

400-9961-933
025-58868422

Email Address

info@sabbiotech.com