免费电话:400-9961-933
邮箱:info@sabbiotech.com
欢迎光临本站
川博智能体 English
位置: 首页 > 重组兔单抗 > HMGB1 Rabbit mAb

HMGB1 Rabbit mAb #48606

是否有货: Yes
产品详情

产品名称HMGB1 Rabbit mAb

克隆号SA39-03

来源种属Recombinant Rabbit

克隆性 Monoclonal antibody

纯化ProA affinity purified

应用WB, ICC/IF, IHC, FC

种属反应性Human;Mouse;Rat

免疫原描述recombinant protein

标记Unconjugated

别名Amphoterin antibody
Chromosomal protein, nonhistone, HMG1 antibody
DKFZp686A04236 antibody
High mobility group 1 antibody
High mobility group box 1 antibody
High mobility group protein 1 antibody
High mobility group protein B1 antibody
high-mobility group (nonhistone chromosomal) protein 1 antibody
HMG-1 antibody
HMG1 antibody
HMG3 antibody
HMGB 1 antibody
HMGB1 antibody
HMGB1_HUMAN antibody
NONHISTONE CHROMOSOMAL PROTEIN HMG1 antibody
SBP 1 antibody
Sulfoglucuronyl carbohydrate binding protein antibody

数据库入口号Swiss-Prot#:P09429

Uniprot P09429

计算分子量25 kDa

配方1*TBS (pH7.4), 1%BSA, 40%Glycerol. Preservative: 0.05% Sodium Azide.

保存Store at -20˚C

应用详情
WB: 1:1,000-5,000
IHC: 1:50-1:200
ICC: 1:50-1:200

FC: 1:10-1:100
Western blot analysis of HMGB1 on different cell lysates using anti-HMGB1 antibody at 1/1,000 dilution. Positive control:
Lane 1: MCF-7
Lane 2: PC12
Lane 3: F9
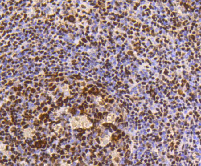
Immunohistochemical analysis of paraffin-embedded human tonsil tissue using anti-HMGB1 antibody. Counter stained with hematoxylin.
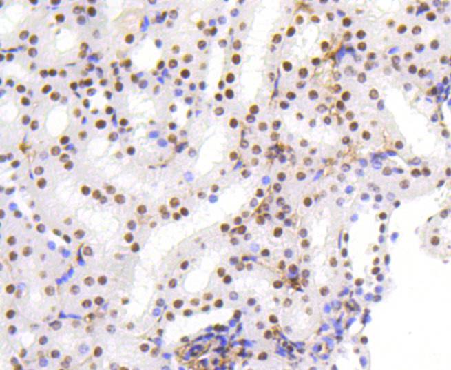
Immunohistochemical analysis of paraffin-embedded human kidney tissue using anti-HMGB1 antibody. Counter stained with hematoxylin.
Immunohistochemical analysis of paraffin-embedded mouse brain tissue using anti-HMGB1 antibody. Counter stained with hematoxylin.
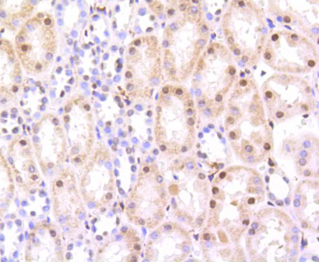
Immunohistochemical analysis of paraffin-embedded mouse kidney tissue using anti-HMGB1 antibody. Counter stained with hematoxylin.
ICC staining HMGB1 in NIH/3T3 cells (green). The nuclear counter stain is DAPI (blue). Cells were fixed in paraformaldehyde, permeabilised with 0.25% Triton X100/PBS.
ICC staining HMGB1 in MCF-7 cells (green). The nuclear counter stain is DAPI (blue). Cells were fixed in paraformaldehyde, permeabilised with 0.25% Triton X100/PBS.
Flow cytometric analysis of PC-12 cells with HMGB1 antibody at 1/50 dilution (blue) compared with an unlabelled control (cells without incubation with primary antibody; red). Alexa Fluor 488-conjugated goat anti-rabbit IgG was used as the secondary antibody
Like the histones, HMGB1, also known as high-mobility group protein 1 (HMG-1) is among the most important chromatin proteins. In the nucleus HMGB1 interacts with nucleosomes, transcription factors, and histones. This nuclear protein organizes the DNA and regulates transcription. After binding, HMGB1 bends DNA, which facilitates the binding of other proteins. HMGB1 is secreted by immune cells (like macrophages, monocytes and dendritic cells) through leaderless secretory pathway. Activated macrophages and monocytes secrete HMGB1 as a cytokine mediator of Inflammation. In recent research, HMGB1 has been reported as a novel biomarker for human ovarian cancer

如果您使用该产品48606发表了文章,请通知我们,让我们可以引用您的文献。

et al,Biodegradable iridium coordinated nanodrugs potentiate photodynamic therapy and immunotherapy of lung cancer. , (2025),
PMID: 39488900
et al,Ruthenium coordinated nanohybrids modulate tumor microenvironment and potentiate amplified phototherapy augmented immunotherapy of hypoxic tumor , (2025),
PMID: 41340912

注释

应用

  • WB免疫印迹
  • IHC免疫组化
  • IF免疫荧光
  • ICC免疫细胞化学
  • FC流式细胞
  • IP免疫沉淀
  • E酶联免疫吸附法
  • DB免疫斑点法
  • ChIP染色质免疫沉淀
  • GICA胶体金免疫层析法
  • NC阴性对照

种属反应性

  • Hu
  • Ms小鼠
  • Rt大鼠
  • Dm果蝇
  • C线虫
  • Mk
  • Rb
  • B
  • D
  • P
  • Hm仓鼠
  • ChHm中国仓鼠
  • Chk
;

联系我们

Location :

南京市高新开发区星火路10号人才大厦C座

Phone :

400-9961-933
025-58868422

Email Address

info@sabbiotech.com