免费电话:400-9961-933
邮箱:info@sabbiotech.com
欢迎光临本站
川博智能体 English
位置: 首页 > 重组兔单抗 > Cytokeratin 19 Rabbit mAb

Cytokeratin 19 Rabbit mAb #48622

是否有货: Yes
产品详情

产品名称Cytokeratin 19 Rabbit mAb

克隆号SA30-06

来源种属Recombinant Rabbit

克隆性 Monoclonal antibody

纯化ProA affinity purified

应用WB, ICC/IF, IHC, FC

种属反应性Human;Mouse

免疫原描述recombinant protein

标记Unconjugated

别名40 kDa keratin intermediate filament antibody
CK 19 antibody
CK-19 antibody
CK19 antibody
Cytokeratin 19 antibody
Cytokeratin-19 antibody
K19 antibody
K1C19_HUMAN antibody
K1CS antibody
Keratin 19 antibody
Keratin type I 40 kD antibody
Keratin type I 40kD antibody
Keratin type I cytoskeletal 19 antibody
Keratin, type I cytoskeletal 19 antibody
Keratin, type I, 40 kd antibody
Keratin-19 antibody
KRT19 antibody
MGC15366 antibody

数据库入口号Swiss-Prot#:P08727

Uniprot P08727

计算分子量40 kDa

配方1*TBS (pH7.4), 1%BSA, 40%Glycerol. Preservative: 0.05% Sodium Azide.

保存Store at -20˚C

应用详情
WB: 1:5,000-1:10,000
IHC: 1:50-1:200
ICC: 1:50-1:200

FC: 1:10-1:100
Western blot analysis of Cytokeratin 19 on MCF-7 cell lysates using anti- Cytokeratin 19 antibody at 1/10,000 dilution.
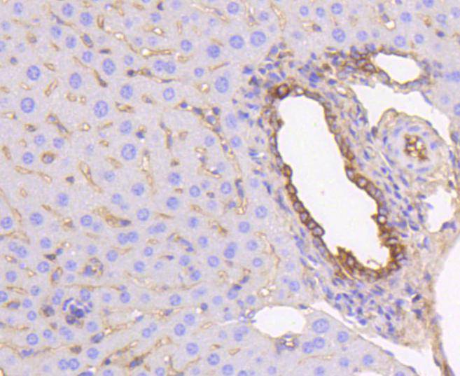
Immunohistochemical analysis of paraffin-embedded human liver tissue using anti-Cytokeratin 19 antibody. Counter stained with hematoxylin.
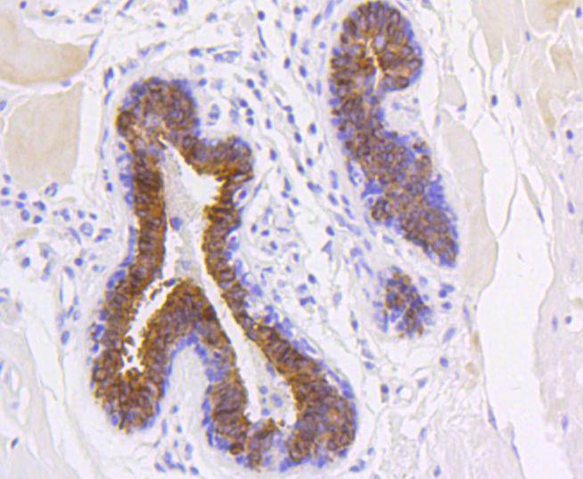
Immunohistochemical analysis of paraffin-embedded human breast carcinoma tissue using anti-Cytokeratin 19 antibody. Counter stained with hematoxylin.
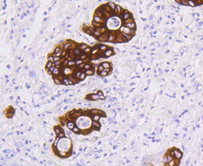
Immunohistochemical analysis of paraffin-embedded human stomach carcinoma tissue using anti-Cytokeratin 19 antibody. Counter stained with hematoxylin.
Immunohistochemical analysis of paraffin-embedded mouse liver tissue using anti-Cytokeratin 19 antibody. Counter stained with hematoxylin.
ICC staining Cytokeratin 19 in Ags cells (green). The nuclear counter stain is DAPI (blue). Cells were fixed in paraformaldehyde, permeabilised with 0.25% Triton X100/PBS.
Flow cytometric analysis of MCF-7 cells with Cytokeratin 19 antibody at 1/50 dilution (blue) compared with an unlabelled control (cells without incubation with primary antibody; red). Alexa Fluor 488-conjugated goat anti-rabbit IgG was used as the secondary antibody.
Cytokeratins comprise a diverse group of intermediate filament proteins (IFPs) that are expressed as pairs in both keratinized and non-keratinized epithelial tissue. Cytokeratins play a critical role in differentiation and tissue specialization and function to maintain the overall structural integrity of epithelial cells and have been found to be useful markers of tissue differentiation, which is directly applicable to the characterization of malignant tumors. For example, many types of cancer cells express Cytokeratin 19 (CK19), an epithelial cytoskeletal protein within the suprabasal squamous epithelium. Cytokeratin 19 is a specific marker of moderate to severe dysplasia and carcinoma in situ in oral cavity squamous epithelium, and measurement of Cytokeratin 19 may be a useful marker in diagnosing hepatoma. Cytokeratin 19 fragment levels in serum have been documented as a marker for lung cancer. Clinical investigations have suggested that serum CYFRA 21-1, a fragment of Cytokeratin 19, may be among the most useful tumor markers.

如果您使用该产品48622发表了文章,请通知我们,让我们可以引用您的文献。

et al,Hepatitis B virus-related intrahepatic cholangiocarcinoma originates from hepatocytesInHepatol IntOn2023 OctbyZimin Song?#?1,?Shuirong Lin et al..PMID: 37368186 , (2023),
PMID: 37368186

注释

应用

  • WB免疫印迹
  • IHC免疫组化
  • IF免疫荧光
  • ICC免疫细胞化学
  • FC流式细胞
  • IP免疫沉淀
  • E酶联免疫吸附法
  • DB免疫斑点法
  • ChIP染色质免疫沉淀
  • GICA胶体金免疫层析法
  • NC阴性对照

种属反应性

  • Hu
  • Ms小鼠
  • Rt大鼠
  • Dm果蝇
  • C线虫
  • Mk
  • Rb
  • B
  • D
  • P
  • Hm仓鼠
  • ChHm中国仓鼠
  • Chk
;

联系我们

Location :

南京市高新开发区星火路10号人才大厦C座

Phone :

400-9961-933
025-58868422

Email Address

info@sabbiotech.com