免费电话:400-9961-933
邮箱:info@sabbiotech.com
欢迎光临本站
川博智能体 English
位置: 首页 > 重组兔单抗 > Cytokeratin 20 Rabbit mAb

Cytokeratin 20 Rabbit mAb#48624

是否有货: Yes
产品详情

产品名称Cytokeratin 20 Rabbit mAb

克隆号SA35-03

来源种属Recombinant Rabbit

克隆性 Monoclonal antibody

纯化ProA affinity purified

应用WB, ICC/IF, IHC, IP, FC

种属反应性Human;Rat

免疫原描述recombinant protein

标记Unconjugated

别名CD20 antibody
CK 20 antibody
CK-20 antibody
CK20 antibody
Cytokeratin-20 antibody
Cytokeratin20 antibody
K1C20_HUMAN antibody
K20 antibody
KA20 antibody
Keratin 20 antibody
keratin 20, type I antibody
keratin 21, rat, homolog of antibody
Keratin antibody
Keratin type I cytoskeletal 20 antibody
Keratin-20 antibody
Keratin20 antibody
KRT 20 antibody
KRT 21 antibody
KRT20 antibody
KRT21 antibody
MGC35423 antibody
OTTHUMP00000164518 antibody
Protein IT antibody
type I cytoskeletal 20 antibody

数据库入口号Swiss-Prot#:P35900

Uniprot P35900

计算分子量44 kDa

配方1*TBS (pH7.4), 1%BSA, 40%Glycerol. Preservative: 0.05% Sodium Azide.

保存Store at -20˚C

应用详情
WB: 1:1,000-5,000
IHC: 1:50-1:200
ICC: 1:50-1:200

FC: 1:10-1:100
Western blot analysis of Cytokeratin 20 on different cell lysates using anti-Cytokeratin 20 antibody at 1/1,000 dilution. Positive control:
Lane 1: Lovo
Lane 2: HCT116
Lane 3: CRC
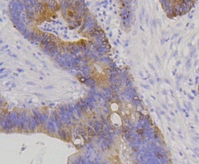
Immunohistochemical analysis of paraffin-embedded rat small intestine tissue using anti-Cytokeratin 20 antibody. Counter stained with hematoxylin.
Immunohistochemical analysis of paraffin-embedded human colon cancer tissue using anti-Cytokeratin 20 antibody. Counter stained with hematoxylin.
ICC staining Cytokeratin 20 in CRC cells (green). The nuclear counter stain is DAPI (blue). Cells were fixed in paraformaldehyde, permeabilised with 0.25% Triton X100/PBS.
Flow cytometric analysis of CRC cells with Cytokeratin 20 antibody at 1/50 dilution (blue) compared with an unlabelled control (cells without incubation with primary antibody; red). Alexa Fluor 488-conjugated goat anti rabbit IgG was used as the secondary antibody.
Cytokeratins comprise a diverse group of intermediate filament proteins (IFPs) that are expressed as pairs in both keratinized and non-keratinized epithelial tissue, where they constitute up to 85% of mature keratinocytes in the vertebrate epidermis. Cytokeratins play a critical role in differentiation and tissue specialization and function to maintain the overall structural integrity of epi-thelial cells. The a-helical coiled-coil dimers associate laterally end-to-end to form 10 nm diameter filaments. Cytokeratins are useful markers of tissue differentiation, and in addition, they aid in the characterization of malignant tumors. Cytokeratin 20 is abundantly expressed in goblet cells and enterocytes of the gastrointestinal tract, and Cytokeratin 20 is a useful marker of pancreatic and colorectal cancer. Cytokeratin 20 is also helpful in distinguishing different types of highly related carcinomas, such as renal oncocytomas from renal cell carcinomas.

如果您使用该产品48624发表了文章,请通知我们,让我们可以引用您的文献。

注释

应用

  • WB免疫印迹
  • IHC免疫组化
  • IF免疫荧光
  • ICC免疫细胞化学
  • FC流式细胞
  • IP免疫沉淀
  • E酶联免疫吸附法
  • DB免疫斑点法
  • ChIP染色质免疫沉淀
  • GICA胶体金免疫层析法
  • NC阴性对照

种属反应性

  • Hu
  • Ms小鼠
  • Rt大鼠
  • Dm果蝇
  • C线虫
  • Mk
  • Rb
  • B
  • D
  • P
  • Hm仓鼠
  • ChHm中国仓鼠
  • Chk
;

联系我们

Location :

南京市高新开发区星火路10号人才大厦C座

Phone :

400-9961-933
025-58868422

Email Address

info@sabbiotech.com