免费电话:400-9961-933
邮箱:info@sabbiotech.com
欢迎光临本站
川博智能体 English
位置: 首页 > 重组兔单抗 > PSD95 Rabbit mAb

PSD95 Rabbit mAb #48638

是否有货: Yes
产品详情

产品名称PSD95 Rabbit mAb

克隆号SR38-09

来源种属Recombinant Rabbit

克隆性Monoclonal

纯化Affinity-chromatography

应用WB, ICC/IF, IHC, IP, FC

种属反应性Human;Mouse;Rat

免疫原描述A synthesized peptide derived from human Disks large homolog 4

标记Unconjugated

别名Discs large homolog 4 antibody
Disks large homolog 4 antibody
DLG 4 antibody
Dlg4 antibody
DLG4_HUMAN antibody
FLJ97752 antibody
FLJ98574 antibody
Human post synaptic density protein 95 antibody
Post synaptic density protein 95 antibody
Postsynaptic density protein 95 antibody
PSD 95 antibody
PSD-95 antibody
PSD95 antibody
SAP 90 antibody
SAP-90 antibody
SAP90 antibody
Synapse associated protein 90 antibody
Synapse-associated protein 90 antibody
Tax interaction protein 15 antibody

数据库入口号P78352

Uniprot P78352

计算分子量100 kDa

配方Rabbit IgG in 10mM phosphate buffered saline , pH 7.4, 150mM sodium chloride, 0.05% BSA, 0.02% sodium azide and 50% glycerol.

保存Store at +4°C for short term. Store at -20°C for long term. Avoid freeze/thaw cycle.

应用详情
WB 1:1000-1:2000 IHC 1:100-1:200 ICC/IF 1:50-1:200 IP 1:20-1:50 FC 1:20-1:100
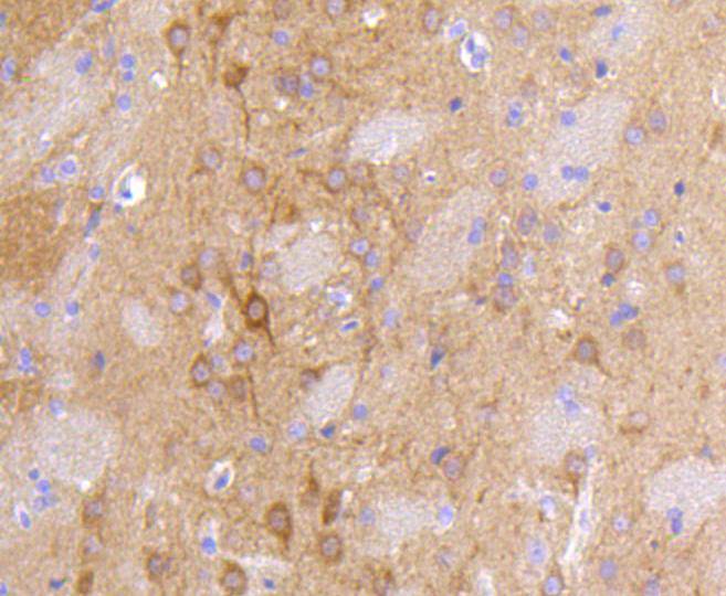
Immunohistochemical analysis of paraffin-embedded rat brain tissue using anti-PSD95 antibody. Counter stained with hematoxylin.
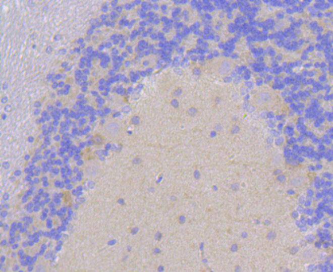
Immunohistochemical analysis of paraffin-embedded rat cerebellum tissue using anti-PSD95 antibody. Counter stained with hematoxylin.
Immunohistochemical analysis of paraffin-embedded mouse cerebullum tissue using anti-PSD95 antibody. Counter stained with hematoxylin.

Flow cytometric analysis of SH-SY-5Y cells with PSD95 antibody at 1/50 dilution (blue) compared with an unlabelled control (cells without incubation with primary antibody; red). Alexa Fluor 488-conjugated goat anti rabbit IgG was used as the secondary antibody.
Western blot analysis of PSD95 expression in Mouse brain tissue lysate.
Immunofluorescent analysis of U87-MG cells, using PSD95 Antibody .

Interacts with the cytoplasmic tail of NMDA receptor subunits and shaker-type potassium channels. Required for synaptic plasticity associated with NMDA receptor signaling. Overexpression or depletion of DLG4 changes the ratio of excitatory to inhibitory synapses in hippocampal neurons.

如果您使用该产品48638发表了文章,请通知我们,让我们可以引用您的文献。

et al,Qingzhuan dark tea Theabrownin alleviates hippocampal injury in HFD-induced obese mice through the MARK4/NLRP3 pathway , (2024),
PMID:

注释

应用

  • WB免疫印迹
  • IHC免疫组化
  • IF免疫荧光
  • ICC免疫细胞化学
  • FC流式细胞
  • IP免疫沉淀
  • E酶联免疫吸附法
  • DB免疫斑点法
  • ChIP染色质免疫沉淀
  • GICA胶体金免疫层析法
  • NC阴性对照

种属反应性

  • Hu
  • Ms小鼠
  • Rt大鼠
  • Dm果蝇
  • C线虫
  • Mk
  • Rb
  • B
  • D
  • P
  • Hm仓鼠
  • ChHm中国仓鼠
  • Chk
;

联系我们

Location :

南京市高新开发区星火路10号人才大厦C座

Phone :

400-9961-933
025-58868422

Email Address

info@sabbiotech.com