免费电话:400-9961-933
邮箱:info@sabbiotech.com
欢迎光临本站
川博智能体 English
位置: 首页 > 重组兔单抗 > Caspase-3 Rabbit mAb

Caspase-3 Rabbit mAb #48658

是否有货: Yes
产品详情

产品名称Caspase-3 Rabbit mAb

克隆号SR03-01

来源种属Recombinant Rabbit

克隆性Monoclonal antibody

纯化ProA affinity purified

应用WB, ICC/IF, IHC, IP, FC

种属反应性Human;Mouse

免疫原描述recombinant protein

标记Unconjugated

别名A830040C14Rik antibody
Apopain antibody
CASP-3 antibody
CASP3 antibody
CASP3_HUMAN antibody
Casp3a antibody
Caspase 3 antibody
Caspase 3, apoptosis-related cysteine peptidase antibody
Caspase 3, apoptosis-related cysteine protease antibody
Caspase 3, apoptosis-related cysteine protease a antibody
Caspase-3 subunit p12 antibody
CC3 antibody
CPP-32 antibody
CPP32 antibody
CPP32B antibody
Cysteine protease CPP32 antibody
EC 3.4.22.56 antibody
LICE antibody
mldy antibody
OTTHUMP00000165052 antibody
OTTHUMP00000165053 antibody
OTTHUMP00000165054 antibody
PARP cleavage protease antibody
Procaspase3 antibody
Protein Yama antibody
SCA 1 antibody
SCA-1 antibody
SREBP cleavage activity 1 antibody
Yama antibody

数据库入口号Swiss-Prot#:P42574

Uniprot P42574

计算分子量32 kDa

实际分子量35 kDa

配方1*TBS (pH7.4), 1%BSA, 40%Glycerol. Preservative: 0.05% Sodium Azide.

保存Store at -20˚C

应用详情
WB: 1:1,000-5,000
IHC: 1:50-1:200
ICC: 1:50-1:100

FC:1:20-1:50
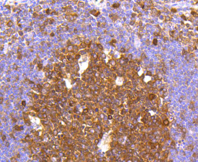
Immunohistochemical analysis of paraffin-embedded human tonsil tissue using anti-Caspase-3 antibody. Counter stained with hematoxylin.
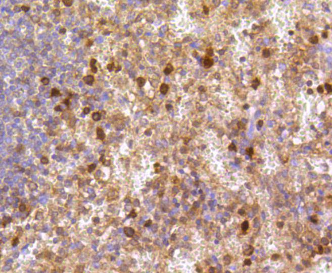
Immunohistochemical analysis of paraffin-embedded human spleen tissue using anti-Caspase-3 antibody. Counter stained with hematoxylin.
ICC staining Caspase-3 in Hela cells (green). The nuclear counter stain is DAPI (blue). Cells were fixed in paraformaldehyde, permeabilised with 0.25% Triton X100/PBS.
All lanes: pro Caspase 3 Rabbit mAb at 1/1k dilution
Lane 1 : Hela whole cell lysates
Lane 2 : JK whole cell lysates
Lane 3 : MCF7 whole cell lysates
Lane 4 : SH-SY5Y whole cell lysates
Lysates/proteins at 20 µg per lane.
Secondary
All lanes : Goat Anti-Rabbit IgG H&L (HRP) at 1/20000 dilution
Predicted band size: 32 kDa
Observed band size: 35 kDa
Exposure time: 9 seconds
All lanes: pro Caspase 3 Rabbit mAb at 1/1k dilution
Lane 1 : Wild-type HAP1 cell lysate
Lane 2 : pro Caspase 3 knockdown Hela cell lysate
Lysates/proteins at 20 µg per lane.
Caspase-3, also known as apopain, SCA-1, Yama and CPP32, is an aspartate-specific cysteine protease that belongs to the ICE subfamily of caspases. Caspase-3 is expressed in cells as an inactive precursor from which the p17 and p11 subunits of the mature caspase-3 are proteolytically generated during apoptosis. The caspase-3 precursor is first cleaved at Asp175-Ser176 to produce the p11 subunit and the p20 peptide. Subsequently, the p20 peptide is cleaved at Asp28-Ser29 to generate the mature p17 subunit. The active caspase-3 enzyme is a heterodimer composed of two p17 and two p11 subunits. At the onset of apoptosis, caspase-3 proteolytically cleaves PARP at an Asp216-Gly217 bond. During the execution of the apoptotic cascade, activated caspase-3 releases SREBP from the membrane of the ER in a proteolytic reaction that is distinct from their normal sterol-dependent activation. Caspase-3 cleaves and activates SREBPs between the basic helix-loop-helix leucine zipper domain and the membrane attachment domain. Caspase-3 also cleaves and activates caspase-6, -7 and -9. The human caspase-3 gene encodes a cytoplasmic protein that is highly expressed in lung, spleen, heart, liver, kidney and cells of the immune system.

如果您使用该产品48658发表了文章,请通知我们,让我们可以引用您的文献。

et al,Potential role of the cAMP/PKA/CREB signallIng pathway In hypoxic preconditionIng and effect on propofol?Induced neurotoxicity In the hippocampus of neonatal rats.In Mol Med Rep on 2019 Aug by Guan R, Lv J, et al..PMID:31257533 , (2019),
PMID: 31257533

注释

应用

  • WB免疫印迹
  • IHC免疫组化
  • IF免疫荧光
  • ICC免疫细胞化学
  • FC流式细胞
  • IP免疫沉淀
  • E酶联免疫吸附法
  • DB免疫斑点法
  • ChIP染色质免疫沉淀
  • GICA胶体金免疫层析法
  • NC阴性对照

种属反应性

  • Hu
  • Ms小鼠
  • Rt大鼠
  • Dm果蝇
  • C线虫
  • Mk
  • Rb
  • B
  • D
  • P
  • Hm仓鼠
  • ChHm中国仓鼠
  • Chk
;

联系我们

Location :

南京市高新开发区星火路10号人才大厦C座

Phone :

400-9961-933
025-58868422

Email Address

info@sabbiotech.com