免费电话:400-9961-933
邮箱:info@sabbiotech.com
欢迎光临本站
川博智能体 English
位置: 首页 > 重组兔单抗 > beta Tubulin Rabbit mAb

beta Tubulin Rabbit mAb #48659

是否有货: Yes
产品详情

产品名称beta Tubulin Rabbit mAb

克隆号SR25-04

来源种属Recombinant Rabbit

克隆性 Monoclonal antibody

纯化ProA affinity purified

应用WB, ICC, IHC, FC

种属反应性Human;Mouse;Rat

免疫原描述recombinant protein

标记Unconjugated

别名Beta 4 tubulin antibody
Beta 5 tubulin antibody
BetaTubulin antibody
TBB5_HUMAN antibody
TUBB antibody
TUBB2 antibody
TUBB2A antibody
TUBB5 antibody
tubulin beta 2A antibody
Tubulin beta chain antibody
Tubulin beta-5 chain antibody

数据库入口号Swiss-Prot#:P07437

Uniprot P07437

计算分子量50 kDa

配方1*TBS (pH7.4), 1%BSA, 40%Glycerol. Preservative: 0.05% Sodium Azide.

保存Store at -20˚C

应用详情
WB: 1:1,000-5,000
IHC: 1:50-1:200
ICC: 1:50-1:200

FC: 1:10-1:100
Western blot analysis of beta Tubulin on different cell lysates using anti-beta Tubulin antibody at 1/1,000 dilution. Positive control:
Lane 1: Hela
Lane 2: NIH/3T3
Lane 3: PC12
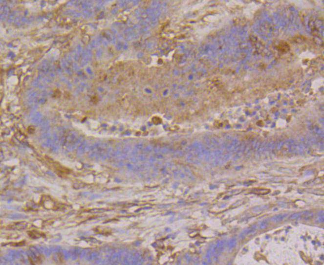
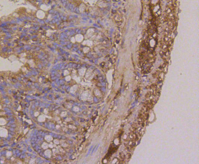
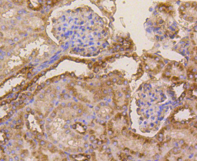
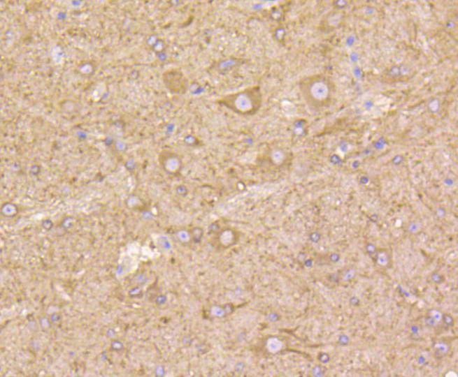
Immunohistochemical analysis of paraffin-embedded mouse brain tissue using anti-beta Tubulin antibody. Counter stained with hematoxylin.
Immunohistochemical analysis of paraffin-embedded mouse kidney tissue using anti-beta Tubulin antibody. Counter stained with hematoxylin.
Immunohistochemical analysis of paraffin-embedded human colon cancer tissue using anti-beta Tubulin antibody. Counter stained with hematoxylin.
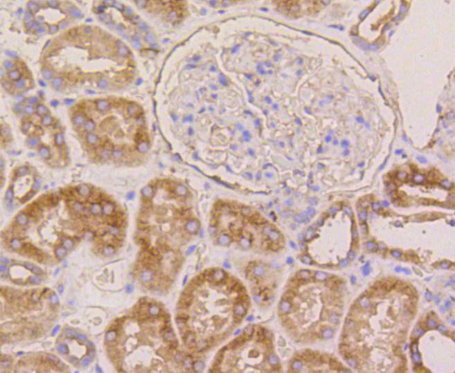
Immunohistochemical analysis of paraffin-embedded human kidney tissue using anti-beta Tubulin antibody. Counter stained with hematoxylin.
Immunohistochemical analysis of paraffin-embedded mouse colon tissue using anti-beta Tubulin antibody. Counter stained with hematoxylin.
ICC staining beta Tubulin in Hela cells (green). The nuclear counter stain is DAPI (blue). Cells were fixed in paraformaldehyde, permeabilised with 0.25% Triton X100/PBS.
ICC staining beta Tubulin in CRC cells (green). The nuclear counter stain is DAPI (blue). Cells were fixed in paraformaldehyde, permeabilised with 0.25% Triton X100/PBS.
ICC staining beta Tubulin in N2A cells (green). Cells were fixed in paraformaldehyde, permeabilised with 0.25% Triton X100/PBS.
ICC staining beta Tubulin in PC12 cells (green). Cells were fixed in paraformaldehyde, permeabilised with 0.25% Triton X100/PBS.
ICC staining beta Tubulin in SH-SY-5Y cells (green). Cells were fixed in paraformaldehyde, permeabilised with 0.25% Triton X100/PBS.
Flow cytometric analysis of NIH/3T3 cells with beta Tubulin antibody at 1/50 dilution (blue) compared with an unlabelled control (cells without incubation with primary antibody; red). Alexa Fluor 488-conjugated goat anti rabbit IgG was used as the secondary antibody.
Tubulin is one of several members of a small family of globular proteins. The most common members of the tubulin family are α-tubulin and β-tubulin. The beta-tubulin (relative molecular weight about 50 kDa) is counterpart of alpha-tubulin in tubulin heterodimer, it is coded by multiple tubulin genes and it is also posttranslationally modified. Heterogeneity of subunit is concentrated in C-terminal structural domain. Beta-Tubulin may have bound GTP or GDP. Under certain conditions β-tubulin can hydrolyze its bound GTP to GDP plus Pi, release the Pi, and exchange the GDP for GTP.

如果您使用该产品48659发表了文章,请通知我们,让我们可以引用您的文献。

et al,DDAH1 Protects against Cardiotoxin-Induced Muscle Injury and Regeneration In Antioxidants (Basel)On2023 Sep 13byFei Feng , Bingqing Cui et al..PMID:37760057 , (2023),
PMID: 37760057
et al,Aerobic Exercise Protects against Cardiotoxin-Induced Skeletal Muscle Injury in a DDAH1-Dependent Manner. In Antioxidants (Basel) on 2024 Sep 1 by Fei Feng, Kai Luo, et al..PMID:39334728 , (2024),
PMID: 39334728
et al,A Novel CYP2E1 Inhibitor, 4‐Methyl‐5‐Acetylthiazole (Q11), Alleviates Obesity Via Modulating Adipose Inflammation and Mitochondrial Dysfunction , (2025),
PMID: 41420839

注释

应用

  • WB免疫印迹
  • IHC免疫组化
  • IF免疫荧光
  • ICC免疫细胞化学
  • FC流式细胞
  • IP免疫沉淀
  • E酶联免疫吸附法
  • DB免疫斑点法
  • ChIP染色质免疫沉淀
  • GICA胶体金免疫层析法
  • NC阴性对照

种属反应性

  • Hu
  • Ms小鼠
  • Rt大鼠
  • Dm果蝇
  • C线虫
  • Mk
  • Rb
  • B
  • D
  • P
  • Hm仓鼠
  • ChHm中国仓鼠
  • Chk
;

联系我们

Location :

南京市高新开发区星火路10号人才大厦C座

Phone :

400-9961-933
025-58868422

Email Address

info@sabbiotech.com