免费电话:400-9961-933
邮箱:info@sabbiotech.com
欢迎光临本站
川博智能体 English
位置: 首页 > 重组兔单抗 > NFkB p105/p50 Rabbit mAb

NFkB p105/p50 Rabbit mAb #48680

是否有货: Yes
产品详情

产品名称NFkB p105/p50 Rabbit mAb

克隆号SZ20-01

来源种属Recombinant Rabbit

克隆性Monoclonal

纯化Affinity-chromatography

应用WB, IHC

种属反应性Human;Mouse;Rat

免疫原描述A synthesized peptide derived from human NF-κB (p105/p50)

标记Unconjugated

别名DKFZp686C01211 antibody
DNA binding factor KBF1 antibody
DNA binding factor KBF1 EBP1 antibody
DNA-binding factor KBF1 antibody
EBP 1 antibody
EBP-1 antibody
EBP1 antibody
KBF1 antibody
MGC54151 antibody
NF kappa B antibody
NF kappaB antibody
NF kappabeta antibody
NF kB1 antibody
NFkappaB antibody
NFKB 1 antibody
NFKB p105 antibody
NFKB p50 antibody
Nfkb1 antibody
NFKB1_HUMAN antibody
Nuclear factor kappa B DNA binding subunit antibody
Nuclear factor kappa-B, subunit 1 antibody
Nuclear factor NF kappa B p105 subunit antibody
Nuclear factor NF kappa B p50 subunit antibody
Nuclear factor NF-kappa-B p50 subunit antibody
Nuclear factor of kappa light chain gene enhancer in B cells 1 antibody
Nuclear factor of kappa light polypeptide gene enhancer in B cells 1 antibody
Nuclear factor of kappa light polypeptide gene enhancer in B-cells 1 antibody
p105 antibody
p50 antibody
p84/NF-kappa-B1 p98 antibody
Transcription factor NFKB1 antibody

数据库入口号Swiss-Prot#:P19838

Uniprot P19838

计算分子量50kDa/120kDa

配方Rabbit IgG in phosphate buffered saline , pH 7.4, 150mM NaCl, 0.02% sodium azide and 50% glycerol.

保存Store at +4°C short term. Store at -20°C long term. Avoid freeze / thaw cycle.

应用详情

WB 1:500~1:2000
IHC 1:50~1:200

 

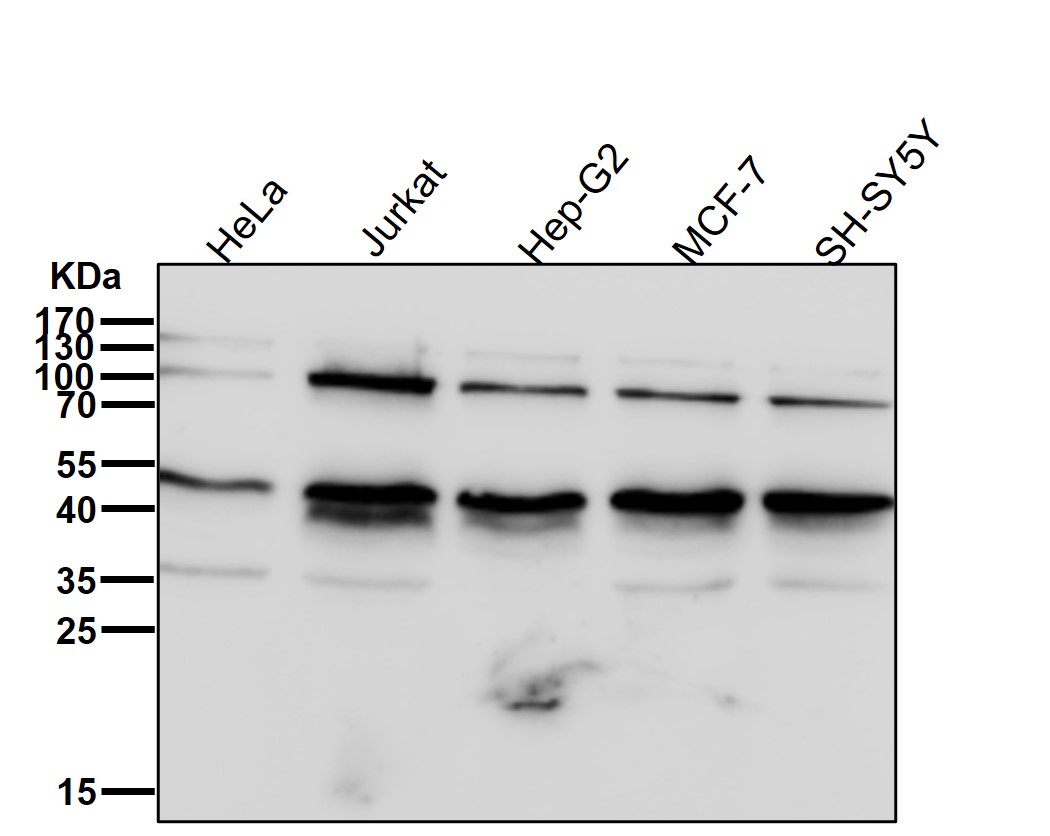
All lanes use the Antibody at 1:2K dilution for 1 hour at room temperature.
All lanes use the Antibody at 1:1K dilution for 1 hour at room temperature.
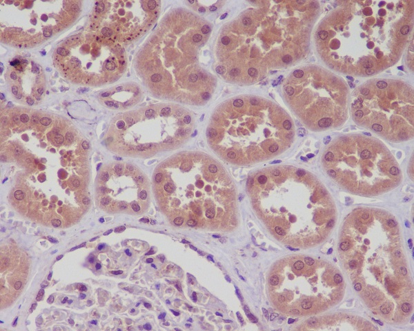
Immunohistochemical analysis of paraffin-embedded human kidney, using NF-κB p105/p50 Antibody.

NF-κB-p105 a transcription factor of the nuclear factor-kappaB (NF-κB) group. Undergoes cotranslational processing by the 26S proteasome to produce a 50 kD protein. The 105 kD protein is a Rel protein-specific transcription inhibitor and the 50 kD protein is a DNA binding subunit of NF-κB. NF-κB is a transcription regulator that is activated by various intra- and extra-cellular stimuli such as cytokines, oxidant-free radicals, ultraviolet irradiation, and bacterial or viral products.

如果您使用该产品48680发表了文章,请通知我们,让我们可以引用您的文献。

et al,The role of FTO in m6A RNA methylation and immune regulation in Staphylococcus aureus infection-related osteomyelitis. , (2025),
PMID: 39980685

注释

应用

  • WB免疫印迹
  • IHC免疫组化
  • IF免疫荧光
  • ICC免疫细胞化学
  • FC流式细胞
  • IP免疫沉淀
  • E酶联免疫吸附法
  • DB免疫斑点法
  • ChIP染色质免疫沉淀
  • GICA胶体金免疫层析法
  • NC阴性对照

种属反应性

  • Hu
  • Ms小鼠
  • Rt大鼠
  • Dm果蝇
  • C线虫
  • Mk
  • Rb
  • B
  • D
  • P
  • Hm仓鼠
  • ChHm中国仓鼠
  • Chk
;

联系我们

Location :

南京市高新开发区星火路10号人才大厦C座

Phone :

400-9961-933
025-58868422

Email Address

info@sabbiotech.com