免费电话:400-9961-933
邮箱:info@sabbiotech.com
欢迎光临本站
川博智能体 English
位置: 首页 > 重组兔单抗 > pro Caspase 3 Rabbit mAb

pro Caspase 3 Rabbit mAb #48686

是否有货: Yes
产品详情

产品名称pro Caspase 3 Rabbit mAb

克隆号SZ02-08

来源种属Recombinant Rabbit

克隆性Monoclonal

纯化Affinity-chromatography

应用WB, ICC/IF, IHC, IP, FC

种属反应性Human;Mouse

免疫原描述A synthesized peptide derived from human Caspase 3

标记Unconjugated

别名CASP3 antibody
Caspase 3 antibody
Caspase 3 apoptosis related cysteine peptidase antibody
CPP32 antibody
CPP32B antibody
Procaspase 3 antibody
SCA 1 antibody
SCA1 antibody
Yama antibody
Yama protein antibody

数据库入口号Swiss-Prot#:P42574

Uniprot P42574

计算分子量35 kDa

浓度1.1mg/ml

配方Rabbit IgG in 10mM phosphate buffered saline , pH 7.4, 150mM sodium chloride, 0.05% BSA, 0.02% sodium azide and 50% glycerol.

保存Store at +4°C for short term. Store at -20°C for long term. Avoid freeze/thaw cycle.

应用详情
WB 1:1000-1:2000
IHC 1:100-1:200
ICC/IF 1:50-1:200
IP 1:20-1:50
FC 1:20-1:100
Western blot analysis of pro Caspase 3 expression in Jurkat cell lysate.
All lanes use the Antibody at 1:2K dilution for 1 hour at room temperature.
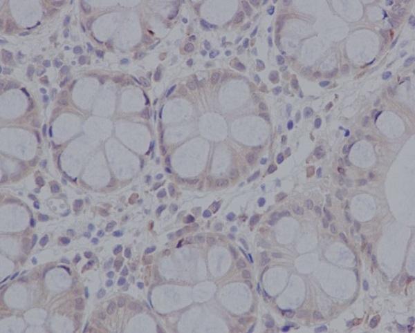
Immunohistochemical analysis of paraffin-embedded human colon, using pro Caspase 3 Antibody.
Immunofluorescent analysis of Hela cells, using pro Caspase 3 Antibody.
Western blot detection of Caspase-3 in K562,Hela cell lysates using Caspase-3 Rabbit mAb(1:1000 diluted).Predicted band size:32kDa.Observed band size:32kDa.
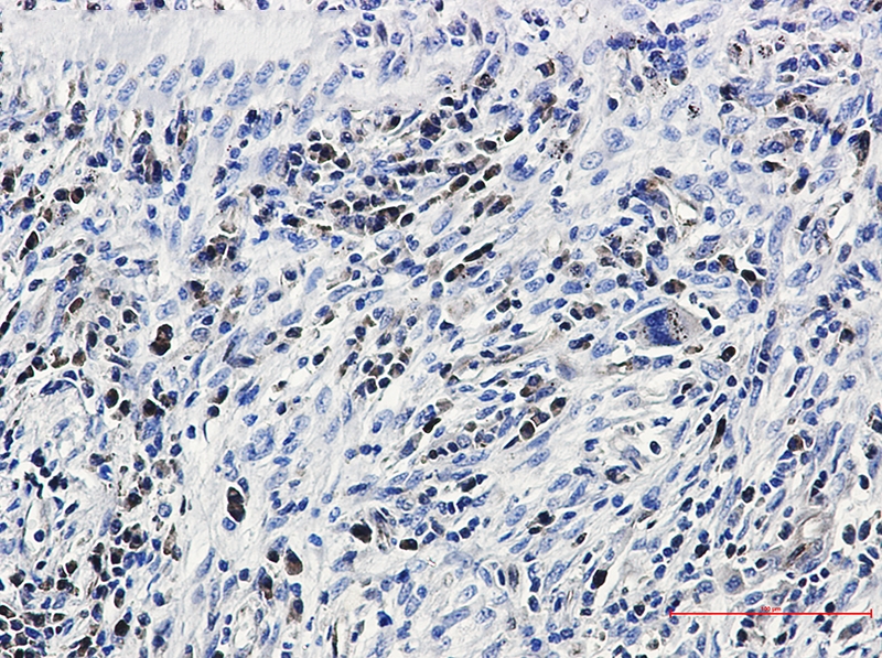
Immunohistochemistry of Caspase-3 in paraffin-embedded Human lung cancer tissue using Caspase-3 Rabbit mAb at dilution 1/20

Caspase-3, also known as apopain, SCA-1, Yama and CPP32, is an aspartate-specific cysteine protease that belongs to the ICE subfamily of caspases. Caspase-3 is expressed in cells as an inactive precursor from which the p17 and p11 subunits of the mature caspase-3 are proteolytically generated during apoptosis. The caspase-3 precursor is first cleaved at Asp175-Ser176 to produce the p11 subunit and the p20 peptide. Subsequently, the p20 peptide is cleaved at Asp28-Ser29 to generate the mature p17 subunit. The active caspase-3 enzyme is a heterodimer composed of two p17 and two p11 subunits. At the onset of apoptosis, caspase-3 proteolytically cleaves PARP at an Asp216-Gly217 bond. During the execution of the apoptotic cascade, activated caspase-3 releases SREBP from the membrane of the ER in a proteolytic reaction that is distinct from their normal sterol-dependent activation. Caspase-3 cleaves and activates SREBPs between the basic helix-loop-helix leucine zipper domain and the membrane attachment domain. Caspase-3 also cleaves and activates caspase-6, -7 and -9. The human caspase-3 gene encodes a cytoplasmic protein that is highly expressed in lung, spleen, heart, liver, kidney and cells of the immune system.

如果您使用该产品48686发表了文章,请通知我们,让我们可以引用您的文献。

et al,Neuronal SH2B1 attenuates apoptosis in an MPTP mouse model of Parkinson's disease via promoting PLIN4 degradation. In Redox Biol on 2022 Jun by Xiaojuan Han, Yuan Liu, et al..PMID: 35390677 , (2022),
PMID: 35390677

注释

应用

  • WB免疫印迹
  • IHC免疫组化
  • IF免疫荧光
  • ICC免疫细胞化学
  • FC流式细胞
  • IP免疫沉淀
  • E酶联免疫吸附法
  • DB免疫斑点法
  • ChIP染色质免疫沉淀
  • GICA胶体金免疫层析法
  • NC阴性对照

种属反应性

  • Hu
  • Ms小鼠
  • Rt大鼠
  • Dm果蝇
  • C线虫
  • Mk
  • Rb
  • B
  • D
  • P
  • Hm仓鼠
  • ChHm中国仓鼠
  • Chk
;

联系我们

Location :

南京市高新开发区星火路10号人才大厦C座

Phone :

400-9961-933
025-58868422

Email Address

info@sabbiotech.com