免费电话:400-9961-933
邮箱:info@sabbiotech.com
欢迎光临本站
川博智能体 English
位置: 首页 > 重组兔单抗 > IKB alpha Rabbit mAb

IKB alpha Rabbit mAb #48695

是否有货: Yes
产品详情

产品名称IKB alpha Rabbit mAb

克隆号SZ00-07

来源种属Recombinant Rabbit

克隆性 Monoclonal antibody

纯化ProA affinity purified

应用WB, ICC/IF, IHC, IP

种属反应性Human;Mouse;Rat

免疫原描述recombinant protein

标记Unconjugated

别名I kappa B alpha antibody
I-kappa-B-alpha antibody
IkappaBalpha antibody
IkB-alpha antibody
IKBA antibody
IKBA_HUMAN antibody
IKBalpha antibody
MAD 3 antibody
MAD3 antibody
Major histocompatibility complex enhancer-binding protein MAD3 antibody
NF kappa B inhibitor alpha antibody
NF-kappa-B inhibitor alpha antibody
NFKBI antibody
NFKBIA antibody
Nuclear factor of kappa light chain gene enhancer in B cells antibody
Nuclear factor of kappa light polypeptide gene enhancer in B cells inhibitor alpha antibody

数据库入口号Swiss-Prot#:P25963

Uniprot P25963

计算分子量34 kDa

配方1*TBS (pH7.4), 1%BSA, 40%Glycerol. Preservative: 0.05% Sodium Azide.

保存Store at -20˚C

应用详情
WB: 1:1,000-5,000
IHC: 1:50-1:200
ICC: 1:50-1:200

Western blot analysis of IKB alpha on different lysates using anti-IKB alpha antibody at 1/1,000 dilution. Positive control:
Lane 1: PC-12
Lane 2: NIH/3T3
Lane 3: Hela
Immunohistochemical analysis of paraffin-embedded mouse brain tissue using anti-IKB alpha antibody. Counter stained with hematoxylin.
Immunohistochemical analysis of paraffin-embedded mouse stomach tissue using anti-IKB alpha antibody. Counter stained with hematoxylin.
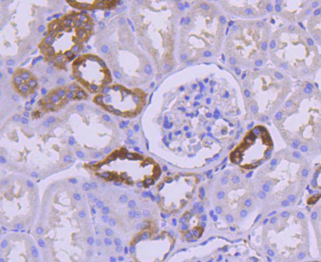
Immunohistochemical analysis of paraffin-embedded human kidney tissue using anti-IKB alpha antibody. Counter stained with hematoxylin.
Immunohistochemical analysis of paraffin-embedded mouse kidney tissue using anti-IKB alpha antibody. Counter stained with hematoxylin.
ICC staining IKB alpha in Hela cells (green). The nuclear counter stain is DAPI (blue). Cells were fixed in paraformaldehyde, permeabilised with 0.25% Triton X100/PBS.
ICC staining IKB alpha in MCF-7 cells (green). The nuclear counter stain is DAPI (blue). Cells were fixed in paraformaldehyde, permeabilised with 0.25% Triton X100/PBS.
ICC staining IKB alpha in SHG-44 cells (green). The nuclear counter stain is DAPI (blue). Cells were fixed in paraformaldehyde, permeabilised with 0.25% Triton X100/PBS.
NFKB1 or NFKB2 is bound to REL, RELA, or RELB to form the NFKB complex. The NFKB complex is inhibited by I-kappa-B proteins, which inactivate NF-kappa-B by trapping it in the cytoplasm. Phosphorylation of serine residues on the I-kappa-B proteins by kinases marks them for destruction via the ubiquitination pathway, thereby allowing activation of the NF-kappa-B complex. Activated NFKB complex translocates into the nucleus and binds DNA at kappa-B-binding motifs such as 5-prime GGGRNNYYCC 3-prime or 5-prime HGGARNYYCC 3-prime.

如果您使用该产品48695发表了文章,请通知我们,让我们可以引用您的文献。

et al,Gingerenone A Attenuates Ulcerative Colitis via Targeting IL-17RA to Inhibit Inflammation and Restore Intestinal Barrier Function. In Adv Sci (Weinh) on 2024 Jul by Jian Liang, Weigang Dai,et al..PMID:38639442 , (2024),
PMID: 38639442
et al,Dendrobium officinale polysaccharide inhibits M1 macrophage polarization via activating SENP1-SIRT3 signaling and alleviates ulcerative colitis , (2025),
PMID: 41185333

注释

应用

  • WB免疫印迹
  • IHC免疫组化
  • IF免疫荧光
  • ICC免疫细胞化学
  • FC流式细胞
  • IP免疫沉淀
  • E酶联免疫吸附法
  • DB免疫斑点法
  • ChIP染色质免疫沉淀
  • GICA胶体金免疫层析法
  • NC阴性对照

种属反应性

  • Hu
  • Ms小鼠
  • Rt大鼠
  • Dm果蝇
  • C线虫
  • Mk
  • Rb
  • B
  • D
  • P
  • Hm仓鼠
  • ChHm中国仓鼠
  • Chk
;

联系我们

Location :

南京市高新开发区星火路10号人才大厦C座

Phone :

400-9961-933
025-58868422

Email Address

info@sabbiotech.com