免费电话:400-9961-933
邮箱:info@sabbiotech.com
欢迎光临本站
川博智能体 English
位置: 首页 > 重组兔单抗 > Tubulin beta-III Rabbit mAb

Tubulin beta-III Rabbit mAb#48701

是否有货: Yes
产品详情

产品名称Tubulin beta-III Rabbit mAb

克隆号SP06-00

来源种属Recombinant Rabbit

克隆性Monoclonal

纯化ProA affinity purified

应用WB, IHC, IP, FC

种属反应性Human;Mouse;Rat

免疫原描述recombinant protein

标记Unconjugated

别名beta 3 tubulin antibody
beta-4 antibody
CDCBM antibody
CDCBM1 antibody
CFEOM3 antibody
CFEOM3A antibody
FEOM3 antibody
M(beta)3 antibody
M(beta)6 antibody
MC1R antibody
Neuron specific beta III Tubulin antibody
Neuron-specific class III beta-tubulin antibody
QccE-11995 antibody
QccE-15186 antibody
TBB3_HUMAN antibody
Tubb 3 antibody
TUBB3 antibody
TUBB4 antibody
Tubulin beta 3 antibody
Tubulin beta 3 chain antibody
Tubulin beta 4 antibody
Tubulin beta III antibody
Tubulin beta-3 chain antibody
Tubulin beta-4 chain antibody
Tubulin beta-III antibody

数据库入口号Swiss-Prot#:Q13509

Uniprot Q13509

计算分子量50 kDa

配方1*TBS (pH7.4), 1%BSA, 40%Glycerol. Preservative: 0.05% Sodium Azide.

保存Store at -20˚C

应用详情

WB: 1:1,000-1:2,000
IHC: 1:50-1:200
ICC: 1:50-1:200

FC: 1:50-1:100

Western blot analysis of Tubulin beta-III on different lysates using anti-Tubulin beta-III antibody at 1/1,000 dilution. Positive control:
Lane 1: Hela
Lane 2: PC-12
Lane 3: SH-SY-5Y
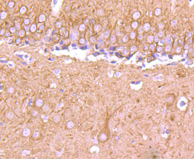
Immunohistochemical analysis of paraffin-embedded mouse brain tissue using anti-Tubulin beta-III antibody. Counter stained with hematoxylin.
Flow cytometric analysis of N2A cells with Tubulin beta-III antibody at 1/50 dilution (red) compared with an unlabelled control (cells without incubation with primary antibody; black). Alexa Fluor 488-conjugated goat anti rabbit IgG was used as the secondary antibody.

Tubulin is a major cytoskeleton component that has five distinct forms, designated α, β, γ, δ and e Tubulin. α and β Tubulins form heterodimers which multimerize to form a microtubule filament. Multiple β Tubulin isoforms (β1, β2, β3, β4, β5, β6 and β8) have been characterized and are expressed in mammalian tissues. β1 and β4 are present throughout the cytosol, β2 is present in the nuclei and nucleoplasm, and β3 is a neuron-specific cytoskeletal protein. γ Tubulin forms the gammasome, which is required for nucleating microtubule filaments at the centrosome. Both δ Tubulin and e Tubulin are associated with the centrosome. δ Tubulin is a homolog of the Chlamydomonas δ Tubulin Uni3 and is found in association with the centrioles, whereas e Tubulin localizes to the pericentriolar material. e Tubulin exhibits a cell-cycle-specific pattern of localization, first associating with only the older of the centrosomes in a newly duplicated pair and later associating with both centrosomes.

如果您使用该产品48701发表了文章,请通知我们,让我们可以引用您的文献。

注释

应用

  • WB免疫印迹
  • IHC免疫组化
  • IF免疫荧光
  • ICC免疫细胞化学
  • FC流式细胞
  • IP免疫沉淀
  • E酶联免疫吸附法
  • DB免疫斑点法
  • ChIP染色质免疫沉淀
  • GICA胶体金免疫层析法
  • NC阴性对照

种属反应性

  • Hu
  • Ms小鼠
  • Rt大鼠
  • Dm果蝇
  • C线虫
  • Mk
  • Rb
  • B
  • D
  • P
  • Hm仓鼠
  • ChHm中国仓鼠
  • Chk
;

联系我们

Location :

南京市高新开发区星火路10号人才大厦C座

Phone :

400-9961-933
025-58868422

Email Address

info@sabbiotech.com